مرکز تخصصی ماموگرافی؛ خدمات تصویربرداری پستان کاملا دیجیتالی هستند و از آخرین فناوری تشخیصی موجود استفاده می کنند.
مزایای ماموگرافی دیجیتال
در مقایسه با روش های قدیمی آنالوگ، ماموگرافی دیجیتال مزایایی را برای تشخیص سرطان سینه، به ویژه در زنان کمتر از 50 سال، زنانی که در دوران پیش از یائسگی هستند، و کسانی که بافت سینه متراکمی دارند، ارائه می دهد. تصاویر دیجیتال به جای فیلم به کامپیوتر فرستاده می شوند و به راحتی ذخیره و بازیابی می شوند. تکنسین توانایی بررسی فوری تصاویر را برای تعیین کیفیت دارد، بنابراین بیماران زمان کمتری را در اتاق معاینه می گذرانند. رادیولوژیست می تواند تصاویر را بزرگنمایی کند و کنتر است یا روشنایی را تغییر دهد و اطلاعات بیشتری برای تشخیص ارائه دهد. با دیجیتال، دید بهتری در خط پوست نیز وجود دارد. فناوری تشخیص به کمک رایانه تعبیه شده است که ناهنجاریها را مشخص میکند و در اصل، مجموعه دوم چشمهای رادیولوژیست است.

اگر سوالی در مورد ماموگرافی یا سونوگرافی دارید ویا پزشک برایتان ماموگرافی یا سونوگرافی تجویز کرده است
می توانید با ما در مرکز سونوگرافی و ماموگرافی الوند در تماس باشید.
ماموگرافی تشخیصی
ماموگرافی های تشخیصی ماموگرافی های تخصصی هستند که برای حل یک مشکل خاص طراحی شده اند. آنها معمولاً شامل اشعه ایکس بیشتری هستند که از زوایای مختلف برای مطالعه دقیق پستان گرفته می شود. دلایل انجام ماموگرافی تشخیصی عبارتند از:
سوال ناشی از ماموگرافی غربالگری
سابقه شخصی سرطان سینه
توده یا ضخیم شدن قسمتی در سینه یا زیر بغل
ترشح از نوک پستان یا وارونگی نوک پستان
درد موضعی پستان که از بین نمی رود
فرورفتگی یا چروک شدن پوست
پوسته پوسته، قرمز یا متورم روی سینه
تغییر در اندازه یا شکل سینه
امتحانات بعدی
مامو گرافی از نظر فنی
ماموگرافی از نظر فنی یک اشعه ایکس پستان است. این آزمایشی برای تعیین سرطان سینه یا تشکیل توده یا کیست در سینه ها است. هنگامی که سرطان سینه به موقع تشخیص داده شود، می توان با جراحی و درمان های وابسته آن را درمان کرد. زنان 40 ساله باید حداقل سالی یک بار ماموگرافی انجام دهند تا از تشخیص زودهنگام سرطان سینه مطمئن شوند. زنان با سابقه خانوادگی تومورهای سینه در معرض خطر بیشتری برای ابتلا به این بیماری هستند و باید به طور منظم تحت غربالگری قرار گیرند.
خانم هایی که متوجه هر گونه تغییر در ظاهر سینه، رنگ، بافت پوست و ترشح پستان خود می شوند، باید فورا با پزشک مشورت کنند. پزشک ممکن است اسکن ماموگرافی را برای شما توصیه کند.
بین ماموگرافی غربالگری و تشخیصی تفاوت وجود دارد. در حالی که ماموگرافی غربالگری در زنی با سابقه خانوادگی سرطان سینه انجام می شود، ماموگرافی تشخیصی زمانی انجام می شود که پزشک مشکوک به وجود توده ای در سینه باشد که می تواند سرطانی باشد. پزشکان ماموگرافی را تنها در صورت وجود درد در سینه یا تشکیل توده توصیه می کنند.
هیچ آمادگی قبلی برای انجام ماموگرافی لازم نیست. فقط مهم است که خانم ها از عطر یا دئودورانت، لوازم آرایشی و کرم سینه استفاده نکنند. همچنین زنان در صورت بارداری یا شیردهی باید به پزشک خود اطلاع دهند.
فواید غربالگری ماموگرافی
ماموگرافی میتواند کمک به تشخیص زودهنگام سرطان کند. سرطان سینه در مراحل اولیه میتواند قابل درمان باشد
ماموگرافی میکروکلسیفیکاسیون یا رسوبات ریز کلسیم موجود در مراحل اولیه سرطان سینه را تشخیص می دهد.
ماموگرام همچنین از اشعه ایکس تقریبا کم، استفاده می کند که مضر نیست.
زنان معمولاً سرطان سینه را در مراحل اولیه درک نمی کنند. با آزمایش ماموگرافی می توان تومورهای کوچک سینه را تشخیص داد.
غربالگری ماموگرافی به افزایش شانس تشخیص زودهنگام سرطان سینه کمک می کند، در صورتی که درمان بیماری بسیار امکان پذیر باشد.
زنان باید قبل از اقدام، این روش را با پزشک خود در میان بگذارند. توصیه ها به طور کلی بسته به عوامل خطر مختلف مانند سابقه خانوادگی، سابقه پزشکی و غیره متفاوت است.

ماموگرافی چیست ؟
ماموگرافی رایج ترین آزمایشی است که برای تشخیص سرطان سینه استفاده می شود. این شامل گرفتن عکس از سینه ها با استفاده از ماموگرافی است. بنابراین، ماموگرافی تشخیص سرطان سینه را در مراحل اولیه، زمانی که هنوز به راحتی قابل درمان هستند، ممکن می سازد.
تعریف: ماموگرافی چیست؟
ماموگرافی یک عکسبرداری با اشعه ایکس از پستان است. این قدیمی ترین و متداول ترین اکتشاف سینه است. همچنین تنها روش شناخته شده برای غربالگری سرطان سینه است. از دوزهای کم اشعه ایکس استفاده می کند به همین دلیل است که خطر بارداری باید به ما گزارش شود.
ماموگرافی غربالگری می تواند سرطان سینه را در مراحل اولیه تشخیص دهد. این معاینه هر 2 سال یکبار برای خانم ها توصیه می شود.
ماموگرافی تشخیصی چیست؟
ماموگرافی تشخیصی بر خلاف ماموگرافی غربالگری زمانی انجام می شود که بیمار علائم سرطان سینه (ناهنجاری/سطح پستان، ترشح و غیره) را داشته باشد. این معاینه را می توان با سونوگرافی و/یا بیوپسی با نظر پزشک تکمیل کرد.
چگونه برای معاینه ماموگرافی آماده شویم؟
بهتر است این معاینه در مرحله اول سیکل قاعدگی انجام شود تا معاینه پستان کمتر دردناک باشد. علاوه بر این، در روز معاینه نباید از کرم، لوازم آرایشی استفاده کنید و از جواهرات استفاده نکنید.
روش ماموگرافی چیست؟
برخی از ماموگرافی های ما مجهز به توموسنتز هستند که امکان مطالعه سه بعدی سینه را فراهم می کند. توانایی تشخیص ناهنجاری های خاص افزایش یافته است، تعداد عکس های اضافی لازم برای دقت یک تصویر کاهش می یابد.
سینه برای ترویج گسترش آن و مطالعه ساختارهای مختلف سینه فشرده می شود.
دو شات از هر سینه توسط اپراتور گرفته می شود. پس از خواندن و تفسیر ماموگرافی، رادیولوژیست ممکن است تصاویر اضافی را درخواست کند. سپس شما را معاینه می کند و در صورت لزوم سونوگرافی انجام می دهد.

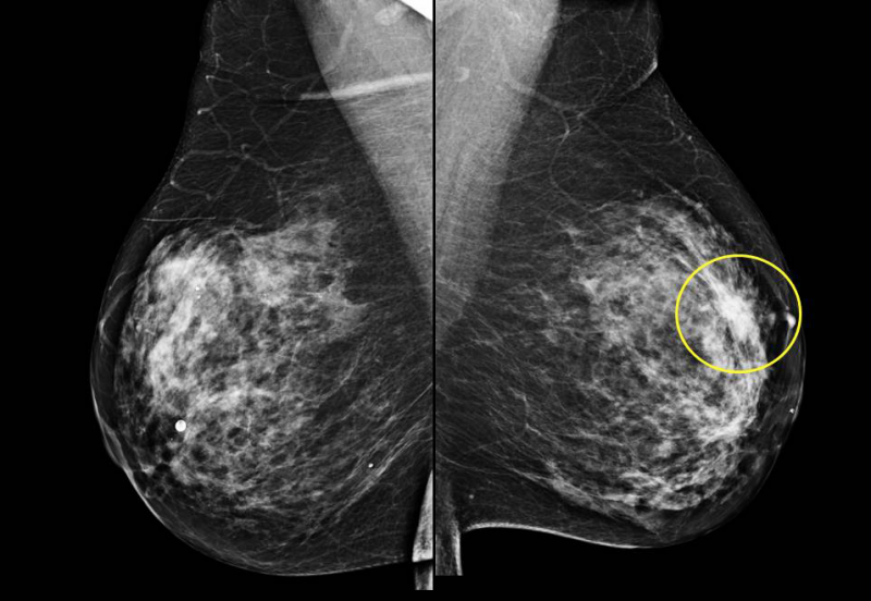
چگونه تصاویر و نتایج ماموگرافی را تفسیر کنیم؟
برای تفسیر ماموگرافی، از سیستم BIRADS کالج رادیولوژی آمریکا (ACR) برای طبقه بندی تصاویر ماموگرافی به 6 دسته استفاده می شود.
ACR 0: طبقه بندی انتظار
ACR1: ماموگرافی طبیعی
ACR2: وجود ناهنجاری های خوش خیم بدون نظارت
ACR3: ناهنجاری خوش خیم با نظارت
ACR4: وجود یک ناهنجاری مشکوک که نیاز به نمونه دارد
ACR5: وجود یک ناهنجاری حاکی از سرطان که نیاز به نمونه برداری دارد
چه معاینه سینه دیگری وجود دارد؟
سونوگرافی سینه چیست؟
سونوگرافی سینه یا پستان یک اکتشاف کاملاً بدون درد و بدون تابش با استفاده از سونوگرافی است. می تواند اطلاعات اضافی از اهمیت زیادی را به ارمغان بیاورد. هنگامی که سینه ها متراکم هستند، مکمل ماموگرافی است و اجازه می دهد تا تصاویر ماموگرافی مشخصی مشخص شود. این اتفاق می افتد که فقط سونوگرافی در یک دختر جوان یا یک زن جوان تجویز می شود.
ام آر آی سینه چیست؟
ام آر آی سینه در شرایط خاصی که تشخیص در ماموگرافی و سونوگرافی دشوار است استفاده می شود. برای مطالعه پروتزهای سینه مفید است. سالانه در زنان در معرض خطر بالای سرطان سینه، به ویژه در زنان دارای جهش ژنتیکی انجام می شود. مدت زمان امتحان بین 20 تا 30 دقیقه است. نیاز به دراز کشیدن روی شکم و ثابت ماندن دارد. بدون درد ولی پر سر و صدا است. در طول معاینه، یک ماده حاجب تزریق می شود. هنگام تعیین وقت ملاقات باید یک پرسشنامه تکمیل شود تا اطمینان حاصل شود که هیچ گونه منع مصرفی برای معاینه وجود ندارد.
بیوپسی سینه چیست؟
بیوپسی سینه برداشتن یک قطعه کوچک سینه برای تشخیص تشخیص پس از غربالگری برای وجود ناهنجاری در پستان است. بخش تخصصی بیوپسی در مطب و به صورت سرپایی و با بی حسی موضعی انجام می شود. بسته به اندازه سوزن مورد استفاده در مورد میکروبیوپسی یا ماکروبیوپسی صحبت خواهیم کرد. این نمونه را می توان تحت کنترل اولتراسوند (میکروبیوپسی با هدایت سونوگرافی یا ماکروبیوپسی): بیمار به پشت دراز کشیده و معاینه 10 تا 20 دقیقه طول می کشد. پس از انجام بی حسی موضعی بدون درد است. می توان تحت کنترل ماموگرافی (به ویژه برای میکروکلسیفیکاسیون) انجام داد: به این ماکروبیوپسی استریوتاکتیک می گویند.
در مورد دوم، نصب اشعه ایکس و یک سیستم اختصاصی استفاده می شود: بیمار روی شکم خود دراز کشیده است. این عمل 20 تا 40 دقیقه طول می کشد، پس از بی حسی موضعی بدون درد است و به غیر از اختلالات عمده انعقادی، هیچ گونه منع مصرفی ندارد. نمونه به آزمایشگاه آناتوموپاتولوژی فرستاده می شود. نتیجه به طور کلی در عرض یک هفته در دسترس است و در طی یک قرار ملاقات با دکتری که نمونه را گرفته است، به شما اطلاع داده می شود و او بقیه مراقبت های شما را توضیح می دهد.
برای ایجاد تشخیص دقیق پزشکی متناسب با مورد شخصی شما یا کسب اطلاعات بیشتر و کسب اطلاعات بیشتر در مورد آسیب شناسی خود، به شما یادآوری می کنیم که تماس و مشورت با پزشک ضروری است.

چرا ماموگرافی وغربالگری سینه انجام می دهیم؟
ماموگرافی یک عکس رادیوگرافی از پستان است که می تواند سرطان سینه را تشخیص دهد. این می تواند تومورهای سرطانی را تشخیص دهد، حتی اگر قابل مشاهده یا قابل لمس نباشند.
مقالات پیشنهادی
آیا ماموگرافی دردناک است؟
ماموگرافی می تواند با فشار صفحات روی سینه ها ناخوشایند یا حتی دردناک باشد. برای کاهش این ناراحتی توصیه می شود این معاینه را در قسمت اول سیکل قاعدگی انجام دهید.
اولین معاینه پستان در چه سنی انجام شود؟
ماموگرافی غربالگری هر 2 سال یک بار به لطف برنامه غربالگری ملی برای زنان 50 تا 74 سال برگزار می شود.
عکسبرداری با اشعه ایکس چقدر طول می کشد؟
معاینه به طور متوسط پانزده دقیقه طول می کشد، سینه یکی پس از دیگری.
کجا ماموگرافی غربالگری انجام دهیم؟
ماموگرافی در مراکز رادیولوژی پزشکی، به ویژه در مراکز تخصصی به نام "مراکز غربالگری سرطان پستان" انجام می شود. در ایران بیش از 1000 مرکز غربالگری در سراسر کشور وجود دارد.
خطرات ماموگرافی چیست؟
اشعه ایکس که در طول ماموگرافی استفاده می شود، حتی در دوزهای پایین، می تواند به طور بالقوه به سلول های سینه آسیب برساند. با این حال، مزایای ماموگرافی، مانند تشخیص زودهنگام سرطان سینه، معاینه توسط پزشک متخصص و بدون درد بودن آن، بیشتر از خطرات آن است.
جدیدترین تکنیک های ماموگرافی
ماموگرافی تصویر اشعه ایکس از پستان است. می توان از آن برای بررسی سرطان سینه در زنانی که هیچ علامت یا نشانه ای از بیماری ندارند استفاده کرد. همچنین در صورت داشتن توده یا سایر علائم سرطان سینه می توان از آن استفاده کرد.
ماموگرافی غربالگری ماموگرافی است که شما را در زمانی که هیچ علامتی ندارید معاینه می کند. این می تواند به کاهش تعداد مرگ و میر ناشی از سرطان سینه در زنان بین 40 تا 70 سال کمک کند. اما می تواند معایبی نیز داشته باشد. ماموگرافی گاهی اوقات می تواند یک ناهنجاری غیر از سرطان را تشخیص دهد. این منجر به آزمایش اضافی می شود و می تواند باعث اضطراب شود. گاهی اوقات سرطان با وجود وجود آن توسط ماموگرافی تشخیص داده نمی شود.
به همین دلیل است که محققان و پزشکان به طور مداوم به دنبال راه های بهتری برای تشخیص سرطان سینه در اسرع وقت هستند. ماموگرافی سالهاست که مورد استفاده قرار میگیرد و با توسعه فناوریهای جدید، راههای مختلفی برای بهبود آن پیدا کردهایم! در سراسر جهان، اکثر ماموگرافی های غربالگری با استفاده از اسکن دو بعدی انجام می شود، اما آخرین فناوری با استفاده از اسکن سه بعدی در حال توسعه است. این فناوری سه بعدی رسما "توموسنتز سینه دیجیتال" نامیده می شود، اما ما در اینجا آن را "ماموگرافی سه بعدی" می نامیم.

چگونه باید آماده شوم؟
در روز معاینه از دئودورانت، پودر تالک یا لوسیون زیر بغل یا روی سینه خود استفاده نکنید. اینها می توانند در ماموگرافی به صورت کلسیفیکاسیون (لکه های کلسیمی) ظاهر شوند و ممکن است لازم باشد برای تصویربرداری اضافی مراجعه کنید.
لباس 2 تکه راحت بپوشید زیرا از شما خواسته می شود که تمام لباس های بالای کمر را در بیاورید و به یک لباس گرم تبدیل کنید.
اگر احساس می کنید ممکن است باردار باشید، همیشه به کارکنان اطلاع دهید.
30 دقیقه برای ماموگرافی غربالگری و 60 دقیقه برای ماموگرافی تشخیصی زمان بگذارید.
اگر بثورات یا زخم روی سینه یا زیر آن دارید، باید معاینه معمول خود را تا زمانی که راش/زخم از بین رفته یا بهبود یابد به تعویق بیندازید.
مقالات پیشنهادی
مزایای ماموگرافی دیجیتال:
تصویربرداری از سینه توانایی تشخیص تومورهای کوچک را بهبود می بخشد. وقتی سرطان ها کوچک هستند، زنان گزینه های درمانی بهتری دارند.
میکروکلسیفیکاسیون در پستان در ماموگرافی بهتر دیده می شود
ماموگرافی تشخیص رشد بافت غیر طبیعی کوچک که نشان دهنده تومورهای اولیه هستند و همچنین تشخیص سرطان مهاجم را افزایش می دهد.
ماموگرافی دیجیتال می تواند کنتراست بین بافت متراکم و غیر متراکم در پستان را بهبود بخشد
خطراتی که باید از آنها آگاه باشید:
حدود 10 درصد از ماموگرافی های غربالگری به آزمایش های بیشتری مانند ماموگرافی تشخیصی یا سونوگرافی نیاز دارند و بیشتر آنها به یافته های طبیعی (منفی) منجر می شوند.
یافتههای غیرطبیعی ممکن است نیاز به ماموگرافی کوتاهمدت پیگیری یا بیوپسی داشته باشند. اکثر نمونهبرداریها نتایج طبیعی دارند (منفی) و تایید میکنند که سرطان وجود ندارد
زنان با بافت سینه متراکم ممکن است از تصویربرداری تکمیلی مانند MRI سینه بهره مند شوند
بعد از تصویربرداری:
تصاویر شما توسط یکی از رادیولوژیست های تصویربرداری پستان دارای گواهی هیئت مدیره ما تفسیر خواهد شد.
یافتهها ظرف 24 تا 48 ساعت برای ارائهدهنده مراقبتهای بهداشتی شما ارسال میشود و سپس برای بحث در مورد نتایج با شما تماس میگیرد.
در شرایط خاص، ممکن است به ارزیابی های تشخیصی بیشتری مانند ماموگرافی تشخیصی یا سونوگرافی نیاز داشته باشید. این لزوماً نشان نمیدهد که یک ناهنجاری پیدا شده است یا اینکه ماموگرافی شما به درستی انجام نشده است، اما برای اطمینان از ارزیابی کامل بافت پستان به تصاویر اضافی نیاز مند است.
محدودیت های ماموگرافی چیست؟
در حالی که امروزه در اکثر کشور ها ماموگرافی بهترین ابزار غربالگری سرطان سینه در دسترس است، ماموگرافی همه سرطانهای سینه را شناسایی نمیکند. به این نتیجه منفی کاذب می گویند. از سوی دیگر، زمانی که ماموگرافی غیرطبیعی به نظر می رسد و سرطانی وجود ندارد، به این نتیجه مثبت کاذب می گویند.
خود تصاویر ماموگرافی غربالگری اغلب برای تعیین وجود یک بیماری خوش خیم یا بدخیم با قطعیت کافی نیست. در صورت وجود ناهنجاری، رادیولوژیست ممکن است مطالعات تشخیصی بیشتری را توصیه کند.
تفسیر کردن ماموگرافی می تواند دشوار باشد به این دلیل که یک سینه طبیعی برای هر زنی متفاوت به نظر می رسد. همچنین، اگر پودر یا مرهم روی سینهها وجود داشته باشد یا تحت عمل جراحی سینه قرار گرفته باشید، ممکن است ظاهر تصویر به خطر بیفتد. از آنجایی که تجسم برخی سرطانهای سینه دشوار است، ممکن است رادیولوژیست بخواهد تصویر را با نماهای معاینات قبلی مقایسه کند.

افزایش تراکم سینه به دلایل متعددی از جمله:
افزایش تراکم پستان، مشاهده سرطان در ماموگرافی را دشوار می کند.
افزایش تراکم سینه ممکن است خطر ابتلا به سرطان سینه را افزایش دهد.
رادیولوژیست که ماموگرافی شما را می خواند، تراکم سینه شما را تعیین می کند و آن را به پزشک گزارش می دهد
ایمپلنتهای سینه همچنین میتوانند مانع خواندن دقیق ماموگرافی شوند، زیرا هم ایمپلنتهای سیلیکونی و سالین در عکسبرداری با اشعه ایکس شفاف نیستند و میتوانند دید واضح بافتهای اطراف خود را مسدود نمایند، مخصوصا وقتی که ایمپلنت در جلوی قفسه سینه قرار گرفته باشد نه زیر سینه.
تحقیقات بر روی انواع تکنیکهای تصویربرداری پستان انجام میشود که میتواند به تشخیص زودهنگام سرطان سینه و بهبود دقت در تشخیص بیماریهای غیرسرطانی سینه از سرطان سینه کمک کند.
غربالگری سینه و تست های تشخیصی
ماموگرافی، از جمله ماموگرافی دیجیتال و توموسنتز سینه دیجیتال (DBT، که "ماموگرافی سه بعدی" نیز نامیده می شود)، که برای زنان با سینه های متراکم توصیه می شود.
تصویربرداری رزونانس مغناطیسی پستان (MRI) در شرایط خاص مانند غربالگری زنان در معرض خطر بالای سرطان سینه مفید است.
تصویربرداری مولکولی پستان (MBI) برای افزایش تشخیص زودهنگام سرطان سینه مهاجم در زنان با بافت سینه متراکم طراحی شده است. این آزمایش علاوه بر ماموگرافی دیجیتال یا ماموگرافی سه بعدی استفاده می شود.
توموگرافی کامپیوتری (CT)، شامل سی تی اسکن همراه با توموگرافی انتشار پوزیترون (PET/CT)
مقالات پیشنهادی
پزشکی هسته ای
بیوپسی گره نگهبان، که تنها برداشتن غدد لنفاوی نگهبان زیر بازو با جراحی است که اطلاعات مهمی را در مورد مراحل بعدی درمان سرطان سینه در اختیار پزشک قرار می دهد.
بیوپسی استریوتاکتیک، یک روش کم تهاجمی که از اشعه ایکس برای راهنمایی استفاده میکند و ندول را برای به دست آوردن دقیق نمونهها برای ارسال آزمایش، موضعی میکند.
عادات سالم برای سینه های سالم
شماره 1: بهتر بخورید
میوه و سبزیجات بیشتر و چربی اشباع شده کمتر بخورید. زنانی که میوه و سبزیجات بیشتری در وعده های غذایی روزانه خود دارند، خطر ابتلا به سرطان سینه را تا 19 درصد کاهش می دهند. مصرف کمتر گوشت قرمز با نتایج بهتر حتی برای زنان مبتلا به سرطان سینه همراه است.
شماره 2: حرکت بیشتر
سرگرمی های فعالی که شما را در حرکت نگه می دارد می تواند برای سلامتی شما از جمله سلامت سینه شما مفید باشد. گام شمار یا گام شمار پوشیدنی بخرید. با اهداف کوچکتر و قابل دستیابی شروع کنید، مانند 30 دقیقه پیاده روی در روز. به یاد داشته باشید، زمان - نه سرعت - جایزه است. به 10000 قدم توصیه شده در روز ادامه دهید.
شماره 3: مصرف الکل را کاهش دهید
موسسه تحقیقات سرطان آمریکا دریافت که محدود کردن الکل به یک نوشیدنی در روز خطر ابتلا به سرطان سینه را تا یک سوم کاهش می دهد.
شماره 4: مراقب وزن خود باشید
زنانی که دارای شاخص توده بدنی نرمال (حدود 18 تا 25) هستند، کمتر در معرض مشکلات سلامت سینه از جمله سرطان سینه هستند. عادات روزانه مرتبط با وزن سالم، مانند خوردن غذای فرآوری شده کمتر، می تواند به سلامت سینه ها نیز منجر شود.
شماره 5: از محصولات مبتنی بر نیکوتین استفاده نکنید
استفاده از محصولات مبتنی بر نیکوتین، مانند سیگار با سرطان سینه و همچنین سایر سرطان ها و سایر عوارض طولانی مدت سلامتی مرتبط است. هرگز زود نیست که به سلامت سینه خود فکر کنید. حتی گام های کوچک می تواند سلامت کلی شما را بهبود بخشد، که خطر ابتلا به بسیاری از سرطان ها را کاهش می دهد.
تصویربرداری از سینه
خدمات تصویربرداری پستان در مرکز سونوگرافی رادیولوژی الوند، ماموگرافی غربالگری و مرکز تشخیصی پستان تشکیل شده است.ماموگرافی غربالگری خدماتی است که اکثر بیماران ما از آن استفاده می کنند و بدون هیچ گونه علائم نگران کننده سرطان سینه به زنان ارائه می شود. تشخیص زودهنگام بهترین راه برای یافتن سرطان سینه در قابل درمان ترین مراحل آن است و نشان داده شده است که تشخیص زودهنگام سرطان سینه با غربالگری ماموگرافی مرگ و میر ناشی از سرطان سینه را 30 تا 40 درصد یا بیشتر کاهش می دهد. توصیه ما این است که زنان از سن 40 سالگی هر سال یک ماموگرافی غربالگری انجام دهند. زنانی که در معرض خطر بالاتر از میانگین ابتلا به سرطان سینه هستند باید زودتر از سن 40 سالگی غربالگری را شروع کنند. ماموگرافی غربالگری در همان روز یا روز بعد ارائه می شود.
ماموریت تصویربرداری پستان
ماموریت سونوگرافی سینه یا پستان در مرکز سونوگرافی رادیولوژی الوند به تشخیص به موقع سرطان سینه و سایر اختلالات پستان مربوط می شود. ما طیف کاملی از تصویربرداری مراقبت از پستان را ارائه می دهیم، از ماموگرافی گرفته تا سونوگرافی و تصویربرداری رزونانس مغناطیسی (MRI).
متخصصان مراقبت از پستان ما متعهد به ارائه خدمات غربالگری و تشخیصی متخصص با استفاده از آخرین فناوری در تجهیزات تشخیصی برای تصویربرداری پستان و روشهای تخصصی پستان، از جمله ماموگرافی دیجیتال، سونوگرافی، MRI و بیوپسی پستان با هدایت تصویر هستند.
به همین ترتیب، کارکنان حرفه ای ما متعهد به ارائه مراقبت های تصویربرداری از سینه شما در فضایی آرام و ایمن هستند. تکنسین های ما تلاش می کنند تا ناراحتی شما را به حداقل برسانند و در عین حال نظرات لازم را برای خواندن و تشخیص دقیق به دست آورند. وقتی نوبت به ماموگرافی میرسد، میتوانید با دانستن این نکته که متخصصان بسیار با تجربه غربالگری و تصویربرداری تشخیصی شما را با احترام انجام میدهند و راحتی شما به حداکثر میرسد و حریم خصوصی شما حفظ میشود، راحت باشید. کارکنان مجرب مراقبت از سینه ما نیز به سوالات شما پاسخ خواهند داد و اغلب می توانند نگرانی های شما را برطرف کنند.

اهداف مرکز الوند
تصویربرداری پستان در مرکز سونوگرافی رادیولوژی الوند در درجه اول به تشخیص به موقع و دقیق سرطان سینه و سایر اختلالات پستان می پردازد. استفاده از تجهیزات دیجیتال پیشرفته به رادیولوژیست های پستان ما این امکان را می دهد که تصاویر پستان را با سرعت بیشتری مشاهده کنند و ضایعات پستان را واضح تر ببینند. ماموگرافی دیجیتال با اجازه دادن به رادیولوژیستهای پستان ما برای مشاهده سریعتر تصاویر پستان، آنها را قادر میسازد تا تصمیمات فوری در مورد نیاز به تصاویر اضافی بگیرند. علاوه بر این، توانایی ماموگرافی دیجیتال برای زوم کردن روی نواحی خاص در پستان به ویژه به تشخیص کلسیفیکاسیونهای کوچک، تودهها و سایر تغییرات اغلب ظریف که ممکن است نشانههای سرطان پستان اولیه باشند کمک میکند. ثابت شده است که ماموگرافی دیجیتال در ارزیابی بیماران پیش از یائسگی و بیماران با پستان های متراکم مفید است.
ما مطمئناً نگرانی و استرسی را که ماموگرافی غربالگری ممکن است ایجاد کند درک می کنیم. ما میخواهیم اطمینان داشته باشید که اگر غربالگری شما یک ناهنجاری را نشان دهد، تیم متخصصان دکتر ماموگرافی ما در مرکز تشخیص پستان به همه سؤالات شما پاسخ خواهند داد و پزشک اصلی شما را کاملاً در جریان خواهند گذاشت.
بیماران از رویکرد یک روزه ما برای ماموگرافی تشخیصی سود می برند که در آن بیماران کار و نتایج خود را مستقیماً توسط رادیولوژیست یا تکنسین مترجم دریافت می کنند و در نتیجه اضطراب را کاهش می دهند یا به بیمار اجازه می دهند به سرعت به سمت برنامه درمانی حرکت کنند. در صورت نیاز به هر گونه آزمایش یا روش بعدی، ما با شما همکاری می کنیم تا آنها را در اسرع وقت و طبق برنامه شما برنامه ریزی کنیم.
غربالگری و تشخیص سرطان سینه
وقتی یک روبان صورتی می بینید، آیا به طور خودکار به سرطان سینه فکر می کنید؟ بسیاری از سازمانها کار بزرگی برای افزایش آگاهی در مورد شایعترین نوع سرطان در میان زنان انجام دادهاند. در واقع، شاید شما حداقل یک نفر را بشناسید که تشخیص داده شده است. میتونه چیزای ترسناک باشه بنابراین، مهم است که بدانیم چگونه می توانیم بدن خود را بررسی کنیم و از سلامت خود مراقبت کنیم.
کلید تشخیص و تشخیص زودهنگام این است که بدانید کدام آزمایش و غربالگری سرطان سینه در دسترس است و کدام یک ممکن است برای شما بهترین باشد. شما میتوانید به دو روش به آزمایشهای سرطان سینه فکر کنید: پیشگیرانه (بدون هیچ علامتی) و تشخیصی (پس از بروز یک علامت).
ماموگرافی
در حالی که ممکن است ماموگرافی موضوع رایج گفتگو نباشد، مطرح کردن آن در اینجا می تواند تفاوت ایجاد کند. خانم هایی که زندگی برای آنها مهم است و به انجام دادن ماموگرافی منظم (یا غربالگری سرطان سینه) علاقه نشان می دهند که به سلامتی خود اهمیت می دهند.
ماموگرافی یک عکس برداری با اشعه ایکس از پستان است که بافت یا توده غیر معمول را بررسی می کند. این می تواند به یافتن علائم اولیه سرطان که شما یا پزشکتان ممکن است نتوانید آنها را ببینید یا احساس کنید کمک کند. 2 این آزمایشی است که می توانید مانند هر چکاپ معمولی دیگری درباره آن فکر کنید. ماموگرافی مانند معاینه منظم سینه ها است.
تفاوت بین ماموگرافی غربالگری و تشخیصی چیست؟
دو نوع ماموگرافی وجود دارد: غربالگری و تشخیصی. پس از صحبت در مورد سابقه سلامتی و عوامل خطر با پزشک، ممکن است به شما بگوید که کدام نوع ماموگرافی را انجام دهید.
آیا ماموگرافی تحت پوشش بیمه است؟
ماموگرافی های غربالگری که برای مراقبت های پیشگیرانه استفاده می شوند عموماً تحت پوشش بیمه هستند. (در واقع، بیشتر غربالگری های سرطان پیشگیرانه هستند.) از ماموگرافی تشخیصی برای تشخیص چیزی استفاده می شود.
مرکز تخصصی ماموگرافی در مرکز سونوگرافی الوند: راهی برای پیشگیری و تشخیص زودهنگام سرطان سینه
مرکز سونوگرافی الوند، یکی از پیشرفتهترین و معتبرترین مراکز تخصصی در حوزه تصویربرداری پزشکی در کشور است که خدمات متنوعی را به بیماران ارائه میدهد. این مرکز با استفاده از تجهیزات مدرن و تیم پزشکی متخصص، خدمات مختلفی از جمله سونوگرافی، ماموگرافی و سایر خدمات تصویربرداری را برای تشخیص و درمان بیماریهای مختلف به خصوص سرطان سینه ارائه میدهد. ماموگرافی به عنوان یکی از مهمترین ابزارهای تشخیص زودهنگام سرطان سینه شناخته میشود و مرکز سونوگرافی الوند، با بهرهگیری از جدیدترین تکنولوژیها و تجربه بالا در این زمینه، خدمات متنوعی را در این حوزه ارائه میدهد.
ماموگرافی یک نوع تصویربرداری پزشکی است که برای بررسی بافتهای سینه و شناسایی هرگونه تغییرات غیرطبیعی یا تومورهای احتمالی استفاده میشود. این روش از پرتوهای X برای تهیه تصاویری از بافت سینه استفاده میکند که میتواند به شناسایی سرطان سینه در مراحل اولیه کمک کند. ماموگرافی به طور ویژه برای زنان بالای 40 سال توصیه میشود و به عنوان یکی از مهمترین ابزارهای غربالگری سرطان سینه شناخته میشود.
اهمیت ماموگرافی در تشخیص زودهنگام سرطان سینه
سرطان سینه یکی از شایعترین نوع سرطانها در میان زنان است و در صورت شناسایی در مراحل اولیه، احتمال درمان و بهبود بسیار بالا است. اما از آنجایی که سرطان سینه در مراحل اولیه ممکن است علائم خاصی نداشته باشد، تشخیص زودهنگام این بیماری از اهمیت ویژهای برخوردار است. ماموگرافی میتواند به طور دقیق و بدون درد، نشانههایی از سرطان سینه را در مراحل اولیه شناسایی کند که در صورت درمان به موقع، میتواند منجر به بهبود وضعیت بیمار و حتی نجات جان فرد شود.
ویژگیهای مرکز تخصصی ماموگرافی در مرکز سونوگرافی الوند
مرکز سونوگرافی الوند با بهرهگیری از تکنولوژیهای پیشرفته و تیم پزشکی مجرب، خدمات ماموگرافی را با بالاترین استانداردهای پزشکی ارائه میدهد. این مرکز به عنوان یکی از مراکز پیشرو در تشخیص و درمان سرطان سینه، ویژگیهای خاصی دارد که آن را از سایر مراکز مشابه متمایز میکند.
تجهیزات پیشرفته: یکی از مهمترین ویژگیهای مرکز سونوگرافی الوند، استفاده از دستگاههای ماموگرافی دیجیتال و آنالوگ با کیفیت بالا است. این دستگاهها قادرند تصاویری با وضوح بالا و جزئیات دقیق از بافت سینه تهیه کنند که برای تشخیص دقیقتر بیماریها و تومورها ضروری است.
دقت بالا در تشخیص: پزشکان و متخصصان ماموگرافی در مرکز سونوگرافی الوند با استفاده از تجربه و مهارتهای خود قادرند نتایج ماموگرافی را با دقت بالا تجزیه و تحلیل کنند. همچنین، در صورت لزوم، تصاویر ماموگرافی به متخصصان پاتولوژی ارسال میشود تا تشخیص نهایی صورت گیرد.
حساسیت و دلسوزی در برخورد با بیماران: فرآیند ماموگرافی ممکن است برای برخی از زنان نگرانکننده و حتی کمی ناخوشایند باشد. در مرکز سونوگرافی الوند، تیم پزشکی و پرستاری با حساسیت و دلسوزی کامل با بیماران برخورد میکنند و تلاش میکنند تا این فرآیند را برای بیماران تا حد امکان راحت و بیدردسر کنند.
غربالگری سرطان سینه: مرکز سونوگرافی الوند نه تنها خدمات ماموگرافی برای زنان با علائم مشکوک ارائه میدهد، بلکه برنامههای غربالگری برای زنان سالم و در گروههای پرخطر نیز برگزار میکند. غربالگری منظم میتواند کمک شایانی به شناسایی زودهنگام سرطان سینه و کاهش مرگ و میر ناشی از آن کند.
تیم پزشکی متخصص: پزشکان و پرسنل مرکز سونوگرافی الوند از تجربه و تخصص بالایی در زمینه تشخیص و درمان سرطان سینه برخوردارند. این تیم شامل پزشکان رادیولوژیست، جراحان، متخصصان پاتولوژی و پرستاران است که همگی در راستای ارائه بهترین خدمات به بیماران همکاری میکنند.
راحتی و دسترسی آسان: مرکز سونوگرافی الوند با ایجاد محیطی آرام و مطمئن برای بیماران، تلاش میکند تا فرآیند تشخیص و درمان برای افراد، بدون استرس و نگرانی پیش رود. علاوه بر این، موقعیت جغرافیایی مناسب و ساعات کاری انعطافپذیر از دیگر مزایای این مرکز است.
فرآیند انجام ماموگرافی در مرکز سونوگرافی الوند
فرآیند انجام ماموگرافی در مرکز سونوگرافی الوند بسیار ساده و سریع است. این فرآیند معمولاً 15 تا 20 دقیقه طول میکشد و شامل مراحل زیر میشود.
ورود به مرکز: بیمار پس از ثبتنام و تکمیل فرمهای لازم به اتاق ماموگرافی هدایت میشود.
آمادگی برای ماموگرافی: بیمار باید لباس بالاتنه خود را درآورد و در برخی موارد به طور خاص دستوراتی برای آماده شدن برای ماموگرافی داده میشود.
تعیین موقعیت مناسب: بیمار در مقابل دستگاه ماموگرافی قرار میگیرد و باید سینهها به طور مناسب در دستگاه قرار داده شوند.
تصویربرداری: دستگاه ماموگرافی از سینهها تصاویر دقیقی میگیرد که توسط پزشکان متخصص بررسی میشود.
نتایج و پیگیری: پس از انجام ماموگرافی، نتایج برای ارزیابی به متخصص ارسال میشود و در صورت نیاز، مشاورههای بعدی با بیمار ترتیب داده میشود.
مرکز سونوگرافی الوند با ارائه خدمات تخصصی ماموگرافی، نقش بسیار مهمی در تشخیص و درمان زودهنگام سرطان سینه ایفا میکند. این مرکز با بهرهگیری از تجهیزات پیشرفته، تیم پزشکی مجرب و محیطی دلپذیر و حرفهای، تجربهای بینظیر از خدمات ماموگرافی به بیماران خود ارائه میدهد. از آنجا که تشخیص به موقع سرطان سینه میتواند به نجات جان بیمار کمک کند، مراجعه منظم به مراکز تخصصی ماموگرافی همچون مرکز سونوگرافی الوند از اهمیت بسیاری برخوردار است.
معاینه بالینی پستان و خودآزمایی پستان
ممکن است متوجه شوید که در طول سالانه بدن شما، پزشک یک چک سریع سینه انجام می دهد. در طول این معاینه عملی، پزشک ممکن است علائم هشدار دهنده (مانند توده یا ناهنجاری های پوستی) را در سینه ها، نوک سینه ها، زیر بغل و استخوان ترقوه بررسی کند. غدد لنفاوی نزدیک سینهها نیز ممکن است برای اطمینان از بزرگ نشدن آنها بررسی شوند. اگر چیزی درست نیست، پزشک شما ممکن است یادداشتی بنویسد و احتمالاً شما را برای یک آزمایش تشخیصی، مانند ماموگرافی، سونوگرافی یا MRI برنامه ریزی کند.
شاید مهم ترین کاری که می توانید انجام دهید این است که بدن خود را بشناسید و مرتب آن را چک کنید. ماهی یک بار خود را بررسی کنید، بدانید به دنبال چه هستید و اگر متوجه چیز جدیدی شدید آرام باشید. به خاطر داشته باشید که فیبروآدنوم، تودههای غیرسرطانی معمول پستان هستند. بنابراین، اگر احساس می کنید کمی برآمدگی دارید، به خودتان یادآوری کنید که آرام باشید. دفترچه ای از خودآزمایی های خود داشته باشید و آن را به عنوان بخشی از استراتژی کلی پیشگیرانه خود با پزشک خود در میان بگذارید.
سونوگرافی سینه و ام آر آی
اگر در طول معاینه پستان یا ماموگرافی غربالگری مورد مشکوکی ظاهر شود، ممکن است پزشک از شما بخواهد سونوگرافی سینه انجام دهید. این اسکن تصویر دقیق تری از آنچه در داخل بافت سینه می گذرد ایجاد می کند. سونوگرافی نشان می دهد که آیا توده ای که در طول معاینه شما پیدا شده است کیست (معمولاً غیر سرطانی)، توده جامد (تومور احتمالی)، یا کمی از هر دو است.
برای برخی از زنان پرخطر، ام آر آی سینه همراه با ماموگرافی ممکن است ترکیب مناسبی از آزمایشات باشد. اگر ژن مرتبط با سرطان سینه را داشته باشید، یکی از بستگان درجه اولی که سرطان سینه داشته است، یا اگر پرتودرمانی روی قفسه سینه خود داشته باشید، ممکن است در معرض خطر بالایی قرار بگیرید. ام آر آی سینه مانند هر ام آر آی دیگر است. به جز اینکه در داخل دستگاه MRI دراز کشیده باشید
بعد از تشخیص چه اتفاقی می افتد؟
اگر نتایج هر یک از غربالگریهای تشخیصی وجود یک توده مشکوک را تأیید کرد، گام بعدی ممکن است انجام بیوپسی برای آزمایش بافت پستان برای سرطان باشد. (این تنها راه مطمئن برای تأیید تشخیص دقیق سرطان است.) اگر آن بیوپسی برای سرطان مثبت شد، ممکن است شروع به صحبت در مورد گزینه های درمانی و آزمایش های نظارتی با پزشک خود کنید.
اگر نگران سرطان سینه هستم با چه کسی صحبت کنم؟
هنگامی که 40 ساله شدید، می توانید از ارائه دهنده مراقبت های اولیه خود (پزشک یا ارائه دهنده ای که ممکن است برای معاینه سالانه خود به آن مراجعه کنید) درباره انجام ماموگرافی های غربالگری منظم بپرسید. یا اگر کمتر از 40 سال دارید و در حین خودآزمایی مورد مشکوکی پیدا کردید، با پزشک خود قرار ملاقات بگذارید تا در مورد آن صحبت کنید. حتماً به ارائهدهندهای مراجعه کنید که در گذشته معاینه بالینی پستان شما را انجام داده است، خواه پزشک اصلی شما باشد یا متخصص زنان. بسته به سن، سلامت و عوامل خطر سرطان سینه، شما و پزشکتان ممکن است در مورد اقدامات بعدی تصمیم بگیرید. به خاطر داشته باشید، برای برنامه ریزی ماموگرافی غربالگری پیشگیرانه خود به یادداشت پزشک نیاز ندارید. برای انتخاب مراقبت های بهداشتی که ممکن است برای شما و بدن شما مناسب باشد، احساس قدرت کنید.
ماموگرافی دیجیتال و ماموگرافی تشخیصی در مرکز الوند
ماموگرافی یکی از مهمترین و مؤثرترین روشها در تشخیص و پیشگیری از بیماریهای پستان، به ویژه سرطان سینه است. این روش با استفاده از اشعه ایکس تصاویری دقیق از بافتهای پستان فراهم میکند و امکان شناسایی تغییرات و ناهنجاریها را در مراحل اولیه فراهم میآورد. در مرکز الوند، خدمات ماموگرافی با تکنولوژیهای پیشرفته و تحت نظر متخصصان مجرب ارائه میشود تا سلامت بانوان در اولویت قرار گیرد.
ماموگرافی دیجیتال چیست؟
ماموگرافی دیجیتال نسل جدید ماموگرافی است که به جای فیلمهای سنتی، تصاویر پستان را به صورت دیجیتال ثبت میکند. این تکنولوژی امکان پردازش و بزرگنمایی تصاویر، تنظیم روشنایی و کنتراست، و بررسی جزئیات بافتهای پستان را فراهم میکند. ماموگرافی دیجیتال نسبت به ماموگرافی سنتی مزایای متعددی دارد، از جمله:
کیفیت تصویر بالاتر: تصاویر دیجیتال واضحتر هستند و امکان تشخیص تودههای کوچک و میکروکلسیفیکیشنها را آسانتر میکنند.
کاهش تابش اشعه: در بسیاری از دستگاههای دیجیتال، دوز اشعه نسبت به ماموگرافی سنتی کمتر است و بنابراین ایمنی بیمار بالاتر میرود.
ذخیرهسازی و اشتراکگذاری آسان: تصاویر دیجیتال به راحتی قابل ذخیره، انتقال و بررسی توسط پزشکان متخصص است.
امکان پردازش تصاویر: پزشک میتواند تصاویر را بزرگنمایی کند یا جزئیات خاصی را برجسته کند تا تشخیص دقیقتر شود.
مرکز الوند با بهرهگیری از دستگاههای ماموگرافی دیجیتال پیشرفته، این خدمات را با بالاترین کیفیت ارائه میدهد و محیطی امن و آرام برای انجام این آزمایش فراهم کرده است.
ماموگرافی تشخیصی چیست؟
ماموگرافی تشخیصی یک نوع تخصصی از ماموگرافی است که برای بررسی ناهنجاریهای مشکوک یا علائم مشخص انجام میشود. این نوع ماموگرافی معمولاً زمانی توصیه میشود که:
- بیمار تغییراتی در پستان خود احساس کرده باشد، مانند توده یا درد غیرمعمول.
- نتایج ماموگرافی غربالگری نیاز به بررسی دقیقتر داشته باشد.
- سابقه خانوادگی قوی از سرطان پستان وجود داشته باشد.
در ماموگرافی تشخیصی، تصاویر بیشتری از زوایای مختلف پستان گرفته میشود تا پزشک بتواند جزئیات دقیق ناهنجاریها را بررسی کند. این نوع ماموگرافی به ویژه برای تشخیص دقیق اندازه، شکل و محل تودهها اهمیت دارد و میتواند به تصمیمگیریهای بعدی مانند بیوپسی یا پیگیری درمان کمک کند.
اهمیت ماموگرافی در تشخیص سرطان پستان
سرطان پستان یکی از شایعترین انواع سرطان در زنان است و تشخیص زودهنگام آن نقش حیاتی در موفقیت درمان دارد. ماموگرافی میتواند تودههای کوچک و میکروکلسیفیکیشنها را قبل از آنکه قابل لمس باشند، شناسایی کند. مطالعات نشان دادهاند که انجام منظم ماموگرافی میتواند میزان مرگ و میر ناشی از سرطان پستان را به طور قابل توجهی کاهش دهد.
فرآیند انجام ماموگرافی در مرکز الوند
در مرکز الوند، انجام ماموگرافی با رعایت بالاترین استانداردهای ایمنی و بهداشت انجام میشود. مراحل انجام این آزمایش معمولاً شامل موارد زیر است:
آمادگی بیمار: قبل از انجام ماموگرافی، از بیمار خواسته میشود زیورآلات و لباسهای بالاتنه را درآورد و گان مخصوص بپوشد.
قرارگیری پستانها: تکنسین، پستانها را روی صفحه دستگاه ماموگرافی قرار داده و فشاری ملایم اعمال میکند تا تصویر واضحی ایجاد شود.
ثبت تصاویر: تصاویر از زوایای مختلف گرفته میشوند. در ماموگرافی دیجیتال، این تصاویر بلافاصله روی مانیتور نمایش داده میشوند.
بررسی توسط متخصص: تصاویر توسط رادیولوژیست متخصص بررسی میشوند و در صورت نیاز، آزمایشهای تکمیلی توصیه میگردد.
مزایای انجام ماموگرافی در مرکز الوند
مرکز الوند با بهرهگیری از تجهیزات پیشرفته و تیم متخصص، خدمات ماموگرافی دیجیتال و تشخیصی را با کیفیت بالا ارائه میدهد. برخی از مزایای این مرکز عبارتند از:
- تجهیزات مدرن و دیجیتال که امکان تشخیص دقیقتر را فراهم میکنند.
- تیم متخصص و با تجربه در زمینه تصویربرداری و تشخیص بیماریهای پستان.
- محیط آرام و امن که استرس بیماران را کاهش میدهد.
- پیگیری و مشاوره تخصصی پس از انجام آزمایش برای اطمینان از تشخیص صحیح.
توصیههای مهم برای انجام ماموگرافی
برای داشتن نتایج دقیق، رعایت برخی نکات قبل از انجام ماموگرافی اهمیت دارد:
انجام ماموگرافی بهتر است یک هفته بعد از پایان قاعدگی انجام شود تا درد و حساسیت پستان کمتر باشد.
از استفاده کرم، لوسیون یا دئودورانت در ناحیه زیر بغل یا پستان خودداری شود، زیرا میتواند تصویر را مختل کند.
سابقه خانوادگی و پزشکی خود را به تکنسین یا پزشک اطلاع دهید.
ماموگرافی دیجیتال و ماموگرافی تشخیصی ابزارهای حیاتی در پیشگیری و تشخیص زودهنگام سرطان پستان هستند. مرکز الوند با تجهیزات پیشرفته و تیم متخصص خود، بستری مناسب برای انجام این آزمایشها فراهم کرده است. انجام منظم ماموگرافی، به ویژه برای بانوان بالای ۴۰ سال و افرادی با سابقه خانوادگی سرطان پستان، نقش کلیدی در حفظ سلامت و افزایش شانس درمان موفق دارد. با انتخاب مرکز الوند، بانوان میتوانند اطمینان داشته باشند که مراقبتهای پزشکی دقیق، ایمن و حرفهای دریافت خواهند کرد.
مرکز تصویربرداری پزشکی الوند با بهرهگیری از پیشرفتهترین دستگاههای ماموگرافی دیجیتال، خدماتی ایمن، دقیق و سریع برای تشخیص و پیشگیری از بیماریهای پستان ارائه میدهد. ماموگرافی دیجیتال به شما امکان میدهد تا تصاویر با وضوح بالا و جزئیات کامل از بافت پستان خود دریافت کنید و پزشک متخصص بتواند هرگونه تغییرات کوچک یا نشانههای اولیه سرطان را با دقت تشخیص دهد.
برای بانوانی که نیاز به بررسی دقیقتر دارند، ماموگرافی تشخیصی در مرکز الوند انجام میشود. این روش مخصوص افرادی است که یافتههای غیرطبیعی در معاینات اولیه یا ماموگرافی غربالگری داشتهاند و نیاز به بررسیهای دقیقتر و تصاویر تخصصی دارند. پزشکان متخصص ما با تفسیر حرفهای تصاویر، به شما اطمینان میدهند که کوچکترین تغییرات نیز به موقع شناسایی و پیگیری شوند.
مرکز الوند با محیطی آرام و تجهیزات مدرن، مراقبتهای بهداشتی شما را در اولویت قرار میدهد. ماموگرافی دیجیتال و تشخیصی الوند، ترکیبی از دقت بالا، ایمنی و راحتی برای بیماران است تا شما با آرامش خاطر سلامت خود را تحت نظر داشته باشید. همین امروز با ما تماس بگیرید و زمان مناسبتان را برای انجام ماموگرافی رزرو کنید. پیشگیری و تشخیص زودهنگام، کلید سلامت شماست!

