مرکز سونوگرافی سینه؛ ما علاوه بر سایر تکنیک های تصویربرداری، سونوگرافی سینه را برای خدمات تشخیصی ممکن ارائه می دهیم.
برای اکثر زنان بالای 35 سال، ماموگرافی همراه با سونوگرافی پستان برای بررسی علائم پستان استفاده می شود. برای زنان زیر 35 سال، سونوگرافی سینه به تنهایی اغلب برای تعیین اینکه آیا توده سینه نیاز به بررسی بیشتر دارد کافی است.
مهم است که به یاد داشته باشید که اکثر توده های سینه در این گروه سنی خوش خیم (غیر سرطانی) هستند.

اگر سوالی در مورد ماموگرافی یا سونوگرافی دارید ویا پزشک برایتان ماموگرافی یا سونوگرافی تجویز کرده است
می توانید با ما در مرکز سونوگرافی و ماموگرافی الوند در تماس باشید.
سونوگرافی سینه چیست؟
سونوگرافی سینه؛ این روش تصویربرداری است که برای بررسی بافت و ساختار سینه استفاده می شود و از طریق امواج صوتی ساخته می شود. سرطان سینه شایع ترین سرطان در زنان است. یکی از روش هایی است که برای تشخیص زودهنگام این نوع سرطان استفاده می شود. به خصوص زنان زیر 35 سال باید سونوگرافی سینه انجام دهند.
این یک روش تصویربرداری است که اغلب در غربالگری سرطان استفاده می شود. نوعی سونوگرافی است که در آن زیر بغل نیز پس از بررسی بافت و ساختار سینه بررسی می شود. این یک نوع سونوگرافی است که در مواردی که ماموگرافی کافی نیست نیز قابل استفاده است. در مواردی که سینه نسبتا بزرگ و متراکم است برای ماموگرافی باید استفاده شود.
سونوگرافی سینه به راحتی انجام می شود زیرا هیچ گونه درد یا دردی در بیمار ایجاد نمی کند. شما می توانید با خیال راحت اسکن اولتراسوند خود را در مرکز جراحی باز فولیا، بدون درد و بدون درد انجام دهید. پزشکان مجرب و کادر متخصص ما در این زمینه در خدمت شما هستند.
تصویربرداری اولتراسوند از پستان چیست؟
تصویربرداری اولتراسوند یک آزمایش پزشکی غیر تهاجمی است که به پزشکان در تشخیص و درمان شرایط پزشکی کمک می کند. ایمن و بدون درد است. با استفاده از امواج صوتی تصاویری از داخل بدن تولید می کند. به تصویربرداری اولتراسوند سونوگرافی نیز گفته می شود. از یک پروب کوچک به نام مبدل و ژل استفاده می کند که مستقیماً روی پوست قرار می گیرد. امواج صوتی با فرکانس بالا از کاوشگر از طریق ژل به بدن منتقل می شود. کاوشگر صداهایی را که باز می گردند جمع آوری می کند. یک کامپیوتر از آن امواج صوتی ،برای ایجاد یک تصویر استفاده می کند. در معاینات سونوگرافی از اشعه ایکس استفاده نمی شود. از آنجایی که اولتراسوند تصاویر را در زمان واقعی می گیرد، می تواند ساختار و حرکت اندام های داخلی بدن را نشان دهد. این تصاویر همچنین می توانند جریان خون را در رگ های خونی نشان دهند.
مقالات پیشنهادی :
سونوگرافی داپلر یک تکنیک سونوگرافی ویژه است که حرکت مواد را در بدن را ارزیابی می کند. این به پزشک اجازه می دهد تا جریان خون را از طریق شریان ها و سیاهرگ ها در بدن ببیند و ارزیابی کند.
سونوگرافی (US) پستان تصویری از ساختارهای داخلی سینه ایجاد می کند.
در طول معاینه سونوگرافی پستان، سونوگرافیست یا پزشک ممکن است از تکنیکهای داپلر برای ارزیابی جریان خون یا کمبود جریان در هر توده پستان استفاده کند. در برخی موارد، این ممکن است اطلاعات بیشتری در مورد علت توده ارائه دهد.
سونوگرافی سینه چگونه کار می کند؟
اولتراسوند از امواج صوتی برای تولید تصاویری از ساختارهای اعماق بدن استفاده می کند. اسکنر اولتراسوند امواج صوتی را به بدن می فرستد و سپس از بافت ها و اندام ها منعکس می شود. امواج صوتی در فرکانسهای مختلف به گیرنده بازمیگردند و تشخیص این تغییرات ظریف به دستگاه سونوگرافی سینه اجازه میدهد تصویر دقیقی از آنچه در داخل سینه است ایجاد کند.
چرا از سونوگرافی سینه استفاده می شود؟
از آنجایی که سونوگرافی سینه از اشعه ایکس استفاده نمی کند، یک ابزار تشخیصی بی خطر است که می تواند به تعیین اینکه آیا یک ناحیه نگران کننده بافت طبیعی سینه، کیست سینه یا توده جامدی است که می تواند تومور سینه باشد، کمک کند. مشاور شما ممکن است از این تکنیک برای بررسی یک ناهنجاری مشاهده شده در ماموگرافی یا ناحیه ای از پستان که در طی معاینه بالینی توده ای در آن پیدا شده است استفاده کند.

سونوگرافی سینه چه زمانی انجام می شود؟
- در بیماران در هر سنی برای بررسی مشکل پستان به عنوان مثال. توده، تغییر بافت، ترشح از نوک پستان
- این اولین آزمایش تصویربرداری برای زنان باردار یا شیرده با علائم است
- زمانی که ناحیه ای در ماموگرافی وجود دارد که باید با دقت بیشتری بررسی شود
- برای بررسی اینکه آیا توده ها پر از مایع هستند (کیست) یا جامد (خوش خیم/تومور)
- برای اینکه ببینیم ناحیه ضخیم شده بافت سینه است یا تومور
- برای ایمپلنت سینه برای دیدن ایمپلنت و بافت سینه روی آن
- برای بررسی یک ناحیه غیر طبیعی که در MRI مشاهده می شود
- برای هدایت بیوپسی سوزنی توده های پستان
مزایای تصویربرداری اولتراسوند پستان
این رادیولوژیست ها را قادر می سازد تا تصویر واضح تری از بافت نرم داشته باشند تا بتوانند راحت تر به آنچه در سینه می گذرد پی ببرند.
ممکن است به شناسایی و طبقه بندی مشکلات پستان که تفسیر آنها به تنهایی با استفاده از ماموگرافی آسان نیست کمک کند. این اغلب در زنان جوانتری که بافت سینه متراکمی دارند، دیده میشود
این امکان تصویربرداری در زمان واقعی را فراهم می کند. و به تست های تشخیصی مانند بیوپسی سوزنی و آسپیراسیون با سوزن ظریف کمک می کند
و می تواند تومورهای بالقوه سینه را از توده های بی ضرر سینه متمایز کند - این می تواند لوبول های چربی یا کیست های خوش خیم (غیر سرطانی) پستان باشد.
سونوگرافی سینه یا پستان همان معاینه غربالگری برای سرطان سینه نمی باشد، بلکه یک آزمون اضافی جهت بررسی و معاینه سینههایی هستند که خیلی متراکم شده اند و در ماموگرافی به طور ضعیف دیده شده اند. سونوگرافی کامل بیش از همه اجازه میدهد تا یک ناهنجاری موضعی پستان را که در ماموگرافی شناسایی شده است بررسی کنید. همچنین امکان نظارت بر تکامل برخی از ناهنجاری های خوش خیم را فراهم می کند که در سونوگرافی بهتر از ماموگرافی دیده می شوند. به دنبال غدد لنفاوی احتمالی باشید. سونوگرافی همینطور می تواند جهت هدایت کردن سوراخ سوزنی و یا همان بیوپسی سینه برای یک ناهنجاری پستان به کاربرده شود.

چه کسانی به سونوگرافی سینه نیاز دارند؟
سونوگرافی جهت مشاهده ماهیت ندول های لمس شده و یا کشف شده در ماموگرافی، مایع و یا جامد، بسیار مفید می باشد.
در سونوگرافی تصاویر به دست آمده در ماموگرافی را برای پزشک کامل و شفاف می کند. برای نوجوان ها، خانم های جوان و حانم های باردار، ماموگرافی کمتر اثر گذار است: به همین دلیل سونوگرافی پستان ارجعیت دارد . برای خانم های مسن تر، ماموگرافی معاینه مرجع می باشد.
سونوگرافی تصویر هایی را «در زمان واقعی» ارائه می دهد، یعنی بلافاصله بافت سینه قابل مشاهده می باشد.
به همین دلیل سونوگرافی امکان مقایسه آنچه را که با انگشتان احساس می شود و آنچه را که روی صفحه مانیتور دیده می شود را فراهم می کند.
سونوگرافی همینطور نمونه را می تواند راهنمایی کند.
در سونوگرافی از اشعه ایکس استفاده نمی شود و به همین دلیل دردناک نیست.
مقالات پیشنهادی :
نقش سونوگرافی سینه چیست؟
جمع آوری اطلاعات اضافی زمانی که باید تصمیم مهمی بگیریم مفید است. برای رادیولوژیست ها، سونوگرافی پستان میتواند دقیقاً این کار را انجام دهد - اطلاعات بیشتری را ارائه دهد - و اغلب یک تعریف مفید پس از ماموگرافی غربالگری است. هنگامی که رادیولوژیست سونوگرافی سینه را توصیه می کند، بسیاری از زنان می ترسند یا نگران می شوند. از رادیولوژیست های تصویربرداری پستان، در مورد چگونگی استفاده مؤثرتر از سونوگرافی سینه بیشتر بدانید.
نقش اولتراسوند پستان
سونوگرافی پستان یا سونوگرافی بهتر است همراه با ماموگرافی بیمار برای به دست آوردن یک نگاه عمیق تر به یک ناحیه خاص در پستان مانند یک توده قابل لمس، ناحیه کانونی درد یا ناهنجاری کانونی که در ماموگرافی غربالگری دیده می شود استفاده شود. سونوگرافی پستان می تواند به رادیولوژیست ها کمک کند تا تشخیص دهند توده ای که در ماموگرافی مشاهده می شود جامد یا کیستیک است.
ماموگرافی و سونوگرافی پستان
ماموگرافی و سونوگرافی سینه ابزارهای تکمیلی هستند. سونوگرافی می تواند به توضیح یافته های ماموگرافی کمک کند، اما نباید به جای ماموگرافی غربالگری استفاده شود - حتی برای زنانی که بافت سینه متراکمی دارند - زیرا بسیاری از سرطان های سینه فقط در ماموگرافی دیده می شوند.
به عنوان مثال، سرطان سینه می تواند فقط به عنوان یک گروه کوچک از میکروکلسیفیکاسیون ها در ماموگرافی بیمار ظاهر شود. این میکروکلسیفیکاسیون ها در سونوگرافی به خوبی قابل مشاهده نیستند. درست است که ماموگرافی قادر به تشخیص 100٪ سرطان های سینه نیست، اما ماموگرافی - به ویژه ماموگرافی سه بعدی - هنوز هم موثرترین تست غربالگری سرطان سینه است که امروزه داریم. همچنین باید توجه داشت که درصد کمی از سرطانهای سینه تنها در سونوگرافی قابل مشاهده است و به همین دلیل است که سونوگرافی همراه با ماموگرافی و معاینه فیزیکی بیمار مورد استفاده قرار میگیرد.

سونوگرافی با کیفیت سینه
کیفیت سونوگرافی سینه بسیار مهم است. در واقع، می تواند در تشخیص سرطان سینه یا نه تفاوت ایجاد کند. کیفیت سونوگرافی پستان می تواند در هر مرکز بسیار متفاوت باشد. دو عامل مهم در گرفتن یک سونوگرافی پستان با کیفیت خوب عبارتند از:
مهارت و تجربه تکنسین در انجام آزمون
کیفیت تجهیزات سونوگرافی
سونوگرافی سرطان سینه
اگر متوجه تغییری در سینههای خود شدهاید یا در ماموگرافی یک ناهنجاری تشخیص داده شده است، پزشک ممکن است برای شما سونوگرافی سینه ترتیب دهد. سونوگرافی پستان به پزشک کمک میکند تا تشخیص دهد که آیا این تغییرات ناشی از یک توده غیر سرطانی یا خوشخیم بافتی است یا سرطان سینه. بر اساس شکل، مکان و سایر مشخصات قابل مشاهده در سونوگرافی. گاهی اوقات سونوگرافی میتواند بینتیجه باشد و پزشک ممکن است برای نظارت بر توده و یا درخواست بیوپسی، سونوگرافی پیگیری کند.
آیا سونوگرافی می تواند سرطان سینه را تشخیص دهد؟ بله، با این حال، برخی از سونوگرافی ها ممکن است بی نتیجه باشند و ممکن است آزمایش های دیگری نیز وجود داشته باشد که پزشک از شما بخواهد علاوه بر سونوگرافی انجام دهید، مانند بیوپسی برای تشخیص کامل.
برای تشخیص ناهنجاریها در پستان، دستگاههای اولتراسوند امواج صوتی با فرکانس بالا را به سمت بافت ارسال میکنند در حالی که امواجی را دریافت میکنند که پژواک یا بازتاب میکنند.
کاربردهای رایج سونوگرافی سرطان سینه
در صورت مشاهده هرگونه تغییر در سینه ها یا احساس هر گونه توده جدید در حین خودآزمایی، ضروری است ابتدا به پزشک مراجعه کنید. پزشک شما را معاینه می کند و ممکن است از شما بخواهد که سونوگرافی سینه انجام دهید.
در صورتی که فردی بافت سینه متراکم داشته باشد، ممکن است از سونوگرافی سینه استفاده شود. در این مورد، ماموگرافی ممکن است نتواند تصویر کاملی از بافت طبیعی سینه و ناهنجاریهای احتمالی ثبت کند، در حالی که سونوگرافی پستان میتواند تصویر دقیقتری ارائه دهد.
روش سونوگرافی سینه
برای شروع، از شما خواسته می شود که لباس خود را از کمر به بالا درآورید. سونوگرافیست، متخصص پزشکی که سونوگرافی سینه شما را انجام می دهد، ژل را روی ناحیه یا قسمت هایی که قرار است اسکن شود پخش می کند. سپس دستگاه کوچکی به نام مبدل را روی سینه و غدد لنفاوی زیر بغل شما حرکت می دهند.
مبدل به کامپیوتر متصل است و امواج صوتی با فرکانس بالا را به بافت سینه می فرستد. هنگامی که این امواج به عقب باز می گردند، یا اکو می شوند، تصاویر بر روی مانیتور ظاهر می شوند.
ممکن است سونوگرافیک نیاز به فشار دادن یا اعمال فشار داشته باشد، اما نباید درد داشته باشد و اسکن فقط باید حدود 15 تا 20 دقیقه طول بکشد.
سونوگرافی همچنین یک گزینه غربالگری ایمن تر برای زنان باردار است، زیرا از اشعه استفاده نمی کند، و همچنین یک روش غربالگری رایج برای بیماران زیر 25 سال است.

سرطان سینه در سونوگرافی چگونه است؟
کیستهای پر از مایع معمولاً به صورت دایرههای سیاه یا بیضی توپر ظاهر میشوند، در حالی که در مقایسه با کیستها، سرطان سینه معمولاً به صورت تودههای نامنظم کمی سبکتر ظاهر میشوند. متخصص مراقبت های بهداشتی شما آموزش دیده است که بداند به دنبال چه چیزی است و در مورد هر مرحله بعدی با شما صحبت خواهد کرد.
سرطان سینه به صورت لکه تیرهتری روی بافت خاکستری یا سفید روشنتر اطراف آن ظاهر میشود. این به این دلیل است که امواج صوتی از یک تومور جامد منعکس می شود.
آیا سرطان سینه با سونوگرافی قابل تشخیص است؟
سونوگرافی می تواند سرطان های سینه را تشخیص دهد، با این حال، نمی تواند تعیین کند که آیا یک توده جامد سرطانی است یا خیر - فقط اینکه آیا یک توده جامد (تومور یا خوش خیم)، پر از مایع یا هر دو است. اگر یک تومور جامد و سرطانی در سونوگرافی سرطان سینه شما ظاهر شود، پزشک برای تشخیص کامل به آزمایشات بیشتری نیاز دارد.
نتایج سونوگرافی سینه چقدر طول می کشد؟
این بستگی به محل انجام اسکن دارد، اما در بیشتر موارد، نتایج شما به پزشک عمومی یا پزشکی که شما را برای سونوگرافی پستان ارجاع داده ارسال می شود. برای بحث در مورد نتایج باید یک قرار ملاقات بعدی با آنها رزرو کنید. مرکز رادیولوژی یا بیمارستانی که سونوگرافی شما را انجام میدهد، باید بتواند به شما راهنمایی کند که چه مدت طول میکشد تا نتایج به ارائهدهنده مراقبتهای بهداشتی اولیه شما برسد - معمولاً ظرف چند روز.
سونوگرافی برای سرطان سینه چقدر دقیق است؟
برای سرطان سینه، سونوگرافی بسیار دقیق است، تحقیقات نشان میدهد که میتواند حدود ۸۰ درصد سرطانهای سینه را به درستی تشخیص دهد. در تشخیص سرطان سینه مفید است، اما از آنجایی که نمی تواند سرطانی یا خوش خیم بودن توده جامد در پستان را نشان دهد، معمولاً در کنار سایر آزمایشات استفاده می شود.
قبل از انجام سونوگرافی سینه چه کارهایی باید انجام داد؟
سونوگرافی سینه در هر زمانی از سیکل قاعدگی قابل انجام است.
روزه داری و رژیم غذایی خاصی مفید نیست. اگر دارویی میل می کنید، آن را حتما به رادیولوژیست اطلاع دهید. هیچ آمادگی لازم نیست.
لطفا در روز معاینه از هیچ مواد آرایشی و بهداشتی بر روی پوست خود استفاده نکنید . و از زیورآلات استفاده نشود. پوشیدن لباس زیاد مناسب نیست: لباس پوشیدن با تاپ و یک
دامن یا شلوار، راحت تر خواهید بود.
در روز آزمون مدارک اداری خود را همراه داشته باشید: کارت حیات و گواهی آن، شناسنامه، اوراق پوشش 100% در صورت وجود و بیمه متقابل.
تمامی ماموگرافی های انجام شده و دیگر مدارک رادیولوژی سینه خود مانند (سونوگرافی*، ام آر آی*)، و همینطور نتایج معاینات قبلی مربوط به سینه های خود مانند (نمونه، بیوپسی، گزارش های جراحی) را حتما به همراه داشته باشید. این اسناد و مدارک موجود به رادیولوژیست شما این امکان را می دهد تا ناهنجاری ها و مشکلاتی را که موجب تجویز سونوگرافی شده است، به درستی تحلیل و بررسی نماید. اگر رادیولوژیست ناهنجاری را شناسایی نماید ، تجزیه و بررسی این مدارک می تواند آن را به طور شرح دهد و از معاینات بیشتر جلوگیری نماید.
رادیولوژیست را حتما از عمل های جراحی انجام شده بر روی سینه های خود آگاه کنید. درحقیقت، تصویرهای اولتراسوند را می توان با دخالت هایی ویرایش کرد در حالی که زخم ها همیشه بر روی پوست کا قابل دیدن نیستند.
اگر پروتز سینه دارید به خاطر داشته باشید که آن را نیز حتما گزارش کنید.

سونوگرافی سینه چگونه انجام می شود؟
بعد از ارائه گزارش ورود خود به قسمت پذیرش، به قسمت اتاق انتظار هدایت می شوید.
یک تکنسین اشعه ایکس نامه ی پزشک و ماموگرافی هایی که شما قبلا انجام داده اید را جمع آوری می نماید.
او شما را در اتاق امتحان هدایت می کند و نحوه انجام کار را برای شما کامل توضیح می دهد.
رادیولوژیست از شما تعدادی سوال می پرسد و گزارشات ماموگرافی های قبلی و نامه پزشک و یا متخصص زنان شما را با دقت می خواند. او یک معاینه بالینی پستان برای شما انجام داده و به دنبال غده های لنفاوی به شکل غیر طبیعی در زیر بغل ها می گردد. در نهایت ژل را بر روی سینههای شما میمالد تا تماس خوبی در بین سینهها برقرار شود
پوست و پروب اولتراسوند این ژل ها ضد حساسیت می باشند. بنابراین، حساسیت به محصول استثنایی است.
رادیولوژیست به طور کلی تمامی قسمت های پستان ها را بررسی می کند تا ناهنجاری را که بواسطه ماموگرافی توضیح داده نشده ، جستجو و مشاهده نماید .
سونوگرافی به طور متوسط 5 تا 10 دقیقه طول می کشد.
اگر به طور همزمان نمونه برداری هم انجام شود، ماندگاری بیشتری نیز دارد.
رادیولوژیست از آنچه را که بر روی صفحه مشاهده می کند عکس می گیرد.
مانیتورینگ و نتایج سونوگرافی پستان
سونوگرافی پستان معلوم می کند که آیا ناهنجاریهای بخصوصی در پستان ها وجود دارند یا خیر، اما همیشه نمیتواند به طور قطعی اعلام کنند که آیا سرطان هست یا خیر. جهت تشخیص این کار حتما باید آزمایشات تکمیلی انجام داده شود.
رادیولوژیست نتیجه های معاینات بالینی و سونوگرافی انجام شده را برای شما کامل تشریح می کند. در بعضی مورد ها ، تشخیص دادن قطعی بلافاصله بعد از سونوگرافی امکان پذیر نمی باشد.
رادیولوژیست معاینات دیگری را ممکن است انجام دهد و یا توصیه کند (MRI از
سینه ها و یا نمونه ها) جهت ایجاد تشخیص.
گزارش معاینه ها به شما داده می شود.
حفظ و نگهداری دقت این گزارش ها و تصویر ها که در معاینات بعدی مفید واقع خواهند بود، بسیار مهم است.
تیم های ما از شما مراقبت می کنند تا ماموگرافی شما با آرامش کامل انجام شود.
در نزدیکی مرکز رادیولوژی ما، شما در مرکز پذیرش پستان تحت مراقبت قرار می گیرید تا به شما امکان مشاوره سریع با یکی از متخصصین زنان ما را بدهد.
به لطف دانش ما و آخرین نسل تجهیزات موجود، می توانید برای انجام تشخیص پستان خود به مرکز ما مراجعه کنید. آیا به یک سونوگرافی مطمئن و موثر سینه نیاز دارید؟ برای گرفتن وقت با پزشکان مرکز تصویربرداری پزشکی با ما تماس بگیرید.
هر آنچه که باید قبل از انجام سونوگرافی سینه بدانید
رادیولوژیست ما روش و دستورالعمل های لازم برای انجام سونوگرافی پستان را توضیح می دهد.
اول از همه، قبل از انجام سونوگرافی سینه، باید استراحت کنید. این معاینه غیر تهاجمی است، اما اگر بیمار برای مدت طولانی منتظر تشخیص باشد، می تواند دردناک شود. بهتر است قبل از انجام سونوگرافی از استفاده از لوازم آرایشی (مانند کرم های بدن) خودداری کنید.
همچنین برای زنان غیر یائسه توصیه می شود که در اولین قسمت از سیکل قاعدگی ماموگرافی انجام دهند تا از ناراحتی خاصی در ارتباط با تنش سینه جلوگیری شود.
ما شما را از طریق سونوگرافی پستان برای غربالگری و تشخیص راهنمایی می کنیم.
بسته به وضعیت مراقبت شما، ما سونوگرافی سینه مربوطه را انجام خواهیم داد.
سونوگرافی پستان برای غربالگری برای بررسی مشکوک بودن تومور در مراحل اولیه انجام می شود. هرچه زودتر تشخیص داده شود و درمان شود، بهبودی آسانتر خواهد بود.
سونوگرافی تشخیصی زمانی انجام می شود که علائم خاصی ظاهر شود. اگر ترشحی از نوک پستان یا تودهای در سینهها مشاهده کردید، ممکن است نشانهای از تومور سرطانی باشد. بنابراین پزشک یا متخصص زنان ماموگرافی را برای تعیین تشخیص تجویز می کند. برای انجام سونوگرافی می توانید به مرکز رادیولوژی و سونوگرافی الوند که بهترین مرکز سونوگرافی تهران است مراجعه نماید.

ارتقاء عمومی
سونوگرافی (US) روشی است که امکان گرفتن تصاویر از طریق امواج صوتی را فراهم می کند.
چگونه اعمال می شود؟
معاینه در حالت خوابیده به پشت بیمار انجام می شود. یک ژل روی سینه اعمال می شود و دستگاه (پروب) که تصویربرداری را فراهم می کند روی سینه حرکت می کند. ضمناً تصاویر تشکیل شده در صفحه نمایش مورد بررسی قرار می گیرد و در صورت کشف یافته مشکوک، تصویر ثبت می شود.
یافتههای مشکوک شناسایی شده با توجه به ساختار داخلی، شکل و صاف بودن یا نبودن لبههای آنها ارزیابی میشوند و با تکنیکی به نام داپلر رنگی مورد بررسی قرار میگیرند که امکان تجسم عروق را فراهم میکند. وریدهای نامنظم متعددی در توده های بدخیم دیده می شود. برخی از دستگاه ها می توانند سفتی بافت را با تکنیک الاستوگرافی تعیین کنند. انتظار می رود سرطان سینه از بافت اطراف یا توده های خوش خیم سخت تر باشد. در سالهای اخیر، ثابت شده است که الاستوگرافی به افتراق یافتههای خوشخیم و بدخیم نیز کمک میکند.
علاوه بر تکنیکهای داپلر رنگی و الاستوگرافی، دستگاههای پزشکی دارای ویژگیهایی هستند که ارزیابی بهتر اندامهای سطحی مانند پستان و تشخیص تودههای کوچک و عیوب ساختاری را تسهیل میکنند.
ویژگی های سونوگرافی چیست؟
بدون خطر تشعشع و بدون عوارض جانبی، بدون درد:
سونوگرافی حاوی اشعه نیست، بنابراین بیمار به دلیل کشیدن، اشعه غیرضروری دریافت نمی کند. عوارضی هم نداره از آنجایی که در طول تیراندازی هیچ دردی وجود ندارد، می توان آن را به دفعات مورد نظر تکرار کرد.
مقالات پیشنهادی :
امکان تشخیص زودهنگام در بافت متراکم پستان:
سونوگرافی برخلاف ماموگرافی یک روش تصویربرداری مقطعی است. یعنی در هنگام معاینه بافت ها روی هم قرار نمی گیرند و به این دلیل خطای تشخیصی وجود ندارد. در خانم هایی که بافت سینه متراکم دارند، معاینه سینه با US توصیه می شود. به این ترتیب، کانونهای سرطانی کوچک پوشیده شده توسط بافت پستان در ماموگرافی به راحتی با معاینه اولتراسوند تشخیص داده میشوند.
ساختار داخلی سینه به وضوح دیده می شود:
این که ساختار داخلی تودههای سینه مایع (کیست) یا جامد است، فقط با US قابل درک است. کیست های سینه تشکیلات بسیار شایعی هستند. کیست های ساده خطر قابل توجهی برای سرطان سینه ندارند. بنابراین نیازی به پیگیری دقیق کیست ها نیست. با این حال، ممکن است توده های جامد خوش خیم یا بدخیم باشند. به همین دلیل، ممکن است لازم باشد که آنها را به دقت بررسی کرده و در صورت مشکوک بودن، بیوپسی انجام شود.
توده ای که به خوبی محدود شده است، یافته ای است که معمولاً در بیماری های خوش خیم پستان دیده می شود. اینها را می توان با معاینات کوتاه مدت در ایالات متحده بدون بیوپسی دنبال کرد، زیرا خطر سرطان آنها بسیار کم است (زیر 5٪).
برای چه کسانی توصیه می شود؟
همه زنان زیر 35 سال به عنوان اولین روش معاینه به دلیل عدم وجود پرتو،
برای زنان باردار یا شیرده، زیرا حاوی اشعه نیست.
کسانی که علائم عفونت مانند قرمزی سینه، درد شدید دارند
علاوه بر ماموگرافی، زنان با ساختار سینه متراکم
کسانی که یافته های مشکوک در ماموگرافی یا معاینه فیزیکی دارند
برای افراد مبتلا به سرطان سینه برای شناسایی کانون های تومور اضافی و ارزیابی پستان زیر بغل و طرف مقابل.
برای بیماران مرد با شکایت پستان (در صورت لزوم با ماموگرافی) توصیه می شود.

آزمایش های مختلف مورد نیاز است:
سونوگرافی به تنهایی در غربالگری مورد استفاده قرار نمی گیرد زیرا میکروکلسیفیکاسیون ها (تشکیل های آهکی کوچک) را نشان نمی دهد، که یافته ای از مراحل اولیه سرطان سینه است. علاوه بر این، برخی از انواع سرطان ممکن است با این روش شناسایی نشوند.
ممکن است نیاز به بیوپسی باشد: بیماریهای خوشخیم پستان (مانند تغییرات فیبروکیستیک) نیز ممکن است منجر به یافتههای مشکوک در سونوگرافی شود و ممکن است لازم باشد هر از گاهی با بیوپسی تشخیص داده شود.
سونوگرافی 4 بعدی چیست؟
ABVS (اسکنر حجمی سینه خودکار)، یکی از دستگاه های سونوگرافی پستان. به آن سونوگرافی سینه اتوماتیک، سونوگرافی حجمی سینه و سونوگرافی 4 بعدی نیز گفته می شود.
چگونه اعمال می شود؟
این معاینه توسط تکنسین انجام می شود نه پزشک. کل پستان در حالتهای استاندارد نمایش داده میشود و مجموعههای تصویری بهدستآمده سپس توسط پزشک بر روی یک صفحه نمایش ویژه ارزیابی میشوند. تصاویر را می توان در هر سطح مقطع دلخواه روی صفحه بازسازی کرد و دوباره اندازه گیری کرد. خطاهای ناشی از تمرینکنندگان بیتجربه به حداقل میرسد. در صورت وجود یافته مشکوک، پزشک می تواند بیمار را مجددا معاینه کند.
بیماریهای خوشخیم پستان (مانند تغییرات فیبروکیستیک) نیز ممکن است منجر به یافتههای مشکوک در سونوگرافی شود و ممکن است هر از چند گاهی نیاز به بیوپسی باشد.
سونوگرافی سینه چگونه انجام می شود؟
قبل از انجام سونوگرافی پستان که یک روش سونوگرافی است که توسط خانم ها در هر سنی به راحتی و با خیال راحت انجام می شود، نیازی به آمادگی لازم نیست. سونوگرافی سینه نوعی سونوگرافی است که بدون درد یا درد انجام می شود. در طول عمل، بیمار باید در وضعیت خوابیده به پشت باشد.
هر دو نازل باز می شوند و ژل اعمال می شود. پروب باید به آرامی بلغزد و برای بدست آوردن تصاویر باید از ژل استفاده شود. پروب اولتراسوند روی سینه حرکت می کند و تصاویر منعکس شده بر روی صفحه نمایش بررسی می شوند.
پس از بررسی تصاویر، موقعیت های مشکوک ثبت می شود. پس از انجام سونوگرافی، تصاویر به گزارش تبدیل می شوند. تصاویری که به گزارش تبدیل می شوند با جزئیات بررسی می شوند و برای تشخیص دقیق باید سونوگرافی درست انجام شود.
سونوگرافی سینه برای چه کسانی انجام می شود؟
تشخیص زودهنگام سرطان سینه همیشه زندگی را نجات می دهد. سرطان سینه که یکی از شایع ترین سرطان ها در زنان است، باید قبل از پیشرفت درمان شود. سونوگرافی پستان معمولاً به عنوان غربالگری برای زنان زیر 35 سال انجام می شود.
این روش ترجیح داده شده برای غربالگری سرطان است. روش اولتراسوند به ویژه در زنان جوان برای اجتناب از قرار گرفتن در معرض اشعه ترجیح داده می شود.
سونوگرافی پستان نیز برای معاینه بعد از عمل در بیمارانی که تحت عمل جراحی سینه قرار گرفته اند ترجیح داده می شود. در بیمارانی که برای ماموگرافی مناسب نیستند نیز باید از سونوگرافی استفاده کرد. در افرادی که خواهان غربالگری برای تشخیص زودهنگام هستند، با آرامش خاطر انجام می شود.
ما در مرکز سونوگرافی الوند با کادری متخصص و پزشکان مجرب که اهمیت تشخیص زودهنگام بیماری ها را می دانند، خدمات ارائه می دهیم.
مقالات پیشنهادی :
بهترین مرکز ماموگرافی دیجیتال در تهران
سونوگرافی سینه چگونه انجام می شود؟
سرطان سینه، که می تواند برای زنان در هر سنی اتفاق بیفتد، می تواند باعث مرگ زودرس شود. تشخیص زودهنگام برای اینکه در سنین پایین به دلیل سرطان سینه از بین نروید بسیار مهم است.
غربالگری سرطان و تشخیص زودهنگام با سونوگرافی سینه امکان پذیر است. در طول عمل، بیمار در وضعیت خوابیده به پشت است و پستان باز است.
پس از اعمال ژل روی سینه، پروب اولتراسوند روی سینه حرکت می کند. پس از کشیدن روی سینه، زیر بغل نیز تصویربرداری می شود. پس از ثبت تصاویر، به گزارش تبدیل شده و موقعیت های مخاطره آمیز ارزیابی می شوند. این روش که به طور متوسط 20 تا 30 دقیقه طول می کشد، یک روش بدون درد است.

چه زمانی باید سونوگرافی سینه انجام شود؟
اگر در زندگی روزمره خود متوجه درد یا توده ای در سینه خود شدید، می توانید بدون تاخیر سونوگرافی سینه انجام دهید. توده هایی که برای شما عادی هستند ممکن است تومورهای بدخیم باشند. به همین دلیل است که وقتی متوجه شدید باید آن را انجام دهید. برای اسکن سینه می توانید سونوگرافی انجام دهید. شما می توانید در صورت شک در مورد فرآیند سونوگرافی که نیازی به زمان ندارد، درخواست دهید.
افراد با سابقه خانوادگی سرطان سینه باید به طور معمول سونوگرافی انجام دهند. از سن 25 تا 26 سالگی، زنان باید حداقل سالی یک بار سینه خود را چک کنند. افرادی که سابقه خانوادگی ابتلا به سرطان سینه را ندارند نیز در صورت بروز سرطان سینه باید سونوگرافی انجام دهند.
چرا سونوگرافی پستان مهم است؟
سرطان سینه شایع ترین نوع سرطانی است که حتی در سنین پایین در زنان رخ می دهد. سونوگرافی پستان برای تشخیص زودهنگام بسیار مهم است. از آنجایی که تشخیص زودهنگام نجات بخش است، اهمیت سونوگرافی در این مورد در وهله اول قرار دارد. سرطان سینه که نوعی سرطان است که می تواند در افرادی که با شیر مادر تغذیه می کنند یا بچه دار می شوند ایجاد شود، قابل پیشگیری نیست و در صورت عدم تشخیص ممکن است منجر به مرگ شود.
غربالگری برای جلوگیری از مرگ های زودرس و درمان مادران باردار مهم است. بنابراین، سونوگرافی منظم باید انجام شود. همچنین می توانید برای سلامتی آینده خود، غربالگری های سالانه را انجام دهید.
نتیجه سونوگرافی سینه
سونوگرافی سینه که نوعی سونوگرافی است که به راحتی توسط خانم ها در هر سنی انجام می شود از جمله اقدامات بسیار مفیدی است. اگر نتیجه سونوگرافی واضح باشد، هیچ اقدامی لازم نیست. اگر تومور در نتیجه سونوگرافی مشاهده شد، باید اقدامات دقیق تری انجام شود و تشخیص قطعی انجام شود.
در صورت مواجهه با تومور خوش خیم یا بدخیم، عمل های لازم توسط پزشک تعیین می شود. نتیجه سونوگرافی با توجه به استعداد ژنتیکی توسط پزشک قابل پیش بینی است. برای اینکه نتیجه درست باشد باید در سونوگرافی بسیار حساس بود.
قیمت سونوگرافی سینه 2023
سونوگرافی سینه یکی از رایج ترین انواع سونوگرافی است که امروزه توسط خانم ها انجام می شود. سونوگرافی پستان مهمترین شرط تشخیص زودهنگام است. قیمت سونوگرافی نیز بسیار مقرون به صرفه است تا هر فردی بتواند به راحتی خدمات دریافت کند.
مقالات پیشنهادی :
بهترین زمان برای سونوگرافی واژینال
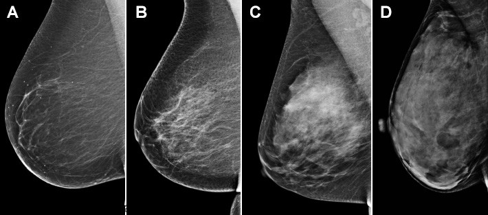
سینه های متراکم
حدود نیمی از زنان دارای سینه های متراکم هستند که می تواند تشخیص سرطان را در ماموگرافی سخت تر کند
سینه های شما از بافت فیبری (یا بافت همبند)، بافت غده ای (نوعی بافتی که شیر تولید می کند) و بافت چربی تشکیل شده است. اگر به شما گفته شود که سینه های متراکمی دارید، این بدان معناست که نسبت به زنانی که سینه های متراکم ندارند، بافت فیبری و غدهای و بافت چربی کمتری دارید. به همین دلیل است که بافت متراکم سینه گاهی اوقات "بافت فیبروگلندولار" نیز نامیده می شود.
داشتن سینه های متراکم طبیعی است. این خود یک وضعیت پزشکی نیست و علائمی ایجاد نمی کند. با احساس کردن سینه ها نمی توانید تشخیص دهید که بافت متراکم دارید یا خیر. برای مثال، اگر سینه های سفت تری دارید، این لزوماً به این معنی نیست که سینه های متراکمی دارید.
بافت متراکم سینه فقط در ماموگرافی قابل مشاهده است. در حالی که بافت چربی در ماموگرافی تیره به نظر می رسد، بافت متراکم سفید به نظر می رسد. برای حدود نیمی از زنان، ماموگرافی غربالگری نشان میدهد که بافت سینهشان متراکم است.
دانستن اینکه آیا سینه های متراکمی دارید یا نه مهم است زیرا:
سینه های متراکم دیدن سرطان سینه را برای پزشکان در ماموگرافی دشوارتر می کند. این خطر مبتلا شدن به سرطان را زیاد می کند.
زنانی که سینه های متراکم دارند، در مقایسه با زنانی که سینه های متراکم ندارند، بیشتر در معرض خطر ابتلا به سرطان سینه هستند. هر چه مقدار بافت متراکم بیشتر باشد، خطر بیشتر است. با این حال، شما لزوماً خطر بالای سرطان سینه را ندارید *فقط* به این دلیل که سینه های متراکمی دارید. تراکم پستان باید همراه با سایر عوامل خطر، مانند سن، سابقه خانوادگی و هرگونه سابقه بیوپسی پستان که سلول های غیر معمول یا سایر تغییراتی را که خطر سرطان را افزایش میدهند، در نظر گرفت. تراکم سینه یک تکه از معمای تفکر در مورد سلامت پستان و برنامه غربالگری سرطان سینه است.
چگالی سینه چگونه اندازه گیری می شود؟
وقتی ماموگرافی انجام میدهید، رادیولوژیست نتایج را با استفاده از سیستم گزارش دهی و داده تصویربرداری پستان میخواند. این یک سیستم استاندارد برای گزارش آنچه در تصویر دیده می شود است.
BI-RADS از یک مقیاس ارزیابی از 1 تا 6 استفاده می کند تا نشان دهد که آیا هیچ یافته غیرمعمولی وجود ندارد یا اگر چیزی پیدا شد، احتمالاً خوش خیم (نه سرطان) یا بدخیم (سرطانی) است. این گزارش همچنین توصیه ای برای غربالگری معمول میدهد یا نشان می دهد که چه آزمایش های بعدی ممکن است مورد نیاز باشد. ارزیابی "0" به این معنی است که ابتدا به تصویربرداری اضافی برای توصیف یک یافته بالقوه نیاز است.
در گزارش BI-RADS، رادیولوژیست همچنین امتیازی را برای تراکم سینه در مقیاس A تا D لحاظ می کند:
الف) عمدتاً چرب: سینه ها عمدتاً از بافت چربی تشکیل شده و دارای بافت فیبری و غده ای بسیار کمی است. حدود 10 درصد از زنان سینه های چرب دارند.
ب) تراکم فیبروگلندولار پراکنده: سینه ها عمدتاً بافت چربی هستند، اما در ماموگرافی چند ناحیه از بافت فیبری و غده ای قابل مشاهده است. حدود 40 درصد از زنان دارای تراکم پراکنده هستند.
ج) متراکم ناهمگن: در ماموگرافی مناطق زیادی از بافت فیبری و غده ای نشان داده می شود. حدود 40 درصد از زنان این نتیجه را دریافت می کنند.
د) بسیار متراکم: سینه ها دارای مقادیر زیادی بافت فیبری و غده ای هستند. حدود 10 درصد از زنان در این دسته قرار می گیرند.
زنان با نمره C یا D به عنوان سینه های متراکم طبقه بندی می شوند. رادیولوژیست طبقه بندی را انجام می دهد، بنابراین اغلب نیاز به قضاوت دارد - و مطالعات نشان می دهد که دو رادیولوژیست ممکن است یک زن را متفاوت طبقه بندی کنند. به همین دلیل، اکنون بسیاری از مراکز تصویربرداری سینه از نرم افزار خودکار برای کمک به ارزیابی تراکم سینه استفاده می کنند.
در گذشته، زنان معمولاً اطلاعاتی در مورد تراکم سینه به عنوان بخشی از نتایج ماموگرافی خود دریافت نمی کردند. این در دهه گذشته تغییر کرده است. در مارس 2023، سازمان غذا و داروی ایالات متحده (FDA) مقررات ماموگرافی را به روز کرد. در حال حاضر امکانات ماموگرافی برای تشخیص سینه های متراکم به خانم ها الزامی است.

چرا تراکم سینه اهمیت دارد؟
سینه های متراکم تشخیص سرطان سینه را برای رادیولوژیست ها هنگام خواندن ماموگرافی دشوارتر می کند. سرطان ها معمولاً به صورت لکه های کوچک سفید یا توده هایی در ماموگرافی ظاهر می شوند. بافت متراکم پستان نیز در ماموگرافی سفید به نظر می رسد. نواحی کوچک سرطان می توانند پشت بافت متراکم پنهان شوند و تشخیص تفاوت بین بافت طبیعی و سالم و رشد غیرطبیعی چالش برانگیز است. سازمان DenseBreast-info.org آن را با "تلاش برای دیدن یک آدم برفی در کولاک" مقایسه می کند. بافت چربی سینه در ماموگرافی تیره به نظر می رسد، بنابراین مناطق نگران کننده ای که سفید نشان می دهند بسیار راحت تر دیده می شوند.
ماموگرافی می تواند حدود نیمی از سرطان ها را در زنان با سینه های متراکم از دست بدهد. 3 4علاوه بر این، زنانی که سینه های متراکم دارند، احتمالاً در طی یک سال پس از دریافت نتیجه طبیعی ماموگرافی ، معمولاً بر اساس علائمی مانند توده یا سایر تغییرات پستان، به سرطان سینه مبتلا میشوند.
جدا از پنهان کردن سرطان ها در ماموگرافی، بافت متراکم سینه خود با خطر بالاتر ابتلا به سرطان سینه مرتبط است. پزشکان دقیقاً دلیل آن را نمی دانند. سرطان در بافت غدد ایجاد می شود: هرچه بافت غده ای بیشتر باشد، خطر بیشتری دارد. هر بار که یک سلول تقسیم می شود، فرصتی برای "اشتباه" در DNA در سلول های جدید وجود دارد - و اشتباهات متعدد در نهایت می تواند منجر به سرطان شود.
به طور کلی، هر چه میزان بافت متراکم سینه شما بیشتر باشد، خطر ابتلا به سرطان سینه بیشتر می شود. مهم است که به خاطر داشته باشید که بیشتر زنان در دو دسته میانی تراکم سینه (دسته B یا C) قرار دارند. برای 10٪ از زنان با بافت پستان بسیار متراکم (رده D)، خطر ابتلا به سرطان سینه حدود 2 برابر بیشتر از زنانی است که تراکم فیبروگلندولار پراکنده دارند (رده B). برای خانم هایی که پستان های متراکم ناهمگن دارند (رده C)، خطر مبتلا شدن به سرطان حدود 1.5 برابر خانم هایی است که تراکم فیبروگلندولار پراکنده ای دارند (رده B). اگرچه این تخمین ها به طور کلی برای زنان است و سایر عوامل خطر شخصی را در نظر نمی گیرند. تراکم سینه به تنهایی برای قرار دادن شما در یک دسته پرخطر سرطان سینه کافی نیست.
اگر سینه های متراکمی دارید، شما و پزشک تان می توانید سطح خطر فردی خود را بر اساس میزان بافت متراکم خود در میان بگذارید. اما باید سایر عوامل خطر سرطان سینه مانند سابقه سلامت شخصی خود را نیز در نظر بگیرید - از جمله قرار گرفتن در معرض اشعه در قفسه سینه، نمونه برداری های قبلی که ضایعات پرخطر را نشان می دهد و/یا اینکه آیا شما یک جهش ژنتیکی دارید که خطر سرطان را افزایش می دهد یا خیر. همچنین باید هر گونه سابقه خانوادگی سرطان سینه و سایر سرطان ها را مرور کنید.
مقالات پیشنهادی :
عکس رنگی رحم با بی حسی در تهران
سونوگرافی سینه چیست و چرا انجام می شود؟
چگونه بفهمیم سینه های متراکمی داریم
در سال 2023، FDA مقررات ماموگرافی را به روز کرد تا گزارش تراکم پستان را به یک نیاز ملی تبدیل کند. هر مرکز ماموگرافی باید اطلاعاتی در مورد تراکم سینه ها به زنان بدهد، با استفاده از زبان خاصی توضیح دهد که چگونه تراکم سینه می تواند بر دقت ماموگرافی تأثیر بگذارد و توصیه کند که زنانی که سینه های متراکم دارند در مورد تراکم سینه ها و چگونگی تأثیر آن بر خطر شخصی آنها با پزشک خود صحبت کنند.
هنگامی که گزارش ماموگرافی خود را می خوانید، ممکن است عباراتی مانند "بیشتر چرب" یا "تراکم فیبروگلندولار پراکنده" (به این معنی که سینه های شما متراکم نیستند) در طرف مقابل "به طور ناهمگن متراکم" یا "بسیار متراکم" (که سینه های متراکم را نشان می دهند) را مشاهده نماید . گزارش شما همچنین ممکن است شامل رتبه بندی حروف از A تا D باشد که نتیجه آن C یا D است به این معنی که شما سینه های متراکمی دارید.
داشتن سینه های متراکم تقصیر شما نیست و چیزی نیست که بتوانید کنترل کنید. تصور می شود که تراکم سینه تا حدی ارثی است، اگرچه مقدار بافت متراکم سینه شما می تواند در طول زمان تغییر کند. با یائسگی، تراکم سینه ها کاهش می یابد.
افزایش تراکم سینه (چربی تیره و بافت سینه سفید است)
تراکم سینه به دو دلیل مهم است. اول، تشخیص سرطان سینه در ماموگرافی در بافت متراکم پستان دشوارتر است. دوم، زنانی که بافت سینه متراکمی دارند، نسبت به زنانی که سینههای چرب دارند، کمی بیشتر در معرض ابتلا به سرطان هستند. میانگین تراکم یک زن در ایالات متحده بین پراکنده و ناهمگن است و 80 درصد از زنان در این دو دسته متوسط قرار می گیرند.
اگر زنان به آنها گفته شود که سینه های متراکمی دارند چه باید بکنند؟
در حال حاضر، ماموگرافی تنها آزمایشی است که برای نجات جان انسان ها ثابت شده است. با این حال، آزمایشهای تصویربرداری دیگری وجود دارد که ممکن است برای تشخیص سرطان سینه در زنانی که سینههای متراکم دارند، مفید باشد. به طور خاص، سونوگرافی کل پستان (که معمولا به عنوان ABUS شناخته می شود) و MRI پستان نشان داده است که سرطان های دیگری را که ممکن است در ماموگرافی وجود نداشته باشد، پیدا کند. با این حال، این آزمایشها همچنین یافتههای خوشخیم بیشتری را در پستان تشخیص میدهند که منجر به آلارمهای کاذب بیشتر (مثبت کاذب) میشود. تحقیقات بیشتری باید انجام شود تا مشخص شود چه جمعیتی از بیماران بیشتر از این آزمایش های غربالگری اضافی سود می برند. بنابراین، تصمیم گیری در مورد اینکه کدام آزمایش اضافی برای شما مناسب است، به عهده ارائه دهنده ارجاع دهنده گذاشته شده است.
سونوگرافی غربالگری سینه کامل یا ام آر آی سینه کدام بهتر است؟
مطالعات نشان دادهاند که هر دو سرطانهای بیشتری نسبت به ماموگرافی به تنهایی پیدا میکنند (سونوگرافی تقریباً 1-2 سرطان بیشتر در 1000 زن پیدا میکند؛ MRI تقریباً 15 سرطان بیشتر در 1000 سرطان را پیدا میکند). که نوعی رنگ کنتراست است.
آیا می توانم به جای ماموگرافی فقط سونوگرافی یا ام آر آی انجام دهم؟
خیر، همه خانم ها باید از سن 40 سالگی هر سال یک ماموگرافی غربالگری انجام دهند و تا زمانی که از سلامتی خوبی برخوردار هستند به انجام آن ادامه دهند. سونوگرافی یا MRI علاوه بر ماموگرافی انجام می شود، زیرا گاهی اوقات، برخی از اولین نشانه های سرطان سینه صرف نظر از تراکم سینه تنها در ماموگرافی قابل تشخیص است.
اگر بافت سینه متراکم داشته باشم، آیا باید هر سه آزمایش (ماموگرافی، سونوگرافی و ام آر آی) را انجام دهم؟
خیر، مطالعات نشان داده است که اگر ماموگرافی و ام آر آی انجام دهید، سونوگرافی اطلاعات اضافی ارائه نمی کند. بنابراین زنانی که بافت سینه متراکم دارند و می خواهند غربالگری تکمیلی داشته باشند، ماموگرافی سالانه به همراه ام آر آی سالانه انجام دهند. این بهترین راه برای شناسایی بیشترین تعداد سرطان است.
چه کسانی نمی توانند ام آر آی انجام دهند؟
زنانی که باردار هستند یا ممکن است باشند یا زنانی که با شیر مادر فرزند خود را تغذیه می کنند نباید ام آر آی سینه انجام دهند. اگر ضربانساز دارید، میتوان ترتیبات ویژهای برای ملاقات با متخصص انجام داد تا مشخص شود که آیا کاندیدای انجام MRI هستید یا خیر. سایر ایمپلنت های فلزی مانند کاشت حلزون یا سایر دستگاه ها ممکن است منع مصرف داشته باشند.
ماموگرافی در مقابل سونوگرافی
هنوز هم برای همه زنان بالای 40 سال مهم است که ماموگرافی سالانه - صرف نظر از تراکم آنها - انجام دهند. چرا؟ از آنجا که ماموگرافی هنوز ابزار غربالگری استاندارد طلایی برای زنان بالای 40 سال است و در برداشت میکروکلسیفیکاسیون ها که اغلب نشانه اولیه سرطان سینه است، خوب است.
پس چرا بعد از ماموگرافی سونوگرافی انجام دهیم؟
سونوگرافی سینه به ویژه برای زنانی که سینه های متراکم دارند موثر است. سونوگرافی سریع، بدون درد و قابل اعتماد است. در سونوگرافی، سرطان به صورت سفید و بافت متراکم سینه سیاه نشان داده می شود. مراکز تصویربرداری ممکن است از سونوگرافی سینه دستی یا خودکار استفاده کنند. یک سونوگرافی خودکار سینه صدها تصویر از کل سینه شما می گیرد. این تصاویر سپس به یک تصویر سه بعدی بازسازی می شوند. این تصویری از کل سینه به جای یک ناحیه کوچکتر ارائه می دهد. داشتن مجموعه تصویر سه بعدی به رادیولوژیست ها این امکان را می دهد تا تصاویر را از زوایای مختلف مشاهده کنند تا هر گونه ناهنجاری را به طور دقیق تشخیص دهند.
گزینه های من چیست؟
اگر رادیولوژیست چیز مشکوکی ببیند و تشخیص دهد که نیاز به تصویربرداری اضافی است، رادیولوژیست گزارش میدهد که معاینه کامل نیست و از بیمار میخواهد تا تصویربرداری سونوگرافی دستی اضافی از ناحیه مورد نظر انجام دهد. تصاویر سونوگرافی دستی می تواند به رادیولوژیست ها کمک کند تا تعیین کنند که آیا ناحیه مشکوک خوش خیم است (معمولاً کیست) یا نیاز به ارزیابی بیشتر با بیوپسی دارد. به خاطر داشته باشید که 80 درصد نتایج بیوپسی نیز خوش خیم هستند، بنابراین بیوپسی به این معنی نیست که شما سرطان سینه دارید.
دریابید که آیا سینه های متراکم دارید یا خیر
برای اطمینان از اینکه بهترین مراقبت ممکن را دریافت می کنید، از پزشک خود بپرسید که آیا بافت سینه متراکم دارید یا خیر. اگر این کار را انجام می دهید، علاوه بر ماموگرافی سالانه، سونوگرافی سینه را نیز درخواست کنید، زیرا این معاینه می تواند به تشخیص سرطان های کوچک سینه کمک کند که در غیر این صورت در ماموگرافی دیده نمی شوند.
بیماران هنگام سنجش گزینه های باروری چه چیزی باید در مورد خطر ابتلا به سرطان سینه بدانند؟
بسیاری از بیماران نگران این هستند که آیا فناوری کمک باروری خطر ابتلا به سرطان سینه را افزایش می دهد، همانطور که برخی مطالعات نشان داده اند که ممکن است ارتباطی وجود داشته باشد. با این حال، چندین مطالعه معتبر این ایده را رد کرده است. بیاموزید که چگونه با بحث چالش برانگیز IVF و خطرات سرطان سینه با بیماران خود مقابله کنید.
آیا فناوری کمک باروری خطر ابتلا به سرطان های باروری را افزایش می دهد؟
بیماران اغلب می پرسند که آیا استفاده از فناوری کمک باروری برای کمک به بچه دار شدن می تواند منجر به افزایش خطر ابتلا به سرطان های خاص زنان و سایر بیماری ها شود یا خیر. اگرچه هورمونهای جنسی با ایجاد سرطانهای مختلف تولید مثل – و همچنین سرطانهای دیگر مانند کولورکتال یا تیروئید – مرتبط هستند، پاسخ مثبت نیست.
روش صحیح استفاده از سونوگرافی سه بعدی سینه برای تصویربرداری از بافت متراکم سینه چیست؟
برای بیمارانی که بافت سینه متراکم دارند، ماموگرافی ممکن است سرطان کوچک و اولیه سینه را تشخیص ندهد – نوعی که به راحتی قابل درمان است. در مورد مزایای سونوگرافی سه بعدی سینه برای غربالگری سرطان سینه برای بیماران با بافت متراکم پستان که در معرض خطر بالاتر ابتلا به سرطان سینه هستند، آشنا شوید.
آیا ترکیب ماموگرافی و سونوگرافی سه بعدی پستان غربالگری سرطان سینه را بهبود می بخشد؟
با توجه به چندین مطالعه اخیر که این روش غربالگری را ارزیابی می کنند، ترکیب سونوگرافی سه بعدی پستان با ماموگرافی ممکن است تشخیص سرطان سینه را در بیماران بهبود بخشد. این امر به ویژه برای بیمارانی که بافت سینه متراکم دارند صادق است.
مراقبت از سلامت پستان جنبه های زیادی را برای مراقبت از بیماران و حفظ سلامت آنها برجسته می کند. درک چگونگی رسیدگی به نیازهای خاص جمعیت بیماران و استفاده از تکنیک های نوآورانه به متخصصین زنان و زایمان اجازه می دهد تا مراقبت های جامع را برای سلامت پستان بیماران هدف قرار دهند.
سونوگرافی سه بعدی سینه تکمیلی برای غربالگری سرطان
تشخیص سرطان در سینه های متراکم در ماموگرافی سخت است زیرا هم بافت سرطانی و هم بافت متراکم پستان به صورت نواحی سفید ظاهر می شوند. غربالگری اضافی با MRI یک گزینه است، به ویژه برای زنان در معرض خطر. با این حال، این روش نیاز به تزریق ماده حاجب دارد و می تواند برای بیمار ناراحت کننده باشد. MRI همچنین دارای قیمت قابل توجهی بالاتر از هر دو ماموگرافی و سونوگرافی است.
انجام سونوگرافی سه بعدی پستان، چه با دستگاه دستی و چه با فناوری سونوگرافی خودکار پستان، تشخیص سرطان بیشتری را با راحتی بیشتر و هزینه کمتر برای بیماران به همراه دارد. افزودن یک غربالگری سونوگرافی خودکار سه بعدی پستان به ماموگرافی می تواند تشخیص سرطان سینه را در بیماران مناسب تا حدود 35 درصد بهبود بخشد. سونوگرافی به ویژه برای یافتن سرطان های کوچک، گره منفی و مهاجمی که ممکن است توسط ماموگرافی نادیده گرفته شوند مفید است.
آماده شدن برای درمان بیشتر
سونوگرافی خودکار پستان همچنین می تواند جزئیات حیاتی را برای آماده شدن برای جراحی یا سایر درمان ها و نظارت ها ارائه دهد. تصویربرداری سه بعدی به پزشکان کمک می کند تا تومورها و بافت اطراف را به طور کامل تجسم کنند و اطلاعات مکان دقیق تری را ارائه دهند. این منجر به افزایش اعتماد به وسعت تومور و محل قرار گرفتن در مسیر درمان می شود.
مانند هر روش غربالگری سرطان، سونوگرافی سه بعدی پستان می تواند به نتایج مثبت کاذب منجر شود، بنابراین مهم است که قبل از حرکت به جلو در مورد خطرات و مزایای هر غربالگری با بیماران صحبت کنید.
بهترین اقدامات تشخیصی مزایا و کاربردهای سونوگرافی سه بعدی
ارزیابی کامل بافت پستان مدتهاست که هم برای زنانی که خودآزمایی در خانه انجام میدهند و هم برای پزشکانی که تصویربرداری تشخیصی مدرن را تفسیر میکنند، یک کار دلهرهآور و دشوار بوده است. سینهها بهطور شگفتانگیزی پیچیده هستند و علیرغم تلاشهای بسیاری، سرطان سینه اغلب هنوز مورد توجه قرار نمیگیرد. خوشبختانه، متخصصان پزشکی اخیراً شروع به استفاده از سونوگرافی خودکار سه بعدی سینه برای غربالگری اضافی سرطان سینه کردهاند که میزان تشخیصهای از دست رفته سرطان سینه را کاهش میدهد و جان افراد بیشتری را نجات میدهد.
چگونه ترکیب سونوگرافی خودکار سه بعدی پستان و ماموگرافی روند غربالگری را بهبود می بخشد
هم بافت متراکم و هم سرطان در ماموگرافی سفید به نظر می رسند، بنابراین مانند تلاش برای یافتن یک گلوله برفی در طوفان برفی است. هنگامی که از سونوگرافی استفاده می شود، سرطان سیاه و بافت متراکم سفید به نظر می رسد و باعث می شود سرطان ها راحت تر دیده شوند. از آنجایی که غربالگری ماموگرافی در اسکن بافت متراکم پستان موثر نیست، معرفی تصویربرداری سونوگرافی تکمیلی گام بعدی منطقی خواهد بود. افزودن یک سونوگرافی خودکار سه بعدی پستان برای غربالگری سرطان سینه نسبت به استفاده از ماموگرافی به تنهایی برای این گروه از زنان موثرتر است.
مزایای انجام سونوگرافی سینه در مرکز الوند
سونوگرافی سینه، یا اولتراسوند پستان، یکی از مهمترین و غیرتهاجمیترین روشهای تشخیصی در حوزه سلامت بانوان و گاهی آقایان است. این روش با استفاده از امواج صوتی با فرکانس بالا، تصاویری دقیق و واضح از بافت سینه ارائه میدهد و میتواند به شناسایی زودهنگام مشکلات و بیماریها کمک کند. در این میان، مراکزی مانند مرکز الوند با بهرهگیری از تجهیزات پیشرفته و کادر پزشکی متخصص، ارائه خدمات سونوگرافی سینه را با کیفیت و دقت بالا انجام میدهند. در ادامه به بررسی مزایای انجام سونوگرافی سینه در مرکز الوند میپردازیم.
تشخیص زودهنگام بیماریها: یکی از مهمترین مزایای انجام سونوگرافی سینه، امکان تشخیص زودهنگام تودهها و کیستها است. بسیاری از مشکلات سینه، از جمله تومورهای خوشخیم یا بدخیم، در مراحل اولیه علائم واضحی ندارند و ممکن است با لمس قابل تشخیص نباشند. سونوگرافی سینه به پزشک امکان میدهد تا کوچکترین تغییرات بافتی را شناسایی کند و اقدامات درمانی یا پیگیریهای لازم را سریعتر آغاز نماید.
روشی غیرتهاجمی و بدون درد: سونوگرافی سینه برخلاف نمونهبرداری یا جراحیهای تشخیصی، کاملاً غیرتهاجمی و بدون درد است. بیمار تنها بر روی تخت میخوابد و ژل مخصوص روی سینه اعمال میشود، سپس پروب دستگاه بر روی پوست حرکت میکند تا تصاویر لازم ثبت شود. این ویژگی باعث شده سونوگرافی یکی از روشهای ایمن و کماسترس برای بررسی سلامت سینه باشد.
بدون اشعه و ایمن برای تمام سنین: برخلاف ماموگرافی که از اشعه ایکس استفاده میکند، سونوگرافی کاملاً بدون اشعه و ایمن است و میتواند برای تمام سنین، حتی زنان باردار، مورد استفاده قرار گیرد. این مزیت به ویژه برای افرادی که نیاز به بررسیهای مکرر دارند، اهمیت ویژهای دارد، چرا که نگرانی از آسیب اشعه را برطرف میکند.
تشخیص تفاوت بین تودههای جامد و کیستها: یکی از چالشهای تشخیصی در سینه، تمایز بین تودههای جامد (که ممکن است بدخیم باشند) و کیستهای پر از مایع (معمولاً خوشخیم) است. سونوگرافی به کمک تصاویر دقیق خود، امکان تفکیک این دو نوع توده را فراهم میکند. این موضوع از اهمیت بالایی برخوردار است، زیرا مسیر درمان برای هر نوع توده متفاوت است و تشخیص اشتباه میتواند پیامدهای جدی داشته باشد.
دقت بالا در بافتهای متراکم: در افرادی که بافت سینه متراکم دارند، تشخیص مشکلات از طریق ماموگرافی گاهی دشوار است. سونوگرافی با ارائه تصاویر واضح و دقیق از بافتهای متراکم، امکان شناسایی تودهها و ناهنجاریها را افزایش میدهد. مرکز الوند با استفاده از دستگاههای پیشرفته، کیفیت تصاویر را به حداکثر میرساند و این دقت بالا باعث کاهش خطاهای تشخیصی میشود.
پیگیری و کنترل درمان: سونوگرافی سینه نه تنها برای تشخیص اولیه، بلکه برای پیگیری روند درمان نیز کاربرد دارد. بیماران مبتلا به کیستها یا تودههای خوشخیم میتوانند با انجام سونوگرافی دورهای، تغییرات بافت سینه خود را تحت نظر داشته باشند. این قابلیت به پزشک کمک میکند تا در صورت نیاز، درمان یا مداخلات لازم را به موقع انجام دهد.
ارائه مشاوره تخصصی و نتایج سریع: مرکز الوند با تیمی از پزشکان متخصص رادیولوژی و تکنسینهای حرفهای، علاوه بر انجام سونوگرافی، مشاوره تخصصی نیز ارائه میدهد. نتایج سونوگرافی در این مرکز معمولاً در کوتاهترین زمان ممکن آماده میشود و پزشک با بررسی تصاویر، تحلیل دقیق و توصیههای درمانی را ارائه میکند. این سرعت و دقت در ارائه خدمات باعث میشود بیماران نگرانی کمتری داشته باشند و روند درمان خود را با اطمینان بیشتری دنبال کنند.
مناسب برای تمام گروههای سنی: سونوگرافی سینه در مرکز الوند برای زنان جوان، زنان بالای ۴۰ سال و حتی مردان قابل انجام است. این انعطافپذیری، امکان بررسی سلامت سینه در سنین مختلف را فراهم میکند و به تشخیص زودهنگام مشکلات کمک میکند. به ویژه برای زنان جوان که بافت سینه متراکمتری دارند، سونوگرافی یک ابزار تشخیصی مؤثر و جایگزین مناسب برای ماموگرافی محسوب میشود.
آمادهسازی ساده و عدم نیاز به بستری شدن: یکی دیگر از مزایای سونوگرافی سینه، عدم نیاز به آمادهسازی پیچیده یا بستری شدن در بیمارستان است. بیمار تنها کافی است سینه خود را در معرض دستگاه قرار دهد و طی چند دقیقه تصاویر مورد نیاز ثبت میشود. این ویژگی باعث میشود سونوگرافی یک روش راحت و سریع برای بررسی سلامت سینه باشد، بدون نیاز به وقفههای طولانی در برنامه روزانه بیمار.
بهبود اعتماد به نفس و آرامش ذهنی: انجام سونوگرافی منظم در مرکز الوند نه تنها به تشخیص و درمان بیماریها کمک میکند، بلکه باعث افزایش اعتماد به نفس و آرامش ذهنی بیماران نیز میشود. آگاهی از سلامت سینه و پیگیری دورهای میتواند ترس و نگرانی ناشی از بیماریهای پنهان را کاهش دهد و به ایجاد حس کنترل بر سلامت فرد کمک کند.
سونوگرافی سینه یک روش ایمن، دقیق و غیرتهاجمی برای تشخیص و پیگیری بیماریهای سینه است. انجام این روش در مرکز الوند با بهرهگیری از تجهیزات پیشرفته و کادر متخصص، مزایای متعددی دارد: تشخیص زودهنگام مشکلات، تمایز بین تودههای خوشخیم و بدخیم، ایمنی برای تمام سنین، ارائه نتایج سریع و امکان پیگیری درمان. این ویژگیها باعث میشوند سونوگرافی سینه به یک ابزار حیاتی در حفظ سلامت بانوان و حتی مردان تبدیل شود و مراجعه به مراکزی مانند مرکز الوند، اطمینان خاطر و سلامت بلندمدت را برای بیماران به همراه داشته باشد.

