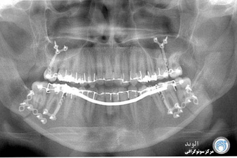
عکس opg؛ اشعه ایکس پانورامیک دندان که ارتوپانتوموگرام (OPT یا OPG) نیز نامیده می شود، یک عکس پانورامیک از تمام دندان ها است. این یک ابزار ضروری برای تشخیص و برنامه ریزی دندان است.
شما ممکن است با اشعه ایکس دندان آشنا باشید که در آن دندانپزشک یک تکه پلاستیک را در داخل دهان شما قرار می دهد تا آن را گاز بگیرید و چندین عکس می گیرد که یک یا چند دندان شما را نشان می دهد. این فقط یکی از انواع اشعه ایکس است. بسیاری دیگر نیز وجود دارد که یکی از آنها رادیوگرافی پانورامیک دندان است. این نوع اشعه ایکس کل دهان شما را در یک تصویر می گیرد. دریابید که اشعه ایکس پانورامیک دندان دقیقا چیست و چقدر می تواند مفید باشد
اشعه ایکس بین 12 تا 20 ثانیه طول می کشد، بنابراین انجام آن بسیار آسان است. در آماده سازی برای این عمل، تکنسین دندانپزشکی از شما می خواهد که هر گونه اشیاء فلزی مانند جواهرات را بردارید. از شما خواسته می شود که در مرکز یونیت بایستید یا بنشینید، جایی که تکنسین با دقت سر شما را قرار داده و محکم می کند و سپس یک بایت مسدود کننده را در دهان شما قرار می دهد تا مطمئن شود دندان های شما به درستی تراز شده اند. همچنین از شما خواسته می شود که یک پیش بند سربی برای محافظت از بقیه بدن خود در طول عمل بپوشید.

اگر سوالی در مورد عکس opg دارید و یا پزشک برایتان عکس opg تجویز کرده است
می توانید با ما در مرکز سونوگرافی الوند در تماس باشید.
تصویربرداری OPG چیست؟
تصویربرداری OPG (Orthopantomogram) یکی از مهمترین و رایجترین روشهای تصویربرداری در دندانپزشکی و بخشهای مختلف رادیولوژی است که برای بررسی وضعیت دندانها، لثهها، استخوانهای فک و سایر ساختارهای دهانی به کار میرود. این روش در بسیاری از کلینیکها و مراکز تخصصی مانند مرکز سونوگرافی و رادیولوژی الوند انجام میشود. در این مقاله به بررسی اهمیت، نحوه انجام و مزایای تصویربرداری OPG در مرکز سونوگرافی و رادیولوژی الوند میپردازیم.
تصویربرداری OPG یک نوع از تصویربرداری رادیولوژیک است که به صورت پانورامیک از تمام دهان، دندانها و ساختارهای فک پایین و بالا تهیه میشود. این نوع تصویر، تصویری شبیه به نمای کلی و افقی از دندانها و فکها به پزشک میدهد و به او این امکان را میدهد که به راحتی مشکلات دندانها، پوسیدگیها، عفونتها، بیماریهای لثهای و مشکلات دیگر را شناسایی کند.
در این روش، یک دستگاه رادیولوژی خاص به نام "OPG Machine" استفاده میشود که اشعه ایکس را به صورت افقی به بیمار میتاباند و در نتیجه، تصویر جامعی از دندانها و ساختارهای دهانی روی فیلم رادیوگرافی ثبت میکند. برخلاف سایر روشهای تصویربرداری که ممکن است برای بررسی جزئیات دندانها به صورت جداگانه نیاز به تصویربرداریهای متعدد داشته باشند، OPG میتواند یک نمای کلی از تمامی دندانها و فکها به صورت یک تصویر واحد ارائه دهد.
چرا یک اشعه ایکس عکس opg بسازیم؟
قبلاً دندانپزشکان و جراحان دهان نمی توانستند به اندازه بایت وینگ های سنتی به اشعه ایکس پانورامیک دندان تکیه کنند. اما اکنون دلایل خوبی برای استفاده از دستگاه اشعه ایکس پانوراما دندانپزشکی داریم. چرا اینطور است؟ زیرا اکنون میتوانیم به صورت رباتیک دوربین را حرکت دهیم تا بهترین نمای هر دندان را در یک عکس پانوراما داشته باشیم. این به ما آزادی عمل می دهد تا هر حرکتی را که لازم است برای دیدن نحوه درمان دندان های شما انجام دهیم. این تشت انتخابی و کنترل شده، قرار گرفتن در معرض تابش را نیز محدود می کند.
وقتی صحبت از گرفتن عکس با اشعه ایکس می شود، دو نوع اشعه ایکس وجود دارد که به طور سنتی ارائه می شود. یکی اشعه ایکس پانورامیک و دیگری سنتی است. هر دو رادیوگرافی هدف خود را در زمینه دندانپزشکی دارند و به عنوان انواع مختلفی از تصاویر به دندانپزشکان کمک می کنند تا بهترین خدمات ممکن را به بیماران خود ارائه دهند. هدف از اشعه ایکس مورد بحث در زیر به دندانپزشک شما کمک می کند تا تشخیص دهد کدام اشعه ایکس برای نیازهای شخصی شما مناسب است.
اشعه ایکس پانورامیک با این واقعیت مشخص می شود که دو فک بالا و پایین با تمام دندان ها، ریشه ها و همچنین حفره های سینوسی و مفصل گیجگاهی فکی برجسته می شوند.
چگونه آن را بدست آوریم؟
برای گرفتن عکس پانوراما، فقط به دندانپزشک مراجعه کنید. شما همچنین می توانید با پزشک خود تماس بگیرید که می تواند آن را برای شما تجویز کند. سپس، به سادگی به نزدیک ترین مرکز تصویربرداری پزشکی به خود بروید.
تامین اجتماعی در صورت ارائه نسخه، هزینه عکسبرداری پانوراما را پرداخت می کند.
مدت زمان امتحان 10 تا 20 ثانیه است.
وسایل دندانپزشکی، سمعک، جواهرات یا بارت ها ابتدا باید درست قبل از معاینه برداشته شوند.
چگونه آن را منتقل کنیم؟
برای ارسال رادیو پانورامای خود به ما، با قرار دادن آن در مقابل یک سطح روشن مانند یک دیوار سفید یا پنجره، از آن عکس بگیرید و آن را از طریق ایمیل، فیس بوک یا واتساپ برای ما ارسال کنید.
خطرات مرتبط با استفاده از اشعه ایکس پانوراما چیست؟
دوزهای پرتوی ساطع شده در طول پانورامیک دندان بسیار کمتر از آستانه مجاز است. با این حال، تا حد امکان باید از قرار گرفتن جنین در معرض اشعه ایکس اجتناب شود. اگر باردار هستید یا شک دارید، به پزشک خود اطلاع دهید تا بتواند در مورد اقدامی که باید در مورد شما انجام شود، تصمیم آگاهانه بگیرد. اگر معاینه موجه باشد، اقدامات احتیاطی خاصی انجام می شود و محافظ روی سینه و شکم خود استفاده می کنید.
اشعه ایکس عریض دندان به نام "اورتوپانتوموگرام" یا "پانورامیک دندان" معمولا توسط دندانپزشکان استفاده می شود. این معاینه در مطب پزشک انجام می شود و کاملا بدون درد است.
دریابید که چگونه این اشعه ایکس دندان می تواند هر گونه مشکل در فک شما را تشخیص دهد.
ارتوپانتوموگرام، چیست؟
ارتوپانتوموگرام پانورامیک دندان نیز نامیده می شود. این یک عمل رادیولوژی است که به دست آوردن تصویر بسیار گسترده ای از دندان را ممکن می کند:
دو ردیف دندان؛
استخوان های فک بالا و پایین؛
و همچنین استخوان فک بالا و فک پایین.
ارتوپانتوموگرام دقیقتر و کاملتر از معاینه دندانپزشکی بالینی، ضایعات دندانها یا لثهها را که نامرئی یا به سختی با چشم غیرمسلح قابل مشاهده هستند، مانند شروع حفرهها، کیستها، تومورها یا آبسهها را ممکن میسازد.
پانورامیک دندان همچنین ناهنجاری های دندان عقل یا دندان های نهفته را برجسته می کند.
رادیوگرافی دندان نیز برای اطلاع از موقعیت دندان ها و تکامل آنها به ویژه در کودکان استفاده می شود. در نهایت، نظارت بر تحلیل استخوان و وضعیت لثه ها را ممکن می سازد.
همه این اطلاعات برای پزشک برای ایجاد یا تأیید تشخیص و تعریف روشی که باید دنبال شود مفید است.

چگونه عکس پانوراما را با اشعه ایکس بگیریم؟
اگر نیاز به عکس برداری پانوراما دارید، باید به دندانپزشک خود مراجعه کنید تا او برای شما نسخه تجویز کند. سپس می توانید به یک مرکز تصویربرداری پزشکی بروید.
پانوراما دندانپزشکی: آیا بازپرداخت می شود؟
بازپرداخت عکس پانوراما دو بعدی از طریق تامین اجتماعی و علاوه بر بیمه متقابل شما انجام می شود.
توالی ارتوپانتوموگرام
قبل از امتحان آماده شوید
قبل از معاینه نیازی به اقدامات احتیاطی خاصی نیست.
وسایل دندانپزشکی، سمعک، جواهرات یا بارت ها باید درست قبل از معاینه برداشته شوند.
این معاینه در کودک زیر دو سال غیرممکن است.
در حین امتحان
پانوراما دندان در اتاق اشعه ایکس انجام می شود.
ایستاده یا نشسته، باید کاملاً ثابت بمانید.
بیمار یک تکیه گاه پلاستیکی کوچک را گاز می گیرد تا دندان های ثنایای ردیف بالا و دندان های ردیف پایین به خوبی روی ساپورت بنشینند و سر ثابت بماند.
هنگام گرفتن عکس، یک دوربین به آرامی در جلوی صورت در اطراف خط فک حرکت می کند تا تمام استخوان ها و بافت های پایین صورت را اسکن کند.
زمان اشعه ایکس حدود 20 ثانیه طول می کشد.
مقالات پیشنهادی :
الاستوگرافی با سونوگرافی چیست؟
چرا پانوراما دندان را انجام دهید؟
دلایل زیادی برای داشتن پانورامیک دندان وجود دارد. در هر صورت، با دندانپزشک خود صحبت کنید.
پزشک ممکن است در صورت مشکوک بودن به این معاینه دستور دهد:
استخوان شکسته؛
عفونت؛
یک آبسه؛
بیماری لثه؛
کیست؛
یک تومور؛
یک بیماری استخوانی (به عنوان مثال بیماری پاژه).
این معاینه همچنین برای پیگیری تکامل شرایط ذکر شده در بالا مفید است.
در کودکان، معاینه برای تجسم "میکروب" دندان های بزرگسال آینده و در نتیجه ارزیابی سن دندان توصیه می شود.
در نهایت، پزشک قبل از قرار دادن ایمپلنت دندان از این اشعه ایکس استفاده می کند تا مطمئن شود که بهترین گزینه است و محل ریشه ها را مشخص کند.

تجزیه و تحلیل نتایج ارتوپانتوموگرام
اولین خواندن نتایج را میتوان توسط رادیولوژیست یا پزشکی که عکس رادیوگرافی را انجام میدهد، انجام داد. نتایج نهایی برای پزشک یا دندانپزشک ارسال می شود.
ارتوپانتوموگرام یک اشعه ایکس همه کاره است که به پزشک اجازه می دهد اولین تشخیص را ایجاد کند. سپس می تواند با توجه به نتایج درمان های مناسب را اعمال کند.
بسته به شرایطی که تشخیص داده میشود، اغلب از این اشعه ایکس دندان پیروی میشود:
از یک اسکنر معمولی؛
پرتو مخروطی اشعه ایکس.
رادیوگرافی رترو آلوئولار
خطرات مرتبط با تشعشع از ارتوپانتوموگرام
تشعشعات ساطع شده از پانورامیک دندان بسیار کمتر از حداکثر دوز مجاز است و بنابراین برای سلامتی خطری ندارد.
مقالات پیشنهادی :
انجام سونوگرافی NT در مرکز الوند
سونوگرافی توسط متخصص خانم درتهران
روش کار چگونه است؟
یک دستگاه اشعه ایکس پانورامیک به جای تکیه بر فیلمی که در داخل دهان قرار داده شده است، پرتویی را از طریق بیمار روی فیلم یا آشکارسازی که در مقابل لوله اشعه ایکس می چرخد، پرتاب می کند. مهمترین مزیت اشعه ایکس پانورامیک دندان این است که دیدی جامع از کل دهان شما به سرعت ارائه می دهد.
سایر کاربردهای تشخیصی و درمانی.
به طور معمول، فرد روی یک کاردک پلاستیکی گاز می گیرد تا تمام دندان ها به ویژه تاج ها به صورت جداگانه دیده شوند. ارتوپانتوموگرام تقریبا یک دقیقه به طول می انجامد . زمان واقعی قرار گرفتن در معرض تابش بیمار بین 5.5 تا 22 ثانیه برای گردش دستگاه در اطراف جمجمه متغیر است.
تلاقی دستگاه به این معنی است که در حین چرخش، اشعه ایکس تنها بخش محدودی از آناتومی را در هر لحظه بر روی فیلم پخش می کند، اما با پیشرفت چرخش در اطراف جمجمه، تصویر ترکیبی از بلوک فک و صورت ایجاد می شود. در حالی که بازو می چرخد، فیلم به گونه ای حرکت می کند که تصویر جزئی جمجمه (که توسط بخش پرتو محدود شده است) روی آن می چرخد و آن را به طور کامل در معرض دید قرار می دهد.
همچنین تمام تصاویر عناصر با سرعت یکسانی روی فیلم مورد نظر حرکت نمی کنند، زیرا برخی از آنها دورتر و برخی دیگر به مرکز چرخش فوری نزدیکتر هستند. سرعت فیلم به گونهای کنترل میشود که دقیقاً با سرعت برآمدگی عناصر آناتومیک سمت قوس دندانی که نزدیکترین به فیلم است مطابقت داشته باشد. بنابراین، آنها به وضوح ثبت می شوند در حالی که عناصر در مکان های مختلف به صورت تار ثبت می شوند زیرا با سرعت های مختلف حرکت می کنند.
تصویر پانوراما دندان از اعوجاج های مهمی رنج می برد زیرا زوم عمودی و زوم افقی هر دو در طول تصویر متفاوت هستند. زوم افقی هم به موقعیت نسبی عنصر نسبت به مسیر کانونی بستگی آن دارد. ویژگی های داخل قوس مسیر کانونی زوم افقی بیشتری دریافت می کنند و تار می شوند.
نتیجه تصویری است که به وضوح بخش در امتداد قوس فک پایین را نشان می دهد و در جاهای دیگر تار می شود. به عنوان مثال، ناحیه تشریحی ماتتر رادیویی، مهرههای گردنی (گردن)، به صورت یک ستون عمودی گسترده و تار روی دندانهای جلویی ظاهر میشود. مسیری که عناصر تشریحی به شدت ثبت می شوند «مسیر کانونی» نامیده می شود.
نتیجه تصویری است که به وضوح بخش در امتداد قوس فک پایین را نشان می دهد و در جاهای دیگر تار می شود. به عنوان مثال، ناحیه تشریحی ماتتر رادیویی، مهرههای گردنی ؛ به صورت یک ستون عمودی گسترده و تار روی دندانهای جلویی ظاهر میشود. مسیری که عناصر تشریحی به شدت ثبت می شوند «مسیر کانونی» نامیده می شود.
مقالات پیشنهادی :
مزیت اصلی تصاویر پانوراما
پوشش وسیع استخوان صورت و دندان
دوز کم تابش بیمار
راحتی معاینه برای بیمار (لازم نیست فیلم ها داخل دهان گذاشته شوند)
قابلیت استفاده در بیمارانی که نمی توانند دهان را باز کنند یا زمانی که دهانه آن محدود است.
قابل درک بودن بیمار از فیلم های پانوراما، که آنها را به کمک بصری مفیدی در آموزش بیمار و ارائه پرونده تبدیل می کند.
در مقایسه با مجموعه وسیعی از اشعه ایکس داخل دهانی که معمولاً استفاده می شود، ذخیره سازی آسان است.
آماده سازی
افرادی که قرار است تحت رادیوگرافی پانورامیک قرار گیرند معمولاً باید هر گونه گوشواره، جواهرات، سنجاق مو، عینک، دندان مصنوعی یا وسایل ارتودنسی را خارج کنند. اگر این مقالات حذف نشوند، ممکن است مصنوعاتی روی تصویر ایجاد کنند (مخصوصاً اگر حاوی فلز باشند) و مفید بودن آن را کاهش دهند. همچنین نیاز است که فرد در طول 18 یا بیشتر چرخه دومی که طول می کشد تا دستگاه فیلم را در معرض نمایش بگذارد کاملاً ثابت بماند. به همین دلیل، رادیوگرافی ها اغلب از قبل نحوه حرکت دستگاه را به فرد توضیح می دهند.

چرا به اشعه ایکس پانورامیک نیاز دارم؟
دلایل مختلفی وجود دارد که ما عکسبرداری پانورامیک را توصیه می کنیم، از جمله:
مراقبت بهبود یافته اشعه ایکس پانورامیک به ما امکان می دهد سر، گردن و فک شما و نحوه عملکرد آنها را به طور کلی مشاهده کنیم، به این معنی که می توانیم به راحتی کیست، تومور، رشد، ناهنجاری های فک و سرطان را شناسایی کنیم.
تشخیص زود هنگام. از آنجایی که اشعه ایکس پانورامیک یک نمای جامع از کل دهان شما را ارائه می دهد، ما می توانیم مشکلات دندانی را در شروع آنها تشخیص دهیم. تشخیص زودهنگام معمولاً منجر به درمان کم تهاجمی و کمهزینهتر میشود، نه اینکه بعداً در مراحل پیشرفت آن تشخیص داده شود.
عمر طولانی. متاسفانه سرطان دهان میزان مرگ و میر بالایی دارد. این به این دلیل است که اغلب در مراحل اولیه تشخیص داده نمی شود. با اشعه ایکس پانوراما، میتوانیم احتمال تشخیص زودهنگام سرطان دهان را در زمانی که درمان آسانتر است، افزایش دهیم.
کشف تغییرات گرفتن عکس پانوراما هر 3-5 سال به ما امکان می دهد تغییراتی را که در طول زمان در دهان شما رخ می دهد، مشاهده کنیم. به عنوان مثال، ما میتوانیم ببینیم که آیا دندانهای شما در حال جابجایی هستند یا ناهنجاریهای استخوانی را تجربه میکنید.
مفید برای مراحل مختلف در مورد کودکان، ما از اشعه ایکس پانورامیک برای ارزیابی نیاز به مراقبت ارتودنسی استفاده می کنیم. ما از این نوع اشعه ایکس برای نوجوانان به همین دلیل و همچنین برای بررسی نحوه رشد دندان عقل آنها استفاده می کنیم. مسائل، و مشاهده کیست، رشد، و ناهنجاری ها با جزئیات بیشتر.
از اشعه ایکس پانورامیک چه انتظاری می توانم داشته باشم؟
در طول عکسبرداری پانوراما، ما سر شما را با استفاده از تکیهگاههای چانه، پیشانی و کناری قرار میدهیم. سپس دستگاه اشعه ایکس به صورت نیم دایره ای دور سر شما می چرخد و به ما امکان می دهد تصویری جامع از کل دهان و فک شما داشته باشیم. کل فرآیند سریع، آسان و کاملا بدون درد است و حدود 30 ثانیه طول می کشد.
علاوه بر این، اشعه ایکس پانوراما تنها هر 3 تا 5 سال یکبار توصیه می شود. بسیاری از طرحهای بیمه مزایایی را برای این روش در نظر میگیرند، اما برای آنهایی که این کار را نمیکنند، هزینه پرداختی کمتر تاثیرگذار است زیرا تنها هر چند سال یک بار اتفاق میافتد.
هزینه نسبتاً پایین عکسبرداری با اشعه ایکس در مقایسه با آنچه که یک بیمار از سرطان دهان یا توموری که گرفتار نشده است، باید تحمل کند، زیرا اشعه ایکس پانوراما در فواصل زمانی توصیه شده کامل نشده است، چیزی نیست. در واقع، در اینجا یکی از چندین داستان در مورد این است که چگونه تشخیص زودهنگام می تواند یک زندگی را نجات دهد.
مقالات پیشنهادی :
اثرات نامطلوب
مانند هر تصویربرداری پزشکی که از پرتوهای یونیزان استفاده می کند، درجاتی از آسیب یونیزان مستقیم و آسیب غیرمستقیم ناشی از رادیکال های آزاد ایجاد شده در طول یونیزاسیون مولکول های آب در سلول ها وجود خواهد داشت. تخمین تقریبی که برای خطر سرطان کشنده از رادیوگرافی پانورامیک ثبت شده است حدود 1 در 20000000 می باشد. سن فردی که تصویربرداری می شود نیز خطر را تغییر می دهد و افراد جوانتر در معرض خطر کمی بالاتر هستند. به عنوان مثال. خطر 1 در 20,000,000 برای فردی در گروه سنی 1-10 دو برابر می شود (1 در 10,000,000).
اگر شما یا فرزندتان به بریس نیاز دارید، یا اگر دندان نهفته دارید، عکس برداری با اشعه ایکس پانوراما می تواند ارزشمند باشد. اکنون که به همه چیزهایی که باید در مورد این نوع اشعه ایکس بدانید مجهز شده اید، به خوبی مجهز هستید تا با هر مشکل دندانی که ممکن است داشته باشید روبرو شوید و دوباره به لبخند زدن برگردید
استثنا برای زنان باردار
اگرچه خطرات آن تقریباً صفر است، اما باید همه اقدامات احتیاطی انجام شود تا جنین در معرض اشعه ایکس قرار نگیرد، همچنین در صورت بارداری باید به پزشک اطلاع داده شود. ممکن است دومی تصمیم بگیرد اقداماتی مانند محافظت از شکم با یک پیش بند محافظ سربی انجام دهد.
یک فرد بالغ که تمام دندان هایش در هر دو فک به طور کامل رشد کرده است باید در مجموع 32 دندان داشته باشد. هر دندان از یک قسمت قابل مشاهده و یک قسمت نامرئی تشکیل شده است.
تاج قسمت قابل مشاهده دندان است و قسمت نامرئی از ریشه دندان که در عمق استخوان فک بالا فرو رفته است تشکیل شده است. هنگامی که مشکلاتی در داخل دندان یا روی خود ریشه ظاهر می شود، تنها راهی که متخصص دندانپزشکی برای تجسم دقیق مشکل دارد، داشتن تجهیزات دندانپزشکی پیشرفته است.
چه برای یافتن علت دندان درد یا فقط یک اقدام پیشگیرانه ساده، تشخیص دقیق فقط با کمک تجهیزات دندانپزشکی مدرن انجام می شود.
اشعه ایکس دندان یا ارتوپانتوموگرافی، این امکان را فراهم می کند که یک نمای پانوراما از دو قوس دندانی بیمار گرفته شود و در نتیجه وضعیت تمام دندان های او را تجسم کنید. با چنین پانورامیک دندانی یا ارتوپانتوموگرام، متخصص دهان و دندان می تواند به راحتی ناحیه مشکل را تشخیص دهد و اولین تشخیص اولیه را انجام دهد. اگرچه همه چیز در این عکس ها قابل مشاهده نیست، اما با این وجود، هم در زمینه تشخیص مشکلات و هم در زمینه پیشگیری، کمک بزرگی به دندان پزشکان می کند.
گرفتن یک تصویر پانوراما از دندان بسیار آسان است و این فرآیند فقط چند دقیقه طول می کشد. تنها کلینیک های دندانپزشکی با تجهیزات پیشرفته دارای فناوری مورد نیاز برای انجام ارتوپانتوموگرام هستند. این ابزارهای پیشرفته تنها سطح تابش بسیار پایینی دارند و هیچ خطری برای سلامت بیماران یا تکنسینهایی که با این دستگاههای رادیولوژی کار میکنند، ندارند.
دندانپزشکی پانورامیک هنگامی که ارتوپانتوموگرام تولید شد، توسط کامپیوتر خوانده/پردازش می شود. این اشعه ایکس را می توان به صورت دیجیتالی پردازش، بزرگ یا برگرداند و به لطف آنها، هر گونه مشکلی بسیار راحت تر تشخیص داده می شود.
علاوه بر این، و در صورت لزوم، پانورامای دندانی را می توان بر روی هر دستگاه پشتیبان داده قابل جابجایی مانند کلید USB، CD یا DVD که بیمار می تواند با خود برد، ذخیره کرد. امکان تهیه نسخه پشتیبان نیز وجود دارد، این نوع عکس فوری آسیب نمی بیند و در هر زمان در دسترس است.
پس از هر گونه مداخله اساسی بر روی دندان های بیمار، انجام ارتوپانتوموگرام جدید توصیه می شود تا همیشه آخرین نمای پانوراما از دندان ها و فک های بیمار در پرونده بیمار وجود داشته باشد.

اشعه ایکس پانوراما:
اشعه ایکس پانورامیک از مقادیر بسیار کمی تابش برای کمک به گرفتن کل دهان در یک تصویر دو بعدی استفاده می کند. این اشعه ایکس در کارهای روزمره دندانپزشکی استفاده می شود و بیمار را در معرض کمترین اشعه ممکن قرار می دهد و در عین حال تصویری را که برای ارائه مراقبت با کیفیت به بیمار نیاز دارد به دندانپزشک ارائه می دهد. این اشعه ایکس به عنوان آمادهسازی برای پروتزهای مصنوعی، بریسها، کشیدن دندان، و ایمپلنتها استفاده میشود تا مواردی را که دندانپزشکان از آنها استفاده میکنند نام ببرند.
هیچ آمادگی خاصی از طرف شما برای گرفتن این اشعه ایکس مورد نیاز نیست. با این حال اگر باردار هستید به دندانپزشک خود اطلاع دهید. هر گونه عینک یا جواهرات یا سایر اشیاء فلزی که ممکن است با اشعه ایکس تداخل داشته باشد را بردارید. شما همچنین یک پیش بند سربی دریافت خواهید کرد که به محافظت از بقیه بدن شما در برابر هرگونه قرار گرفتن در معرض تابش احتمالی در حین گرفتن اشعه ایکس کمک می کند.
اشعه ایکس سنتی:
اشعه ایکس سنتی آنهایی هستند که کمی بیشتر از تابش استفاده می کنند و می توانند دهان را به صورت سه بعدی به جای دو بعدی بگیرند. این اشعه ایکس هنوز هم تابش بسیار کمی از خود ساطع می کند و برای استفاده انسان بسیار ایمن است. با این حال، این اشعه ایکس تنها از بخشی از دهان گرفته می شود و تصاویر دقیق تری ارائه می دهد که به دندانپزشکان اجازه می دهد کارهای دقیق تری انجام دهند. اشعه ایکس سنتی معمولاً در زمینه دندانپزشکی زمانی مورد نیاز است که دندانپزشک نیاز به تشخیص دارد یا نیاز به ریشهیابی مشکل دارد تا بتواند مشکل را درمان کند.
اشعه ایکس پانوراما و سنتی: هر دو یک هدف را دنبال می کنند:
این نیست که کدام اشعه ایکس بهتر از دیگری است. واقعیت این است که هر دو نوع اشعه ایکس هدفی را در جامعه دندانپزشکی انجام می دهند. اشعه ایکس پانورامیک یک راه عالی برای کاهش قرار گرفتن در معرض اشعه در زمانی است که دندانپزشک نیاز به یک تصویر ساده از کل دهان دارد. با این حال، هنگام تلاش برای تشخیص مشکل در قسمت خاصی از دهان، دندانپزشک به عکسبرداری سه بعدی با جزئیات بیشتری نیاز دارد و اشعه ایکس سنتی آن تصاویر دقیقتر را ارائه میدهد تا تشخیص صحیح انجام شود.
اشعه ایکس پانورامیک چیست؟
اشعه ایکس پانورامیک اشعه ایکسی است که کل فک را نشان می دهد و گاهی اوقات می تواند سینوس ها را نیز در برگیرد. دستگاه های معمولی اشعه ایکس پانوراما از شما می خواهند که یک گوه پلاستیکی را گاز بگیرید که دندان های شما را در موقعیت مناسب نگه می دارد تا تصویری خوب داشته باشید. سپس دستگاه به دور سر شما می چرخد و چندین عکس می گیرد و یک تصویر ترکیبی ایجاد می کند که دندان کامل شما را نشان می دهد.
مقالات پیشنهادی :
عکس رنگی رحم با بی حسی در تهران
آنچه که ما می توانیم با اشعه ایکس پانورامیک ببینیم
همانطور که گفته شد یک تصویر پانوراما به دندانپزشک شما اجازه می دهد کل دندان شما را ببیند. همچنین به آنها اجازه میدهد فک کامل شما، از جمله مفصل فک پایین شما را ببینند. بیشتر اشعه ایکس پانوراما شامل برخی از قسمت های سینوس شما نیز می شود. از آنجایی که همه اینها در عکسبرداری پانورامیک با اشعه ایکس گنجانده شده اند، دندانپزشک شما می تواند درک بهتری از سلامت کلی فک و صورت شما داشته باشد. شاید واضحترین چیزی که میتوانیم ببینیم، پیشرفت دندانهای بزرگسال و دندان عقل به هنگام شکلگیری است. با این حال، یکی از مهمترین چیزهایی که رادیوگرافی پانورامیک به دندانپزشک شما اجازه می دهد تا آن را ببیند، هرگونه تومور است که ممکن است در حال رشد باشد. این راهی برای کمک به تشخیص سرطان استخوان در اسرع وقت است.
اشعه ایکس پانورامیک همچنین برای ارزیابی میزان تحلیل استخوان به دلیل بیماری پریودنتال بسیار مفید است. اگر قصد دارید ایمپلنت یا کشیدن دندان را انجام دهید، یک عکس پانورامیک برای جراح دهان ضروری است تا بتواند جراحی را ارزیابی و برای آن برنامه ریزی کند. اشعه ایکس پانورامیک همچنین در تشخیص اختلالات TMJ، ارزیابی درمان ارتودنسی و تشخیص حفرههای دندانهای قدامی (جلو) که در عکسبرداری بایت وینگ دیده نمیشوند، مفید است.
همانطور که می بینید، اشعه ایکس پانورامیک بسیار بیشتر از دندان عقل است. انجام عکسبرداری پانوراما بدون توجه به سن شما یک ابزار تشخیصی عالی است. دندانپزشکان اوانستون ما بسته به سابقه دندانی شما و قرار گرفتن در معرض عوامل خطر را توصیه می کنند که هر سه تا پنج سال یک بار یک عکس رادیوگرافی پانورامیک بگیرید. همکاری با دندانپزشک برای تعیین فرکانس عکسبرداری با اشعه ایکس، تضمین می کند که حداقل تابش را دریافت کنید و در عین حال تصویر دقیقی از سلامت کلی دهان خود داشته باشید.
6 دلیل برای استفاده از اشعه ایکس پانورامیک دندان
- راحت تر است
هنگام انجام عکسبرداری با اشعه ایکس می توانید بایستید یا بنشینید. هر چیزی که برای شما راحت تر است. و شما فقط باید برای یک تصویر بنشینید - نه چهار تصویر، همانطور که رادیوگرافی سنتی بایتینگ نیاز دارد. هر تصویر سنتی اشعه ایکس چندین مرحله را طی می کند و می تواند باعث راحتی کمتری برای شما شود. اشعه ایکس پانوراما راحتتر و مناسبتر برای بیمار است.
- آسانتر است
در طول عکسبرداری با اشعه ایکس، تماس بین دندان های خلفی باید باز شود. اما اشعه ایکس پانورامیک دندان به ما این امکان را می دهد که به راحتی این کار را با تنظیم نور موقعیت پانوراما انجام دهیم. نیازی به نصب سنسور نیست، آن را در دهان خود قرار دهید، دستگاه را نشانه بگیرید و برای هر بار قرار گرفتن در معرض سری سنتی اشعه ایکس دوباره این کار را انجام دهید.
- سریعتر است
اشعه ایکس پانورامیک دندان مراحل کمتری را انجام می دهد. این بدان معناست که شما در یک یا دو دقیقه تمام خواهید شد. در اینجا روند است:
دستگاه اشعه ایکس را روشن کنید
از بیمار بخواهید بلوک بایت را گاز بگیرد
ارتفاع واحد تصویربرداری را تنظیم کنید
"شروع" را فشار دهید
چند ثانیه بعد، کارتان تمام شد.
مقالات پیشنهادی :
- دقیق تر است
مطالعات نشان می دهد که اشعه ایکس سنتی حفره های بیشتری را در پشت دهان شما از دست می دهد. با این حال، اشعه ایکس پانورامیک دندان به سادگی جزئیات بیشتری را نشان می دهد. به دلیل این جزئیات، تشخیص زمان کمتری می برد (چیزی حدود 2.5 برابر سریعتر از اشعه ایکس سنتی).
اشعه ایکس پانورامیک نقایص استخوانی، ضایعات و سایر مسائل کمتر قابل مشاهده را نسبت به بایت وینگ ها نشان می دهد. تشخیص شما با اشعه ایکس پانورامیک دندان کاملتر و دقیق تر است.
- قرار گرفتن در معرض تابش را کاهش می دهد
اشعه ایکس پانوراما ممکن است 40 درصد کمتر از بایت وینگ های سنتی تشعشع را به شما بدهد. در واقع، برای به دست آوردن فنی، به اندازه 3-5 میکروسیورت را تجربه خواهید کرد. آن را با 8 تا 20 (یا بیشتر) با بایت وینگ داخل دهانی مقایسه کنید. البته این محدوده به عوامل مختلفی بستگی دارد. و دوز ممکن است به 2-4 میکروسیورت برای کودکان کاهش یابد.
- بهداشتی تر است
در اینجا مراحل ضدعفونی یک دستگاه اشعه ایکس سنتی بایتینگ آورده شده است:
قبل از هر بار استفاده سنسور را بپیچید
بعد از هر بیمار، سنسور را باز کنید
سپس، سنسور و نگهدارنده سنسور را ضد عفونی کنید
سر لوله دستگاه را استریل کنید
یوغ و مخروط را ضد عفونی کنید
سپس، قسمت های کثیف میز را بشویید
در نهایت دستکش های کثیف را دور بیندازید و دستکش های تمیز را بپوشید
آن را با فرآیند ضد عفونی دستگاه پانوراما مقایسه کنید:
بدون نیاز به دستکش
سپس از بیمار بخواهید که آستین بایت بلوک استفاده شده خود را خارج کند و دور بیاندازد
در آخر، آستین بلوک تمیز بایت را بپوشید
اشعه ایکس پانورامیک پتانسیل عفونت را از فرآیند حذف می کند.
اهمیت تصویربرداری OPG در دندانپزشکی
تصویربرداری OPG به دلایل متعددی اهمیت ویژهای در دندانپزشکی دارد. اولین و مهمترین دلیل این است که OPG میتواند تمامی دندانها و فکها را در یک تصویر واحد به نمایش بگذارد. این موضوع باعث میشود که پزشک بتواند به راحتی مشکلاتی مانند:
- پوسیدگیهای دندان
- عفونتهای لثهای
- مشکلات فک و دندان
- تومورها و سایر ضایعات دهانی
- مشکلات مربوط به دندانهای نهفته و در حال رشد
را شناسایی کرده و برنامه درمانی مناسب را برای بیمار تعیین کند. همچنین OPG به پزشک این امکان را میدهد که به راحتی وضعیت فکها، سینوسها و حتی مفصلهای فکی را بررسی کند.
مرکز سونوگرافی و رادیولوژی الوند و خدمات OPG
مرکز سونوگرافی و رادیولوژی الوند یکی از مراکز معتبر و شناختهشده در ارائه خدمات تصویربرداری پزشکی است. این مرکز با برخورداری از تجهیزات پیشرفته و تیم متخصص، خدماتی چون سونوگرافی، رادیولوژی، و تصویربرداریهای تخصصی مانند OPG را با دقت بالا و کیفیت عالی ارائه میدهد.
استفاده از تجهیزات پیشرفته در مرکز سونوگرافی و رادیولوژی الوند، موجب دقت بالای تصاویر OPG میشود. با توجه به اینکه در این روش تصویربرداری، اشعه ایکس استفاده میشود، تجهیزات باید به گونهای باشند که کمترین میزان اشعه به بیمار تابیده شود. در مرکز سونوگرافی و رادیولوژی الوند، این نکته رعایت شده و از تکنولوژیهایی استفاده میشود که میزان تابش اشعه به بدن بیمار را کاهش میدهند و در عین حال تصویری با کیفیت بالا و وضوح بالا ارائه میدهند.
فرآیند انجام OPG در مرکز سونوگرافی و رادیولوژی الوند
انجام تصویربرداری OPG در مرکز سونوگرافی و رادیولوژی الوند یک فرآیند ساده، سریع و بدون درد است. برای انجام OPG، ابتدا بیمار به اتاق رادیولوژی منتقل میشود. در این مرحله، تکنسین رادیولوژی به بیمار توضیح میدهد که باید در طول فرایند ثابت بایستد و از حرکت کردن خودداری کند تا تصویر دقیقی ثبت شود. پس از آن، دستگاه OPG به طور اتوماتیک دور سر بیمار حرکت کرده و اشعه ایکس را به صورت پانورامیک به صورت دهان و فک بیمار میتاباند.
این فرآیند معمولاً تنها چند دقیقه زمان میبرد و بیمار نباید هیچگونه درد یا ناراحتی احساس کند. پس از ثبت تصویر، تکنسین میتواند آن را بررسی کرده و به پزشک ارسال کند تا پزشک بتواند نتایج را تجزیه و تحلیل کند.
مزایای استفاده از تصویربرداری OPG
تصویربرداری OPG مزایای زیادی دارد که باعث میشود این روش یکی از ابزارهای کلیدی در دندانپزشکی و رادیولوژی باشد. از مهمترین مزایای آن میتوانیم به موارد زیر اشاره کنیم.
دقت بالا: تصویربرداری OPG با ارائه یک نمای کلی از دندانها، فکها و ساختارهای اطراف آن، به پزشک کمک میکند تا بسیاری از مشکلات دهانی را بهسرعت و با دقت بالا شناسایی کند.
کاهش تابش اشعه: استفاده از تکنولوژیهای جدید در دستگاههای OPG باعث شده که میزان تابش اشعه به بیمار نسبت به روشهای دیگر تصویربرداری کاهش یابد.
سریع و بدون درد: انجام OPG یک فرایند سریع و بدون درد است که در مقایسه با سایر روشهای تصویربرداری، زمان کمتری نیاز دارد.
مناسب برای ارزیابی مشکلات دندانی و فکی: این روش برای شناسایی انواع مشکلات دندانی، از جمله دندانهای نهفته، عفونتها، و آسیبهای فکی بسیار موثر است.
تصویربرداری OPG یک ابزار بسیار مفید و ضروری در دندانپزشکی و رادیولوژی است که به پزشکان کمک میکند تا مشکلات دهانی و دندانی را به دقت شناسایی کرده و درمانهای مناسب را تجویز کنند. مرکز سونوگرافی و رادیولوژی الوند با داشتن تجهیزات پیشرفته و تیم متخصص، این خدمات را با کیفیت عالی و دقت بالا به بیماران خود ارائه میدهد. به طور کلی، استفاده از این تکنولوژی در مراکز معتبر باعث افزایش دقت تشخیص و بهبود کیفیت درمانهای دندانپزشکی میشود.
انجام عکس OPG در مرکز سونوگرافی و رادیولوژی الوند
عکس OPG یا همان پانورامیک دندان، یکی از مهمترین و پرکاربردترین روشهای تصویربرداری در حوزه دندانپزشکی و دهان و فک و صورت است. این نوع عکسبرداری با ارائه نمایی گسترده و کامل از فک بالا و پایین، دندانها، فکها و اطراف آنها، کمک میکند تا دندانپزشکان بتوانند مشکلات دهان و دندان بیماران را با دقت بالا تشخیص داده و درمانهای مناسب را برنامهریزی کنند.
در مرکز سونوگرافی و رادیولوژی الوند، با استفاده از جدیدترین دستگاههای تصویربرداری دیجیتال، عکس OPG با کیفیت عالی و در کمترین زمان ممکن انجام میشود. در ادامه با اهمیت، مراحل انجام، مزایا و نکات مهم درباره عکس OPG بیشتر آشنا میشویم.
مراحل انجام عکس OPG در مرکز سونوگرافی و رادیولوژی الوند
رزرو نوبت: ابتدا میتوانید با تماس یا مراجعه حضوری، نوبت خود را در مرکز سونوگرافی و رادیولوژی الوند تعیین کنید.
آمادگی بیمار: انجام عکس OPG نیاز به آمادگی خاصی ندارد. بهتر است فلزات و زیورآلات ناحیه سر و گردن مانند گوشواره، گردنبند، عینک و غیره را قبل از انجام عکس برداشته شود.
قرارگیری در دستگاه: بیمار به صورت ایستاده یا نشسته در دستگاه مخصوص قرار میگیرد. سر در موقعیت مشخصی تثبیت میشود تا حرکت در هنگام عکسبرداری محدود شود.
عکسبرداری: دستگاه به دور سر بیمار میچرخد و در این مدت بیمار باید ثابت بماند. فرآیند عکسبرداری معمولاً کمتر از یک دقیقه طول میکشد.
مشاهده و تحلیل تصویر: تصویر OPG به صورت دیجیتال ثبت شده و پس از آماده شدن، توسط رادیولوژیست مرکز بررسی میشود. سپس گزارش و تصویر برای دندانپزشک یا خود بیمار تحویل داده میشود.
چرا انتخاب مرکز سونوگرافی و رادیولوژی الوند؟
مرکز سونوگرافی و رادیولوژی الوند با سابقه طولانی در ارائه خدمات تصویربرداری پزشکی، یکی از مراکز معتبر و تخصصی در منطقه است. امکانات مدرن، کادر پزشکی مجرب و محیطی آرام و بهداشتی از ویژگیهای بارز این مرکز به شمار میآید.
همچنین، در مرکز الوند تلاش میشود که بیماران در کوتاهترین زمان ممکن با بهترین کیفیت خدمات دریافت کنند. ارائه مشاوره دقیق و توضیحات کامل درباره روش انجام و اهمیت عکس OPG، باعث افزایش رضایت بیماران شده است.
عکس OPG یکی از ابزارهای ضروری و کلیدی در تشخیص و درمان مشکلات دهان و دندان است که به کمک آن، دندانپزشکان میتوانند درمانهای موثرتری را ارائه دهند. انجام این عکس در مراکز تخصصی مانند مرکز سونوگرافی و رادیولوژی الوند با بهترین تجهیزات و تیم متخصص، تضمینکننده کیفیت و دقت بالای تصویر و همچنین سلامت و رضایت بیماران است.
اگر نیاز به انجام عکس OPG دارید، با اطمینان میتوانید به مرکز سونوگرافی و رادیولوژی الوند مراجعه کنید و از خدمات حرفهای و مطمئن بهرهمند شوید.
چرا مرکز سونوگرافی و رادیولوژی الوند بهترین انتخاب برای انجام عکس OPG است؟
عکس OPG یا همان پانورامیک دندان، یکی از مهمترین و پرکاربردترین روشهای تصویربرداری در حوزه دندانپزشکی و فک و صورت است. این نوع عکس، تصویر کلی و گستردهای از فک بالا و پایین، دندانها، فکها و ساختارهای اطراف آنها را در یک تصویر واحد و با کمترین میزان تابش اشعه به بدن فراهم میکند. به همین دلیل انتخاب مرکزی که بتواند این عکس را با کیفیت بالا، دقت و با رعایت نکات ایمنی انجام دهد، اهمیت بسیار زیادی دارد. مرکز سونوگرافی و رادیولوژی الوند، با بهرهگیری از تجهیزات پیشرفته و تیم متخصص، بهترین گزینه برای انجام عکس OPG محسوب میشود.
تجهیزات پیشرفته و فناوری روز
یکی از مهمترین ویژگیهای مرکز الوند، استفاده از دستگاههای پیشرفته و بهروز رادیولوژی است که تصویربرداری OPG را با کیفیت بینظیر و وضوح بسیار بالا انجام میدهد. این تجهیزات مدرن باعث میشوند که تصاویر به صورت کاملاً دقیق و واضح ثبت شوند و پزشک معالج بتواند تشخیصهای دقیقتر و بهتری ارائه دهد. همچنین دستگاههای مرکز الوند با کمترین میزان اشعه کار میکنند که این امر اهمیت ویژهای در حفظ سلامت بیماران دارد.
تیم متخصص و با تجربه
مرکز سونوگرافی و رادیولوژی الوند از کادر تخصصی و مجرب تشکیل شده است که تمامی مراحل انجام عکس OPG را با دقت و رعایت اصول علمی و بهداشتی انجام میدهند. پرسنل این مرکز با برخورداری از دانش روز و مهارت بالا، در حین تصویربرداری به راحتی بیماران توجه کرده و تجربهای آرام و بدون استرس را برای آنها فراهم میآورند. مشاورههای تخصصی قبل و بعد از انجام عکس نیز از دیگر خدماتی است که این مرکز ارائه میدهد.
محیطی بهداشتی و آرام
یکی از مواردی که بیماران به آن اهمیت میدهند، محیط انجام خدمات پزشکی و تصویربرداری است. مرکز الوند با رعایت کامل استانداردهای بهداشتی، فضایی کاملاً تمیز و مطمئن را برای انجام عکس OPG فراهم کرده است. این محیط آرامشبخش و دوستانه باعث میشود بیماران با خیالی آسوده برای تصویربرداری مراجعه کنند و نگرانیهای خود را به حداقل برسانند.
دقت و سرعت در ارائه نتایج
مرکز الوند به اهمیت زمان در روند تشخیص و درمان بیماران واقف است. به همین دلیل، فرآیند انجام عکس OPG در این مرکز به سرعت و با دقت بالا انجام میشود و تصاویر در کوتاهترین زمان ممکن آماده شده و در اختیار پزشک و بیمار قرار میگیرد. این سرعت عمل به روند درمان کمک میکند و بیمار میتواند در سریعترین زمان ممکن اقدامات درمانی لازم را آغاز کند.
دسترسی آسان و خدمات متنوع
مرکز سونوگرافی و رادیولوژی الوند در موقعیتی مناسب واقع شده است که دسترسی به آن برای همه بیماران آسان است. همچنین این مرکز علاوه بر انجام عکس OPG، خدمات متنوع دیگری مانند سونوگرافی، رادیولوژیهای تخصصی و تصویربرداریهای پزشکی را نیز ارائه میدهد. این تنوع خدمات باعث میشود که بیماران بتوانند تمامی نیازهای تصویربرداری خود را در یک محل و با بالاترین کیفیت دریافت کنند.
اگر به دنبال مرکزی هستید که عکس OPG را با کیفیت بالا، سرعت، دقت و در محیطی امن و بهداشتی انجام دهد، مرکز سونوگرافی و رادیولوژی الوند بهترین انتخاب شماست. با تجهیزات پیشرفته، تیم متخصص و محیطی آرام، این مرکز میتواند پاسخگوی تمامی نیازهای تصویربرداری دندانپزشکی شما باشد و به روند تشخیص و درمان شما کمک شایانی کند. جهت کسب اطلاعات بیشتر و رزرو وقت، میتوانید با مرکز الوند تماس بگیرید و از خدمات بینظیر آن بهرهمند شوید.
انواع عکس های دندان
در حوزه دندانپزشکی، تصویربرداری یکی از ابزارهای حیاتی برای تشخیص و برنامهریزی درمانهای دندانی به شمار میآید. انواع مختلفی از عکسهای دندانی وجود دارد که هر یک هدف خاصی را دنبال میکنند و اطلاعات منحصر به فردی درباره وضعیت دندانها، لثهها و استخوانهای اطراف آنها ارائه میدهند. این روشها به دندانپزشکان کمک میکنند تا به طور دقیقتر مشکلات را شناسایی کرده و تصمیمات درمانی موثرتری اتخاذ کنند. در ادامه با رایجترین انواع تصویربرداریهای دندانی و کاربردهای آنها آشنا میشویم.
بایتوینگ (Bitewing)
یکی از رایجترین روشهای تصویربرداری، رادیوگرافی بایتوینگ (Bitewing) است. این نوع عکس بیشتر برای بررسی پوسیدگیهای بین دندانها و همچنین ارزیابی سلامت استخوانهای اطراف ریشه دندانها مورد استفاده قرار میگیرد. با استفاده از بایتوینگ، دندانپزشک میتواند نواحی بین دندانها که ممکن است به سادگی قابل مشاهده نباشند را بررسی کند و از وجود یا عدم وجود پوسیدگی مطمئن شود. این روش به ویژه در بررسی دندانهای خلفی که دسترسی به آنها سختتر است، اهمیت ویژهای دارد.
پریاپیکال (Periapical)
رادیوگرافی پریاپیکال (Periapical) نیز یکی دیگر از انواع مهم عکسهای دندانی است. تصویربرداری پریاپیکال کل ریشه دندان و بافتهای اطراف آن را نشان میدهد و به دندانپزشک این امکان را میدهد که عفونتها، آسیبهای ریشه و مشکلات ساختاری دندان را تشخیص دهد. این نوع عکس معمولاً زمانی استفاده میشود که بیمار درد شدید یا علائم عفونت داشته باشد، زیرا نمای کاملی از ریشه و استخوانهای اطراف ارائه میدهد و درمانهای ریشه یا جراحیهای کوچک را تسهیل میکند.
عکس OPG یا پانورامیک
عکس OPG یا پانورامیک، یکی از کاربردیترین و پرکاربردترین روشهای تصویربرداری در دندانپزشکی است. عکس OPG تصویری کامل از تمام دندانها، فکها و حتی مفصل گیجگاهی-فکی (TMJ) ارائه میدهد. این نوع تصویربرداری برای برنامهریزی درمانهای گسترده مانند ارتودنسی، کاشت ایمپلنت و بررسی دندانهای نهفته بسیار مفید است. مزیت اصلی OPG این است که نمای کلی از تمام ساختارهای دندانی و استخوانی ارائه میدهد و دندانپزشک میتواند دید جامعتری نسبت به وضعیت دهان و فک بیمار داشته باشد.
سفالومتری (Cephalometric)
نوع دیگری از تصویربرداری که در ارتودنسی کاربرد فراوان دارد، سفالومتری (Cephalometric) است. این روش به تحلیل روابط بین فکها و ساختارهای صورتی کمک میکند و اطلاعات ارزشمندی درباره نحوه رشد و ترازبندی دندانها ارائه میدهد. استفاده از عکس سفالومتری در برنامهریزی درمانهای ارتودنسی بسیار رایج است و به دندانپزشک این امکان را میدهد که بهترین استراتژی برای جابجایی دندانها و اصلاح ناهنجاریهای فکی انتخاب کند.
توموگرافی کامپیوتری با پرتو مخروطی (CBCT)
جدیدترین و پیشرفتهترین روش تصویربرداری دندانی، توموگرافی کامپیوتری با پرتو مخروطی (CBCT) است. CBCT قادر است تصاویر سهبعدی با جزئیات بالا از دندانها، استخوانهای فک و ساختارهای نرم اطراف آنها ارائه دهد. این تکنولوژی برای جراحیهای پیچیده مانند کاشت ایمپلنتها، ارزیابی کانالهای ریشه و تحلیل دقیق آناتومی استخوان بسیار کاربردی است. مزیت CBCT نسبت به روشهای دوبعدی، امکان مشاهده ساختارها در زوایای مختلف و دریافت اطلاعات دقیقتر است.
انتخاب نوع مناسب تصویربرداری بستگی به نیاز بالینی بیمار، نوع درمان مورد نظر و شرایط خاص دهان و دندان دارد. دندانپزشکان با استفاده از این تکنیکها میتوانند تشخیص دقیقتری داشته باشند و برنامه درمانی شخصیسازیشدهای را برای هر بیمار ارائه دهند. در میان تمامی روشها، عکس OPG به دلیل دید وسیع و کاربرد گستردهاش، یکی از ابزارهای کلیدی در تشخیص و برنامهریزی درمانهای دندانی محسوب میشود.
در مجموع، تصویربرداری دندانی نقش مهمی در ارتقاء کیفیت درمانهای دندانی ایفا میکند و از شناسایی دقیق پوسیدگیها و عفونتها گرفته تا برنامهریزی درمانهای پیشرفته، ابزارهای متنوع و کارآمدی در اختیار دندانپزشک قرار میدهد. استفاده هوشمندانه و انتخاب روش مناسب بر اساس نیاز بالینی، کلید دستیابی به نتایج موفق و مراقبت جامع از سلامت دهان و دندان است.
عکس opg چیست و چه کاربردهایی می تواند در دندانپزشکی داشته باشد؟
در عصر حاضر، فناوریهای تصویربرداری پزشکی و دندانپزشکی به ابزاری حیاتی برای تشخیص و برنامهریزی درمان تبدیل شدهاند. یکی از مهمترین این فناوریها، تصویربرداری OPG یا همان اورتوپانتوموگرافی است که به دندانپزشکان تصویری گسترده و دقیق از ساختار دهان و فک ارائه میدهد. عکس OPG بهطور همزمان تمامی دندانها، استخوان فک بالا و پایین و همچنین مفصل گیجگاهی-فکی را در یک قاب نشان میدهد و به این ترتیب دید کاملی از وضعیت دهان بیمار فراهم میکند.
تصویربرداری با OPG به دلیل گستره وسیع و دقت بالای خود، در بسیاری از زمینههای دندانپزشکی کاربرد دارد. برای مثال، قبل از درمانهای ارتودنسی، دندانپزشک با استفاده از این تصویر میتواند جایگاه دقیق دندانها، تراکم استخوان و وجود یا نبود دندانهای نهفته را تشخیص دهد. این اطلاعات به متخصص اجازه میدهد تا برنامه درمانی دقیقی طراحی کند و از بروز مشکلات بعدی جلوگیری نماید. همچنین، در جراحیهای دهان و فک، مانند کشیدن دندان عقل یا قرار دادن ایمپلنت، OPG نقش مهمی در شناسایی ساختار استخوان و مسیر عروق و اعصاب ایفا میکند و ایمنی بیمار را افزایش میدهد.
یکی دیگر از مزایای OPG، کاهش نیاز به گرفتن چندین رادیوگرافی کوچک است. با یک عکس واحد، متخصص میتواند تمامی دندانها و فکها را بررسی کند که این امر باعث صرفهجویی در زمان و کاهش میزان تابش اشعه به بیمار میشود. علاوه بر این، تصاویر حاصل از OPG امکان تشخیص مشکلاتی مانند عفونتهای لثه، تحلیل استخوان و کیستهای فکی را فراهم میکند. این قابلیتها باعث میشود که دندانپزشکان بتوانند درمانهای پیشگیرانه و اصلاحی را به موقع انجام دهند و سلامت دهان بیمار را بهتر کنترل کنند.
همچنین، OPG برای پیگیری روند درمانهای طولانیمدت، مانند ارتودنسی یا بازسازی استخوان، بسیار مفید است. با مقایسه تصاویر در طول زمان، پزشک میتواند پیشرفت درمان را ارزیابی کرده و در صورت نیاز تغییراتی در برنامه درمانی ایجاد کند. به طور کلی، تصویربرداری OPG یک ابزار دقیق و همهجانبه است که هم به تشخیص بهتر مشکلات دهانی کمک میکند و هم در طراحی درمانهای مؤثر و ایمن نقش اساسی دارد.

