بهترین زمان برای سونوگرافی واژینال
بهترین زمان برای سونوگرافی واژینال؛ سونوگرافی ده ها سال است که برای ارزیابی سلامت اندام های لگن زنانه - به طور عمده رحم و تخمدان ها - استفاده می شود.
معاینه سونوگرافی زنان معمولا نیاز به اسکن واژن دارد. یک پروب سونوگرافی باریک در واژن قرار داده می شود تا نمای اندام های داخلی را بهینه کند. مثانه خالی بهترین گزینه برای اسکن واژینال است.
اسکن واژینال را می توان در هر زمانی از چرخه قاعدگی انجام داد، اگرچه ترجیح ما این است که آن را درست پس از پایان دوره قاعدگی انجام دهیم. برای دستیابی به بهترین نتایج اسکن، برای خانمهایی که هنوز پریود هستند، پیشنهاد میکنیم این اسکن در پایان دورهای که پوشش رحم نازکترین است (روز 4 تا 9 سیکل قاعدگی شما) انجام شود. اگر درد دارید یا پزشک معالج شما نیاز به معاینه فوری دارد، در این صورت ویزیت شما می تواند زودتر یا در هر مرحله از چرخه شما انجام شود.
برای رزرو نوبت جهت انجام سونوگرافی واژینال در مرکز الوند با حضور کادری مجرب و متخصص با ما تماس بگیرید.
سونوگرافی شکم
اگر هرگز رابطه جنسی نداشته اید، اسکن شما به احتمال زیاد اسکن شکم با مثانه پر خواهد بود. لطفاً هنگام رزرو سونوگرافی خود با کارکنان الوند صحبت کنید. اگر اسکن شکم برای شما بهترین است، باید با مثانه پر مراجعه کنید.
موارد مصرف سونوگرافی زنان در مراحل مختلف زندگی:
دختران و نوجوانان جوان
این سونوگرافی شکم انجام می شود بنابراین لطفا با مثانه پر مراجعه کنید. لطفاً در صورت امکان با یک فرد بزرگسال مسئول شرکت کنید.
دلایل سونوگرافی در این گروه سنی ممکن است شامل تاخیر در پریود، درد شکم و خونریزی غیر طبیعی باشد.
دکتر شما که سونوگرافی را انجام می دهد، یافته ها را توضیح می دهد و به هر یک از سؤالات شما در زمان اسکن پاسخ می دهد.
سال های قاعدگی
این رایج ترین گروه سنی است که در آن سونوگرافی انجام می شود، زیرا سونوگرافی برای ارزیابی مشکلات چرخه قاعدگی عالی است.
بیشتر بخوانید: سونوگرافی غربالگری دوم
دلایل رایج ارجاع عبارتند از:
خونریزی بین پریودها
پریودهای سنگین یا دردناک
درد لگن در هر زمان از چرخه
قاعدگی غایب یا نامنظم
توده لگنی و ارزیابی فیبروم ها
تشخیص و پیگیری کیست
مسائل باروری
یافته های رایج ممکن است شامل فیبروم، آدنومیوز، پولیپ آندومتر، کیست تخمدان و هیدروسالپینکس باشد.
سالهای پس از یائسگی
خونریزی، غربالگری سرطان تخمدان و درد لگن شایع ترین دلایل مراجعه هستند.
با خونریزی پس از یائسگی، درمان جایگزین هورمونی (HRT)، پوشش آندومتر رحم از نظر ضخامت و پولیپ یا فیبروم داخلی ارزیابی می شود.
پوشش نازک آندومتر اطمینان بخش است و نشان دهنده کمبود استروژن پس از یائسگی است.
تخمدان ها نیز در صورت مشاهده بررسی خواهند شد. پس از یائسگی، تخمدان ها کوچک و غیر فعال می شوند و ممکن است همیشه دیده نشوند.
غربالگری سرطان تخمدان یکی دیگر از مراجعات رایج است، به ویژه در زنانی که سابقه خانوادگی سرطان تخمدان یا سرطان پستان قبلی دارند.
ناراحتی لگن، نفخ یا درد از دیگر دلایل انجام سونوگرافی زنان است.
آسیب شناسی شایع زنان
پولیپ آندومتر
پولیپهای آندومتر معمولاً در طول سالهای قاعدگی ایجاد میشوند و معمولاً باعث پریودهای سنگین و خونریزی بین دورهها میشوند. آنها در لایه داخلی رحم یا آندومتر یافت می شوند که بافتی است که هر ماه با پریود خونریزی می کند. آنها معمولاً خوش خیم هستند و به راحتی توسط متخصص زنان برداشته می شوند.

بیشتر بخوانید: سونوگرافی غربالگری اول
فیبروم ها
فیبروم ها تومورهای رایج عضله رحم هستند و تقریبا همیشه خوش خیم هستند. آنها گاهی اوقات باعث بی نظمی قاعدگی می شوند و ممکن است تحت نظر باشند زیرا می توانند در طی چند سال به طور قابل توجهی رشد کنند. آنها ممکن است رحم را بزرگ کنند و یک "توده" احساس یا فشار لگن ایجاد کنند.

بیشتر بخوانید: عکس رنگی رحم
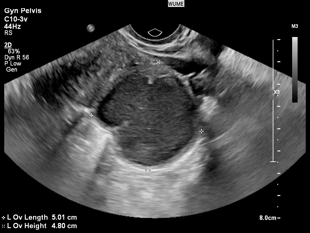
کیست های تخمدان
تخمدان ها اندام های فعالی هستند که به طور طبیعی در طول چرخه قاعدگی "کیست" کوچک ایجاد می کنند. اینها کیست هایی با عملکرد طبیعی تخمدان هستند. این کیست های طبیعی معمولاً به راحتی قابل تشخیص هستند. کیستهای مهمتر را میتوان در طول اسکن تشخیص و ارزیابی کرد و هر یافته مهمی را که در گزارش برای پزشک شرح داده شد و همچنین در زمان سونوگرافی با شما در میان گذاشت.
بیشتر بخوانید: اکوی قلب جنین
سندرم تخمدان پلی کیستیک (PCOS)
سندرم تخمدان پلی کیستیک (PCOS) وضعیتی است که با پریودهای نامنظم و معمولاً نادر همراه است. برخی از زنان آکنه +/یا افزایش وزن را به عنوان تظاهرات PCOS مشخص کرده اند. بسیاری از ویژگی های اولتراسوند PCO به تشخیص و نظارت بر این بیماری کمک می کند.

بیشتر بخوانید: سونوگرافی شبانه روزی
آدنومیوز
آدنومیوز معمولاً در زنان در سال های پایانی قاعدگی رخ می دهد و باعث پریودهای سنگین و درد می شود. این وضعیت به دلیل گسترش آندومتر یا لایه پوششی به لایه ماهیچه ای رحم است که به مرور زمان باعث بزرگ شدن رحم، درد و تغییر کیستیک می شود.
بیشتر بخوانید: سونوگرافی سه بعدی رحم
اندومتریوز
اندومتریوز وضعیتی است که باعث درد و مشکلات باروری قابل توجهی می شود. تشخیص اولتراسوند بهبود یافته است و وسعت اندومتریوز در حال حاضر بهتر شناخته شده است.
ارزیابی اندومتریوز با آماده سازی روده می تواند امکان تشخیص ضایعات کوچکتر در لگن و وجود درگیری روده را فراهم کند. در صورت لزوم، پزشک شما این درخواست را خواهد کرد.

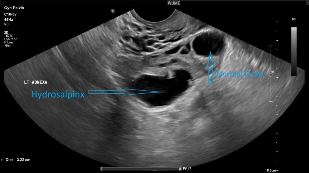
هیدروسالپینکس
Hydrosalpinx به معنای مایع در لوله فالوپ است. این یک یافته رایج در زنان مسن و زنان با مشکلات باروری است. این را می توان با سونوگرافی لگن تشخیص داد.

مواقعی وجود دارد که نیازی به اسکن ترانس واژینال نیست و تشخیص می دهد که این یک روش مناسب یا قابل قبول برای همه خانم ها نیست. اسکن ترانس واژینال عموماً در دختران جوان، زنانی که از نظر جنسی فعال نبوده اند و آنهایی که این عمل را رد کرده اند، انجام نمی شود. اگر نگرانی دارید، لطفاً با سونوگرافیست در میان بگذارید. اسکن ترانس واژینال برای همه بیماران اختیاری است. این تصمیم شماست که ادامه دهید یا خیر.
روش انجام سونوگرافی واژینال
معاینه شما توسط یک متخصص سونوگرافی انجام می شود که خود را معرفی می کند و هویت شما و روشی را که انجام می دهید تایید می کند. ابتدا یک ژل بر روی پوست در ناحیه مورد بررسی (پایین شکم/لگن) اعمال می شود تا پروب اولتراسوند به راحتی روی پوست حرکت کند.
پس از انجام تصاویر خارجی، اسکن ترانس واژینال ارائه می شود و از شما خواسته می شود که مثانه خود را خالی کرده و لباس خود را بپوشید. مبدل ترانس واژینال قبل از استفاده ضدعفونی می شود و هر بار که از ترانسدیوسر استفاده می شود یک پوشش محافظ روی آن قرار می گیرد، بنابراین خطر عفونت وجود ندارد. پروب قبل از قرار دادن در واژن با ژل روغن کاری می شود و به آرامی حرکت می کند تا اندام های لگنی را ببیند. این بخش از معاینه به طور کلی فقط 10-15 دقیقه طول می کشد.
در طول هر دو بخش اسکن، سونوگرافیک ممکن است نیاز به فشار ملایم بر روی شکم داشته باشد تا روده را از مسیر خارج کند تا تجسم بهتر و تست تحرک ساختارهای لگنی را به دست آورد. اگر معاینه باعث ناراحتی بیش از حد می شود یا می خواهید معاینه را خاتمه دهید، فورا به سونوگرافیک اطلاع دهید.
تصاویر شما توسط رادیولوژیست بررسی می شود که گزارش کتبی را برای پزشک ارائه می دهد. گاهی اوقات، رادیولوژیست در طول معاینه شخصاً با شما صحبت می کند.
در صورت امکان، لباس هایی بپوشید که امکان دسترسی آسان به ناحیه ای را که در حال تصویربرداری است، بپوشید، مانند لباس دو تکه (لباس بالا/پایین جداگانه).
ترانس شکمی: مثانه پر لازم است. یک ساعت قبل از نوبت یک لیتر آب بنوشید و مثانه خود را خالی نکنید. اتساع (انبساط) مثانه شما تصاویر واضح تری از اندام های لگنی شما می دهد و روده شما را از مسیر خارج می کند. اگر بیش از حد احساس سیری می کنید و باعث درد یا ناراحتی شما می شود، لطفاً در بدو ورود به کارکنان پذیرش بگویید که در مورد گزینه های شما با شما صحبت خواهند کرد.
ترانس واژینال: این سونوگرافی روی مثانه خالی انجام می شود که ممکن است راحت تر باشد.
بهترین زمان برای سونوگرافی واژینال؛ اولتراسوند یک تکنیک تصویربرداری پزشکی است که امکان کاوش اندام ها را با استفاده از فرآیند اولتراسوند فراهم می کند. پرتو اولتراسوند توسط یک کاوشگر ساطع می شود و در مناطق خاصی از بدن منتشر می شود و با ساختارهای آناتومیک متفاوتی که بسته به چگالی و ماهیت محیط عبوری با آن مواجه می شود منعکس می شود. سپس سیگنال به صورت ثانویه تجزیه و تحلیل می شود و امکان تجسم اندام ها و ساختارهای آناتومیک مورد نظر را فراهم می کند. مطالعات علمی متعددی در مورد خطر احتمالی این روش انجام شده است و تا به امروز هیچ عارضه جانبی به دنبال استفاده از این روش تصویربرداری شرح داده نشده است.
سونوگرافی زنان و زایمان مرجع دوبعدی و سه بعدی: اندیکاسیون را سونوگرافی سه بعدی لگن امکان تجزیه و تحلیل اندام های تناسلی داخلی و لگن کوچک زن را فراهم می کند. می تواند توسط متخصص زنان، پزشک یا مامای شما در چندین نوع اندیکاسیون برای شما تجویز شود.
نظارت یا جستجو برای آسیب شناسی حاد رحم، لوله های فالوپ یا تخمدان ها (خونریزی غیرمعمول، درد لگن، آمنوره: عدم قاعدگی).
ارزیابی اندومتریوز عمیق
ارزیابی ناهنجاری های رحمی
ارزیابی قبل از عمل جراحی
ارزیابی سقط های متعدد یا ارزیابی ناباروری (شکل، اندازه و ظاهر رحم و تخمدان ها، عدم وجود ناهنجاری لوله ها)
بررسی موقعیت IUD
سونوگرافی 2 بعدی و سه بعدی زنان و زایمان را سونوگرافی لگن و اندواژینال را می توان در 2 مرحله انجام داد، ابتدا با مثانه پر، سپس ممکن است پزشک متخصص زنان از شما بخواهد که مثانه خود را تخلیه کنید تا سونوگرافی اندواژینال تقویت شود. پروب اندوواژینال بهبود تعریف تصاویر را ممکن می سازد و بنابراین برای دقت بیشتر در تشخیص، این مسیر برای تشخیص پاتولوژی های خاص ضروری است.
در صورتی که امکان انجام مسیر اندواژینال وجود نداشته باشد، متخصص زنان، سونوگرافی را فقط از طریق لگن انجام می دهد.
سونوگرافی واژینال و سونوگرافی سه بعدی
روش معاینات و تصاویر انجام شده در بخش جراحی زنان
هیستروسکوپی تشخیصی
این یک معاینه بصری حفره رحم با استفاده از یک دوربین کوچک به نام هیستروسکوپ است. این معاینه در حین کاوش های عملکردی توسط متخصص زنان و زایمان با همراهی پرستار انجام می شود.
در بیشتر موارد نیازی به بیهوشی ندارد. این یا با واژینوسکوپی (بدون نصب اسپکولوم) یا با استفاده از اسپکولوم انجام می شود. برای گشاد کردن واژن، دهانه رحم و سپس حفره رحم از سالین فیزیولوژیک استفاده می شود.
هدف آن کاوش حفره رحم برای جستجوی یک ناهنجاری است. هیستروسکوپی امکان کاوش کانال اندوسرویکال و مسیر آن، حفره رحم و دهانه های داخلی لوله های فالوپ (استیای لوله ای) را فراهم می کند. هنگامی که به ضایعه مشکوک می شود، هیستروسکوپی به متخصص زنان اجازه می دهد تا بیوپسی آندومتر هدایت شده را انجام دهد. هیستروسکوپی اجازه کاوش لوله های رحم یا تخمدان ها را نمی دهد.
هیستروسکوپی تشخیصی برای ارزیابی باروری، ارزیابی خونریزی غیرطبیعی در حین یا خارج از قاعدگی، خونریزی پس از یائسگی، بررسی های بعد از عمل، برداشتن سخت دستگاه داخل رحمی عملی خواهد بود.
معاینه خارج از دوره قاعدگی در صورت امکان در قسمت اول سیکل انجام می شود. در دوران یائسگی می توان آن را در هر زمانی انجام داد.
سونوگرافی واژینال و سونوگرافی سه بعدی
سونوگرافی واژینال اولین آزمایش اندام تناسلی زنان است.
این معاینه سوپراپوبیک (مثانه پر) و اندوواژینال (مثانه خالی) با پروب های خاصی که قبلاً قبل از هر معاینه تمیز و ضدعفونی شده اند انجام می شود.
در بیشتر موارد، وجود خونریزی آزاردهنده نیست و منع مصرفی برای معاینه نیست.
این معاینه می تواند در هر دوره ای از چرخه انجام شود.
تجزیه و تحلیل سه بعدی تکمیل کننده کاوش استاندارد دو بعدی است. این تکنیک امکان بازسازی سه بعدی (با افزودن صفحات دو بعدی) را در تمام سطوح و جهت گیری های مورد نظر فراهم می کند، که از محدودیت های آناتومیکی که در سونوگرافی دو بعدی با آن مواجه می شود، فراتر می رود.
بنابراین، تجزیه و تحلیل اندام های لگن (مثانه، رحم، تخمدان ها) از طریق کاوش تصاویر بازسازی شده در سطوح مورد نظر تسهیل و اصلاح می شود. به ویژه برای رحم، این بازسازی در صفحه فرونتال انجام می شود که دسترسی به آن در تصویربرداری دو بعدی دشوار است، به ویژه برای کشف بهتر حفره و خطوط رحم به عنوان یک کل.
کمک های آن چندگانه است و چه در زمینه ارزیابی ناباروری، منومتروراژی (خونریزی)، ناهنجاری رحم، درد مزمن لگنی و یا برای بررسی موقعیت یک دستگاه داخل رحمی (IUD) قابل تشخیص است.
مقالات پیشنهادی : ماموگرافی دیجیتال ، بهترین مرکز سونوگرافی تهران ، فیبروسکن چیست؟
هیستروسونوگرافی
این معاینه امکان بررسی دقیق حفره رحم را فراهم می کند. برای انجام این کار، پزشک پس از قرار دادن اسپکولوم، مایع (سرم فیزیولوژیکی) را با استفاده از یک کاتتر در دهانه رحم تزریق می کند. هیستروسونوگرافی اکتشاف اولتراسوند را با اکتساب های سه بعدی کامل می کند.
سونوگرافی اندوواژینال به یک تکنیک غیرقابل جایگزین در عمل بالینی روزانه تبدیل شده است. به لطف توسعه پروب ها، به عنوان یک ابزار تشخیصی بسیار دقیق در زمینه آسیب شناسی رحم-تخمدان، اندومتریوز و در نظارت بر بارداری طبیعی و پاتولوژیک در سه ماهه اول بیشتر و بیشتر ظاهر می شود. همچنین در تولید مثل با کمک پزشکی کاربرد دارد و ابزاری واقعی برای برنامه ریزی روش های جراحی است.
سونوگرافی لگن چیست؟
سونوگرافی لگن آزمایشی است که پزشکان برای دیدن اندام های داخل لگن از آن استفاده می کنند. سونوگرافی لگن به پزشک یا ارائه دهنده مراقبت های بهداشتی کمک می کند تا از سلامت اندام های تناسلی شما اطمینان حاصل کند. این موارد شامل شما می شود:
رحم،
دهانه رحم،
واژن،
لوله های فالوپ،
و تخمدان ها
پزشک شما همچنین میتواند از نوع خاصی از سونوگرافی به نام سونوگرافی داپلر استفاده کند تا ببیند آیا خون در اندامهای لگن شما چگونه باید جریان دارد یا خیر.
سونوگرافی لگن چگونه کار می کند؟
اولتراسوند با استفاده از ابزاری به نام مبدل کار می کند. یک مبدل امواج صوتی را از طریق پوست و بافت ها به اندام های شما می فرستد (یا هدایت می کند). سپس این امواج صوتی مانند یک پژواک از اندام های شما خارج می شوند و به سمت مبدل باز می گردند. (از آنجایی که این امواج صوتی بسیار بالا هستند، گوش انسان نمی تواند آنها را بشنود).
مبدل این امواج منعکس شده را تشخیص می دهد که به شکل گیری تصویری از اندام های شما کمک می کند.
در طول سونوگرافی، یک تکنسین سونوگرافی یک ژل شفاف را روی پوست شما قرار می دهد. ژل به تکنسین شما کمک می کند تا مبدل را به آرامی روی پوست شما حرکت دهد. ژل همچنین انتقال امواج صوتی را آسان تر می کند.
دو نوع سونوگرافی لگن
ارائه دهندگان بهداشت می توانند سونوگرافی لگن را به یکی از دو روش زیر انجام دهند:
ترانس ابدومینال: در طول سونوگرافی ترانس شکمی، تکنسین سونوگرافی شما با استفاده از ژل، مبدل را روی شکم شما می کشد.
ترانس واژینال: در طول سونوگرافی ترانس واژینال، تکنسین شما یک مبدل بلند و نازک را در واژن شما قرار می دهد. مبدل ها با ورق های پلاستیکی یا لاتکس پوشانده شده اند.
نوع سونوگرافی شما بستگی به این دارد که چرا در وهله اول به سونوگرافی نیاز دارید. برخی از زنان تنها به یکی از این نوع سونوگرافی ها نیاز دارند. سایر زنان به سونوگرافی ترانس واژینال و ترانس واژینال نیاز دارند تا پزشک آنها بتواند بیماری را تشخیص دهد یا درمان خاصی را ارائه دهد.
سونوگرافی لگن چه مواردی را به پزشک نشان می دهد؟
گاهی اوقات زنان به سونوگرافی لگن نیاز دارند تا پزشک آنها بتواند اندام های تناسلی آنها را بررسی یا اندازه گیری کند. پزشکان می توانند از سونوگرافی برای دیدن موارد زیر استفاده کنند:
اندازه و شکل تخمدان ها و رحم شما را ببینید و ببینید در کجای بدن شما قرار دارند.
تراکم (یا اکوژنیک) و ضخامت بافت ها و اندام های لگن شما؛
مایعات یا توده های بافتی در مثانه، آندومتر، لوله های فالوپ و عضلات رحم (میومتر)؛
ضخامت و طول دهانه رحم شما؛
تغییر در شکل مثانه شما؛
و جریان خون در اندام های لگن شما.
آیا سونوگرافی لگن می تواند سرطان را تشخیص دهد؟
سونوگرافی لگن ارزشمند است زیرا اطلاعات مفیدی را در مورد اندازه، محل و هر گونه مشکل احتمالی در اندام های لگن به پزشک شما می دهد. اما سونوگرافی نمی تواند به تنهایی برای تشخیص سرطان یا سایر بیماری ها مورد استفاده قرار گیرد. پزشک برای تشخیص سرطان یا سایر بیماریهای خاص به آزمایشهای بیشتری نیاز دارد.
سونوگرافی لگن به پزشکان کمک می کند:
شناسایی مشکلات مربوط به نحوه عملکرد رحم، مانند شرایط آندومتر؛
تومورهای خوش خیم (بی ضرر) مانند تومورهای فیبروم و کیست و همچنین انواع دیگر تومورها را در لگن خود پیدا کنید.
یک IUD (نوعی کنترل بارداری به نام دستگاه داخل رحمی) که ممکن است در داخل رحم شما جابجا شده باشد را پیدا کنید.
بیماری التهابی لگن نقطه ای و سایر عفونت ها و انواع التهاب؛
بفهمید که چرا یک زن بعد از یائسگی خونریزی می کند.
اگر برای ناباروری تحت درمان هستید، تخمدان های خود را زیر نظر بگیرید.
برای IVF (لقاح آزمایشگاهی) مایعات و تخمک ها را در تخمدان های خود جمع آوری کنید. پزشکان تخمکها را از فولیکولها یا کیسههای تخمک جمعآوری میکنند.
تشخیص مشکلات بارداری سونوگرافی لگن میتواند تشخیص دهد که آیا تخمک بارور شده در خارج از رحم در لولههای فالوپ شما کاشته شده است یا خیر. به این حاملگی خارج از رحم می گویند.
نظارت بر رشد جنین در دوران بارداری؛
و مشکلات سلامتی در جنین در حال رشد را تشخیص دهد.
پزشکان همچنین می توانند از سونوگرافی لگن برای سایر روش ها مانند بیوپسی آندومتر استفاده کنند.
مقالات پیشنهادی : مرکز سونوگرافی آندومتریوز ، قیمت سونوگرافی واژینال ، سونوگرافی داپلر عروق
سونوگرافی ترانس واژینال و سونوهیسترووگرافی
برخی از پزشکان سونوگرافی ترانس واژینال را با روشی به نام سونو هیستروگرافی جفت می کنند.
در طول این روش، یک ارائه دهنده مراقبت های بهداشتی رحم شما را با مایع پر می کند. این به تکنسین سونوگرافی شما کمک می کند تا تصاویر بهتری از اندام های تناسلی شما داشته باشد.
آیا سونوگرافی لگن خطراتی دارد؟
سونوگرافی خطرات کمی دارد و از اشعه استفاده نمی کند.
برخی از زنان که شرایط سلامت خاصی دارند ممکن است خطرات دیگری نیز داشته باشند. اگر هر گونه نگرانی دارید، همیشه قبل از انجام سونوگرافی با پزشک خود صحبت کنید.
آیا سونوگرافی لگن درد دارد؟
در طول سونوگرافی از طریق شکم، اکثر زنان وقتی که تکنسین مبدل را روی شکم خود حرکت می دهد، هیچ درد یا ناراحتی احساس نمی کنند. اما اگر مثانه پر دارید ممکن است ناراحت باشید. برخی از زنان نیز خوابیدن روی میز امتحان را ناراحت کننده می دانند.
اگر سونوگرافی ترانس واژینال انجام می دهید، ممکن است زمانی که تکنسین مبدل را در واژن شما قرار می دهد، درد خفیفی احساس کنید.
برخی از زنان به دلایل سلامتی باید فوراً سونوگرافی از طریق شکم انجام دهند. اگر به سونوگرافی از طریق شکم نیاز دارید، پزشک ممکن است یک لوله کوچک به نام کاتتر ادراری را وارد مثانه کند. کاتتر ادراری از مایع برای پر کردن مثانه استفاده می کند.
آلرژی لاتکس و سونوگرافی ترانس واژینال
مبدل های مورد استفاده در سونوگرافی ترانس واژینال با ورقه های لاتکس یا پلاستیک پوشانده می شوند. بنابراین، اگر به لاتکس حساسیت دارید، ممکن است واکنش آلرژیک داشته باشید. اگر به لاتکس حساسیت دارید قبل از سونوگرافی حتما به پزشک خود اطلاع دهید.
نتایج سونوگرافی لگن: آیا چیزی می تواند بر دقت سونوگرافی تأثیر بگذارد؟
برخی موارد ممکن است بر دقت سونوگرافی شما تأثیر بگذارد. این شامل:
چاقی شدید،
گاز روده،
و باریم در روده خود (اگر اخیرا آزمایش باریم انجام داده اید).
خالی بودن مثانه نیز می تواند بر نتایج سونوگرافی از طریق شکم تأثیر بگذارد. داشتن مثانه پر مهم است زیرا این مایع اضافی به تکنسین شما کمک می کند تصویر بهتری از اندام های شما داشته باشد. مایع رحم شما را به سمت بالا و روده های شما را به طرفین حرکت می دهد.
مقالات پیشنهادی : تصویربرداری زنان و پستان ، سونوگرافی برست ، شرایط سونوگرافی حاملگی
چگونه برای قرار ملاقات سونوگرافی لگن خود آماده شوم؟
قبل از انجام سونوگرافی، پزشک نحوه عملکرد اسکن را توضیح می دهد. اگر سوالی دارید حتما بپرسید.
اگر به لاتکس حساس یا حساسیت دارید، حتما قبل از انجام سونوگرافی به پزشک خود اطلاع دهید.
بیشتر زنان می توانند قبل از انجام اسکن غذا بخورند و بنوشند. شما به هیچ دارویی برای کمک به آرامش یا خوابیدن نیاز نخواهید داشت. اگر سونوگرافی بخشی از روش دیگری باشد که از بیهوشی استفاده می کند، ممکن است پزشک به شما دارو بدهد.
لباسی بپوشید که بتوانید روی آن ژل بزنید. ژلی که تکنسین ها روی پوست شما می گذارند لباس شما را لکه نمی کند، اما ممکن است مقداری از ژل بعد از سونوگرافی به پوست شما بچسبد.
اگر سونوگرافی از طریق شکم انجام می دهید، پزشک از شما می خواهد که یک تا دو ساعت قبل از سونوگرافی چندین لیوان آب بنوشید. مطمئن شوید که تا پایان سونوگرافی به دستشویی نروید و ادرار نکنید.
اگر سونوگرافی واژینال انجام می دهید، حتما قبل از سونوگرافی ادرار کنید.
تمام دستورالعمل های دیگر پزشک خود را قبل از انجام عمل دنبال کنید.
در طول سونوگرافی لگن من چه اتفاقی خواهد افتاد؟
برخی از زنان سونوگرافی لگن را دقیقاً در مطب ارائه دهنده خود انجام می دهند. سایر زنان زمانی که در بیمارستان هستند سونوگرافی انجام می دهند.
زمان و مکان انجام سونوگرافی ممکن است به وضعیت شما و اقدامات پزشک شما بستگی داشته باشد.
سونوگرافی ترانس شکمی
تکنسین شما از شما میخواهد لباس، لوازم جانبی یا جواهراتی را که میتواند مانع از تجهیزات سونوگرافی شود را در بیاورید.
اگر تکنسین از شما بخواهد که لباسهایتان را در بیاورید، تکنسینتان یک عبایی نیز به شما میدهد تا بپوشید.
شما روی میز معاینه به پشت دراز خواهید کشید، درست مانند معاینه لگن یا پاپ اسمیر.
تکنسین شما ژل را روی شکم (شکم) شما می مالد.
سپس تکنسین شما مبدل را روی پوست شما قرار می دهد و آن را روی شکم شما می بلغزد تا اندام های شما را ببیند.
اگر تکنسین شما از یک پروب داپلر برای بررسی جریان خون شما استفاده می کند، ممکن است صدای زوزه ای بشنوید.
اگر دوست دارید، می توانید تصاویر اندام های لگنی خود را در صفحه کامپیوتر مشاهده کنید. تکنسین شما این تصاویر را برای سوابق پزشکی شما ثبت خواهد کرد.
وقتی سونوگرافی تمام شد، تکنسین شما ژل را از روی شکم پاک می کند.
بعد از اتمام سونوگرافی می توانید ادرار کرده و مثانه خود را خالی کنید.
مقالات پیشنهادی : سونوگرافی سه بعدی واژینال چیست؟ ، سونوگرافی تخصصی آلت مردان
سونوگرافی ترانس واژینال
قبل از انجام سونوگرافی ترانس واژینال، تکنسین شما از شما می خواهد که لباس یا جواهرات خود را در بیاورید، اگر این موارد ممکن است مانع از دستگاه سونوگرافی شود.
اگر مجبور هستید لباس خود را در بیاورید، تکنسین لباسی به شما می دهد تا در طول سونوگرافی بپوشید.
در مرحله بعد، تکنسین شما از شما می خواهد که روی میز امتحان دراز بکشید. تکیه گاه ها پاها و پاهای شما را نگه می دارند، درست مانند معاینه لگن یا پاپ اسمیر.
اگر سونوگرافی ترانس واژینال انجام می دهید، تکنسین شما یک ورقه پلاستیکی یا لاتکس را با مقداری ژل روی مبدل قرار می دهد. سپس تکنسین شما نوک مبدل را وارد واژن شما می کند. این ممکن است آزار دهنده باشد یا کمی ناراحت کننده باشد.
تکنسین شما به آرامی مبدل را به اطراف حرکت می دهد تا بهترین زاویه را پیدا کند تا بتواند اندام های لگن شما را به وضوح ببیند. برخی از خانم ها وقتی تکنسین ها مبدل را داخل واژن خود حرکت می دهند کمی فشار احساس می کنند.
اگر تکنسین شما از کاوشگر داپلر استفاده می کند، ممکن است صدای زوزه ای بشنوید. یک کاوشگر داپلر به پزشک کمک می کند تا مطمئن شود خون شما همانطور که باید جریان دارد.
اگر شما میخواهید، میتوانید تصاویر اندامهای لگنی خود را روی صفحه رایانه ببینید. تکنسین شما این تصاویر را برای سوابق سلامتی شما ثبت خواهد کرد.
تکنسین سونوگرافی شما پس از اتمام بررسی اندام های شما، مبدل را از واژن شما خارج می کند.
بعد از سونوگرافی لگن چه اتفاقی خواهد افتاد؟
پس از پایان سونوگرافی لگن، دیگر نیازی به تغییر فعالیتها یا روال عادی خود نخواهید داشت. همچنین می توانید به عادات غذایی و آشامیدنی خود بازگردید مگر اینکه پزشک دستورالعمل خاصی به شما بدهد.
پزشک ممکن است بسته به سلامتی یا شرایطی که دارید، دستورالعمل های بیشتری برای مراقبت های بعدی به شما بدهد.

