سونوگرافی آنومالی در تهران؛ اسکن 20 هفته ای برای چیست؟
اسکن 20 هفته ای می تواند بین 18 تا 20 هفته انجام شود. این نشان می دهد که در نیمه بارداری چه اتفاقی برای کودک شما می افتد.

اگر سوالی در مورد رادیولوژی یا سونوگرافی دارید ویا پزشک برایتان رادیولوژی یا سونوگرافی تجویز کرده است
می توانید با ما در مرکز سونوگرافی و رادیولوژی الوند تماس بگیرید.
سونو گرافی آنومالی دقیق:
به اعضای بدن کودک شما از جمله اندام های داخلی نگاه می کند
محل جفت را بررسی می کند
هر گونه مشکل آشکار در رشد یا رشد کودک شما مانند اسپینا بیفیدا، نقایص قلبی و نقص اندام را تشخیص می دهد.
اگر می خواهید جنسیت کودک خود را بدانید، اکنون زمان آن است که بپرسید. قبل از اسکن آنچه را که می خواهید بگویید، تا سونوگرافیک بتواند از نزدیک به شما بگوید (یا آن را مخفی نگه دارد). به خاطر داشته باشید که تشخیص جنسیت در این اسکن حدود 95 درصد دقیق است.
این اسکن گاهی اوقات اسکن مورفولوژی نامیده می شود.
آنچه می توانید در اسکن 20 هفته ای مشاهده کنید
در اسکن 20 هفته ای، احتمالاً ضربان قلب کودک، انحنای ستون فقرات، صورت نوزاد و تکان دادن دست ها و پاهای او را خواهید دید. حتی ممکن است یک مکیدن انگشت زیبا هم وجود داشته باشد.
از آنجایی که میتوانید در این اسکن چیزهای زیادی ببینید، ممکن است حس قویتری از ورود نوزاد یا نوزادان به زندگیتان داشته باشید.
معمولاً می توانید یک عکس اولتراسوند یا حتی یک DVD برای به اشتراک گذاشتن با خانواده و دوستان دریافت کنید. برخی از خدمات دارای اسکنر اولتراسوند سه بعدی یا حتی چهار بعدی هستند، اما این اسکن ها اغلب هزینه اضافی دارند.
سقط جنین و یا مشکلات سلامتی در هفته بیستم
به ندرت احتمال از دست دادن بارداری بعد از حدود 13 هفته وجود دارد. خطر کلی سقط جنین پس از این زمان تنها حدود 3 درصد است.
احتمال کمی وجود دارد که اسکن یک مشکل یا عارضه جدی سلامتی را نشان دهد. بعضی از ناهنجاری ها به هیچ وجه در اسکن ها دیده نمی شوند یا تا اواخر بارداری قابل مشاهده نیستند.
بیماری های ژنتیکی مانند سندرم داون را می توان تنها با آزمایش های خاص قبل از زایمان مانند آمنیوسنتز تشخیص داد. اگر به انجام این آزمایشها فکر میکنید، خدمات مشاوره ژنتیک میتواند اطلاعات بیشتری در مورد آنها به شما بدهد.
کارهایی که می توانید انجام دهید
با شریک زندگی خود تصمیم بگیرید که آیا می خواهید جنسیت کودک خود را بدانید.
در صورت امکان، قرار ملاقات 20 هفته ای اسکن را با شریک زندگی خود برای زمان و روزی که برای شما مناسب است تنظیم کنید.
قبل از هر روز، از کارفرمای خود مرخصی بخواهید تا بتوانید به اسکن بروید. رفتن به سونوگرافی یکی از معدود شانس هایی است که می توانید قبل از تولد نوزاد خود را ببینید.
این سونوگرافی اصلی است که در دوران بارداری انجام می شود.
در 20 هفتگی بیشتر جنین شما به گونه ای رشد کرده است که غربالگری اندام ها برای ارزیابی ناهنجاری ها امکان پذیر است. این اسکن را می توان در هر زمانی بین هفته های 18 تا 22 بارداری انجام داد، اما در حالت ایده آل در حدود هفته 20 بارداری.
اسکن می تواند حداقل 45 دقیقه و گاهی تا یک ساعت طول بکشد.
در این اسکن قسمتهای مختلف نوزاد اندازهگیری میشود تا تأیید شود که رشد رضایتبخشی مطابق با آنچه از تاریخ زایمان انتظار میرود وجود داشته است.
تصاویر متعددی از اندامهای مختلف گرفته میشود تا تأیید شود که توسعه طبق انتظار پیش میرود.
در حالی که بیشتر تصویربرداری برای نوزاد هدف قرار می گیرد، جفت، بند ناف و مایع آمنیوتیک نیز تصویربرداری می شود. جریان خون به رحم با اندازه گیری داپلر ارزیابی می شود.
اغلب می توان جنسیت نوزاد را تشخیص داد. لطفا در صورت تمایل به دانستن این موضوع به ما اطلاع دهید.
گاهی اوقات نمی توان همه نوزاد را در یک معاینه ارزیابی کرد. این ممکن است به دلیل موقعیت کودک باشد. گاهی اوقات نیاز به معاینه مجدد است. این بخشی از هزینه اصلی معاینه خواهد بود و قبل از ترک تمرین برای شما رزرو می شود. در حالت ایدهآل، سعی میکنیم کل اسکن را در روز کامل کنیم، اما گاهی اوقات bub نمیخواهد همه چیز را به ما نشان دهد! کودک شما می تواند در یک نقطه برای کل اسکن راحت باشد!
در روز چه خواهد شد
هنگامی که برای اسکن خود رسیدید، از شما خواسته می شود که فرمی را در مورد بارداری خود تا به امروز پر کنید.
سپس سونوگرافی شما را به اتاق اسکن می برد.
از شما خواسته می شود که روی میز دراز بکشید و شکم خود را در معرض دید قرار دهید. یک حوله در شلوار شما فرو میرود تا پخش ژل روی لباستان را محدود کند.
ژل شفاف بر روی شکم شما اعمال می شود و سونوگرافیک پروب را روی تصاویر ضبط کننده شکم شما حرکت می دهد.
لطفاً با یک مثانه نیمه پر همراه داشته باشید که به شما امکان می دهد تصاویری از کودک خود را به دست آورید.
ما نوزاد شما را اندازه گیری می کنیم و جفت و دهانه رحم شما را بررسی می کنیم.
گاهی اوقات اسکن واژینال نیز انجام می شود تا دید بهتری از جنین شما به ما بدهد یا اگر جفت پایینی دارید. شما می توانید کل اسکن را در مانیتورهای صفحه پلاسما روی دیوار ما تماشا کنید!
در این اسکن، ما دوست داریم کودک شما کمی (نه زیاد!) حرکت کند تا بتوانیم هر چیزی را که می خواهیم ببینیم اسکن کنیم.
همه سونوگرافیست های ما دارای اعتبار بنیاد پزشکی جنین هستند. سبک اسکن هر سونوگرافی متفاوت است. برخی دوست دارند از طریق اسکن با شما صحبت کنند در حالی که برخی دیگر دوست دارند ساکت بمانند زیرا به آنها کمک می کند تا روی کودک شما تمرکز کنند. سونوگرافی این موضوع را قبل از اسکن برای شما توضیح می دهد. نگاهی دقیق به آناتومی کودک شما اولویت شماره یک ما است.
پس از اتمام اسکن، سونوگرافیک اتاق را ترک می کند و نتایج اسکن توسط رادیولوژیست یا متخصص زنان و زایمان ما بررسی می شود. اگر دلیلی برای نگرانی وجود داشته باشد، آنها می آیند و در همان روز با شما صحبت می کنند. گاهی اوقات کودک شما در یک نقطه خیلی راحت است و ما نمی توانیم اسکن کامل را انجام دهیم. این به این معنی است که ممکن است لازم باشد دوباره برگردید تا ما قسمت هایی را که ندیده ایم بررسی کنیم.
تاریخ سررسید مورد انتظارتان در روز به شما داده می شود و یک کارت دسترسی آنلاین برای مشاهده تصاویر خود از طریق وب سایت ما به شما داده می شود.
مقالات پیشنهادی :
عکس رنگی رحم با بی حسی در تهران
بهترین زمان برای سونوگرافی واژینال
خطرات
سونوگرافی بارداری سالهاست که در بارداری استفاده میشود و برای شما و جنین شما بیخطر تلقی میشود.
گاهی لازم است اسکن واژن انجام دهیم. اگر قبل از اسکن واژینال به لاتکس حساسیت دارید یا نمی دانید، در این صورت از روکش بدون لاتکس روی پروب استفاده می شود.
گاهی اوقات ناراحتی ناشی از فشار پروب روی مثانه یا دستکاری پروب واژن وجود دارد. اگر این بسیار دردناک است لطفا به ما اطلاع دهید.
متأسفانه یک سونوگرافی حاملگی معمولی یک نوزاد طبیعی را تضمین نمی کند. متأسفانه مشکلات زیادی وجود دارد که نمی توان از طریق تصویربرداری مشخص کرد. نوزاد هنوز 20 هفته فرصت دارد تا به رشد و تکامل خود ادامه دهد.

فواید
شما قادر خواهید بود کودک در حال رشد خود را ببینید
ما قادریم قلب و مغز را با جزئیات زیاد ارزیابی کنیم.
اگر موردی وجود داشته باشد که ما در مورد اسکن نگران باشیم، در روز به شما اطلاع خواهیم داد. این برای شما و کودکتان بسیار اطمینان بخش است.
سونوگرافی چیست؟ ؛اسکن اولتراسوند از امواج صوتی با فرکانس بالا برای ایجاد تصاویری از داخل بدن و کودک شما استفاده می کند. امواج صوتی به جای تشعشع استفاده می شود که آنها را ایمن می کند.
چرا یک اسکن 20 هفته ای در زنانه ایمیجینگ انجام شود؟
سونوگرافیست های ما با بالاترین استانداردها آموزش دیده اند تا این اندازه گیری های تخصصی را از شما و نوزادتان انجام دهند. آنها دارای گواهینامه صلاحیت از بنیاد پزشکی جنین هستند که توسط کالج سلطنتی متخصصان زنان و زایمان استرالیا و نیوزیلند به رسمیت شناخته شده است. ما اندازه گیری های دقیقی از کودک شما انجام می دهیم. انواع سونوگرافی و تمام اسکن های ما توسط رادیولوژیست یا متخصص زنان و زایمان ما نظارت می شود.
چقد طول میکشه؟
اسکن 20 هفته ای تقریباً 45 دقیقه طول می کشد، اما لطفاً به خودتان زمان زیادی بدهید. گاهی اوقات به دلیل موقعیت کودک یا موقعیت جفت شما نمی توانیم همه چیز را ببینیم/اسکن کنیم. BMI خود شما نیز بر میزان خوبی که می توانیم کودک شما را در سونوگرافی ببینیم، تأثیر می گذارد. گاهی اوقات باید برای یک روز دیگر دوباره رزرو کنید تا بتوانیم اسکن را به طور کامل تکمیل کنیم.
چگونه باید برای اسکن آماده شوم؟
آمادگی های مورد نیاز جهت انجام سونوگرافی و رادیولوژی ، شما باید با یک مثانه نیمه پر برای اسکن بروید. به یاد داشته باشید که فرم معرفی خود را همراه داشته باشید.
اسکن ناهنجاری مادرزادی چیست؟
اسکن ناهنجاری مادرزادی که به عنوان اسکن اواسط بارداری نیز شناخته می شود، نگاهی دقیق به نوزاد و رحم شما (رحم) می کند. این اسکن به مادران بالقوه کمک می کند تا از مشکلات یا نگرانی های احتمالی در مورد رشد کودک خود مطلع شوند.
شرایط زیادی وجود دارد که میتوان آنها را از طریق اسکن ناهنجاری تشخیص داد، که میتوان آنها را در اوایل یا بعد از تولد نوزادتان درمان کرد. از طریق این اسکن ها، ارائه دهنده مراقبت های بهداشتی شما می تواند بهترین درمان و مراقبت را برای شما و کودکتان ارائه دهد.
6 نکته ای که باید در مورد اسکن ناهنجاری های مادرزادی بدانید
بارداری برای اکثر زنان یک دوران هیجان انگیز است، اما برای مادران آینده نیز یک مرحله حساس است. برای اینکه خود را راحت کنید، اسکن ناهنجاری مادرزادی می تواند در پی بردن به وضعیت کودک شما و همچنین به اشتراک گذاشتن لحظه شگفت انگیز رشد کودک با همسر یا خانواده شما بسیار مفید باشد.
اما جدا از این موارد، در اینجا برخی از حقایق حیاتی وجود دارد که باید در مورد اسکن ناهنجاری های مادرزادی بدانید.
- یک انتظار وجود دارد و سپس واقعیت وجود دارد.
وقتی صحبت از سلامتی به میان میآید، هرگز نباید وضعیت کل بدنمان را حدس بزنیم. ما نمی توانیم فقط به این دلیل که احساس خوبی داریم، به خصوص در دوران بارداری، از معاینات بهداشتی صرف نظر کنیم.
اسکن ناهنجاری های مادرزادی اطمینان حاصل می کند که شما دقیقاً از وضعیت کودک خود مطلع هستید. شما نمی توانید دقیقاً با تکیه بر آنچه که احساس می کنید رشد کودک خود را ببینید و پایه گذاری کنید، بنابراین همیشه باید انتظار بهترین و بدترین را داشته باشید. در حالی که ما واقعاً نمیتوانیم از موارد ناگوار که در آن نوزادان ممکن است در هر دوره از بارداری شما مشکلات رشدی داشته باشند اجتناب کنیم، حداقل اسکن میتواند به تشخیص و درمان زودهنگام کمک کند.
- اسکن ناهنجاری مادرزادی 30 دقیقه طول می کشد.
اسکن ناهنجاری های مادرزادی فقط نیم ساعت طول می کشد، بنابراین لازم نیست نگران صرف ساعت ها برای این روش باشید. مطمئن باشید که سونوگرافیک شما را در حالی که معاینه جامع و توضیحی در مورد شرایط کودک شما ارائه می دهد، راحت نگه می دارد.
- اسکن ناهنجاری های مادرزادی در حدود 20-28 هفتگی انجام می شود.
اگرچه این اسکن برای برخی از متخصصان مراقبت های بهداشتی بیشتر به عنوان اسکن 20 هفته ای شناخته می شود، اما ممکن است طی 20 تا 28 هفته نیز انجام شود. مدت زمان ذکر شده ایده آل ترین مدت برای این اسکن است زیرا ساختار بدن کودک شما (پوست، بازوها، پاها، اندام های داخلی و غیره) باید در این زمان ایجاد شده باشد.
به همین دلیل، سونوگرافیست ها می توانند شرایط احتمالی مربوط به رشد ساختاری کودک شما را بهتر ببینند. اما توجه داشته باشید که ممکن است همه شرایط در این اسکن مشخص نشود، بنابراین هنوز هم مهم است که در طول دوران بارداری، معاینات سلامت اجرایی خود را انجام دهید.
- اسکن ناهنجاری مادرزادی اسپینا بیفیدا، شکاف لب یا کام یا ناهنجاری های قلبی را تشخیص می دهد.
یکی از دلایل مهمی که چرا باید اسکن ناهنجاری انجام دهید این است که به تشخیص ناهنجاری های مادرزادی کمک می کند. بعضی از آنها ... هستند:
اسپینا بیفیدا - وضعیتی که در آن ستون فقرات و نخاع نوزاد به درستی تشکیل نشده است.
شکاف لب یا کام - وضعیتی که در آن بافت لب نوزاد به درستی به هم متصل نشده است.
ناهنجاری های قلبی - شرایطی که در آن ساختار قلب کودک دارای نقص است.
سندرم ادوارد - وضعیتی که در آن نوزاد کروموزوم 18 اضافی دارد که باعث ناتوانی شدید می شود.
شرایط دیگری نیز وجود دارد که از طریق اسکن ناهنجاری قابل تشخیص است. در حالی که برخی از بیماریها را میتوان درمان کرد یا هنوز میتوان پس از تولد نوزاد مداخله کرد، برخی از شرایط میتوانند تهدید کننده زندگی باشند. اما توجه داشته باشید که تشخیص برخی از شرایط تنها در اسکن ناهنجاری دشوارتر است، بنابراین مطمئن شوید که همیشه با پزشک خود مشورت کنید.
- برای شما و کودکتان کاملا بی خطر است.
هنگام گرفتن اسکن ناهنجاری مادرزادی هیچ خطر پزشکی برای شما و کودکتان وجود ندارد. طی سالها تحقیقات پزشکی، بیخطر بودن اسکنها ثابت شده است و خطرات مشابه اشعه ایکس برای نوزادان را ندارد.
انجام اسکن ناهنجاری مادرزادی نیز ایمنی کودک شما را تضمین می کند. اگر اتفاق ناخوشایندی رخ دهد که خطر سقط جنین یا سایر شرایط سلامتی شما شناسایی شود، به شما کمک می کند تا تصمیمات بهتری با همسر یا خانواده خود بگیرید.
- در صورت شناسایی هر گونه مشکل، خدمات در دسترس برای شما وجود دارد.
در مرکز سونوگرافی الوند برای زندگی شما و نوزادی که حمل می کنید ارزش قائل است. با این گفته، خدمات پزشکی ممتاز زیادی وجود دارد.

فرآیند اسکن ناهنجاری مادرزادی
در طول اسکن ناهنجاری مادرزادی، سونوگرافی شما به خوبی به قسمت های مختلف بدن کودک شما نگاه می کند. برای شروع این روش، از شما خواسته می شود که روی یک کاناپه دراز بکشید و شلوار خود را تا باسن خود پایین بیاورید. همچنین باید بالاتنه خود را تا قفسه سینه بلند کنید تا شکم شما بدون پوشش باقی بماند.
پس از آن، سونوگرافیک دستمال کاغذی را در اطراف لباس شما قرار می دهد تا از ژل اسکن محافظت کند. این ژل روی شکم شما قرار می گیرد، جایی که از پروب دستی برای اسکن بدن کودک شما استفاده می شود.
برای اینکه ایده ای از آنچه که در طول اسکن ناهنجاری مادرزادی به آن نگاه می کنید به شما ارائه شود، در اینجا فرآیندهای معمولی وجود دارد که سونوگرافیست ها انجام می دهند:
سونوگرافی سر و مغز کودک شما را بررسی می کند. شرایط مغزی، اگرچه نادر است، اما در این مرحله قابل مشاهده خواهد بود.
صورت نوزاد بررسی می شود و در این هنگام شکاف لب یا کام تشخیص داده می شود.
ستون فقرات نوزاد بررسی می شود تا بررسی شود که آیا استخوان ها به درستی شکل می گیرند و پوست کودک ستون فقرات را می پوشاند.
دیواره شکم نوزاد در مرحله بعدی قرار دارد. سونوگرافیک بررسی می کند که آیا تمام اندام های داخلی پوشیده شده اند یا خیر.
سونوگرافی قلب نوزاد، به ویژه رگها و شریانهای اصلی را بررسی میکند تا مطمئن شود که آنها خون را به قلب کودک شما منتقل میکنند.
معده نوزاد نیز مورد بررسی قرار می گیرد، جایی که مایع آمنیوتیکی که کودک شما در آن خوابیده است را می بینید. معمولاً شبیه یک حباب سیاه است.
کلیه های نوزاد در مرحله بعدی معاینه می شوند و سونوگرافیک بررسی می کند که آیا کودک شما دو کلیه دارد یا خیر.
سایر قسمت های بدن کودک شما مانند بازوها، دست ها، پاها و سایر قسمت های بدن برای بررسی کامل بودن آنها.
جفت و بند ناف نیز بررسی می شود، در صورتی که ممکن است در قرار دادن بند ناف کودک شما مشکلی وجود داشته باشد.
مقالات پیشنهادی :
چرا باید این اسکن را انجام دهم؟
ایده انجام سونوگرافی آنومالی ناهنجاری های مادرزادی، به ویژه امکان تشخیص یک بیماری، می تواند برای هر والدینی که بالقوه باشد، یک تجربه اعصاب خردکن باشد. اما به شما کمک میکند تا خیالتان راحت شود که کودکتان به خوبی رشد میکند، و همچنین به شما کمک میکند تا در صورت وجود شرایط سلامتی، در مورد روش بعدی خود تصمیم بگیرید.
معمولاً سونوگرافی به شما توصیه می کند که یک سری آزمایشات دیگر را فقط برای اطمینان از وضعیت کودک خود انجام دهید. ارائه دهنده مراقبت های بهداشتی شما دلایل چنین آزمایشاتی و نحوه انجام این روش ها را توضیح خواهد داد.
همچنین توجه داشته باشید که در برخی موارد، ممکن است از شما خواسته شود اسکن ناهنجاری مادرزادی دیگری انجام دهید. زیاد نگران نباشید زیرا اسکن های ناهنجاری گاهی اوقات به دلایل مختلف تکرار می شوند. به عنوان مثال، شایع ترین دلیل این است که سونوگرافی غربالگری قادر به دیدن همه چیز به وضوح نیست زیرا (1) کودک شما در بهترین موقعیت برای اسکن نیست یا (2) شما اضافه وزن دارید.
برای روشن شدن، اضافه وزن می تواند تصاویر اسکن شده را شفاف تر کند. اسکن ها از امواج ایمن و با فرکانس بالا برای اسکن بهتر از کودک شما استفاده می کنند. بنابراین اگر چربی بدن شما بیشتر باشد، این امواج عبور امواج را با مشکل مواجه می کنند.
چیزهای زیادی در نه ماهه بارداری شما ممکن است اتفاق بیفتد، بنابراین مهم است که در طول این ماه ها وضعیت خود و کودکتان را بررسی کنید. معاینات منظم و انجام روش های توصیه شده مانند اسکن ناهنجاری های مادرزادی به جلوگیری از مشکلات سلامتی ناگوار در این لحظه شگفت انگیز از زندگی شما کمک می کند.
چه سونوگرافی در دوران بارداری ارائه می شود؟
معمولاً در دوران بارداری یک یا چند سونوگرافی انجام می دهید. دو اسکن معمولاً ارائه می شود اسکن نوکال و اسکن آناتومی.
انجام اسکن قرار ملاقات در اوایل بارداری برای تعیین هفته بارداری و تاریخ زایمان معمول نیست. با این حال، اگر عوارضی مانند خونریزی دارید، ممکن است در اوایل بارداری نیاز به اسکن داشته باشید.
گاهی اوقات اسکن های دیگری برای بررسی رشد جنین یا موقعیت نوزاد یا جفت شما انجام می شود. اگر دوقلو دارید یا اگر در این بارداری یا بارداری قبلی دچار عوارضی شده اید، به اسکن های اضافی نیاز خواهید داشت.

اسکن شفافیت نوکال
این اسکن در هفته 12 تا 14 بارداری به شما پیشنهاد می شود. این اسکن تاریخ زایمان شما را تایید می کند، متوجه می شود که آیا شما دوقلو دارید یا خیر و به دنبال ناهنجاری در کودک شما می گردد. با این حال، کودک شما در این مرحله هنوز بسیار کوچک است (طول حدود 5 تا 8 سانتی متر) بنابراین بیشتر ناهنجاری ها بهتر است در هفته 20 هنگامی که کودک شما بزرگتر است بررسی شود.
شفافیت نوکال اندازه گیری مایع پشت گردن کودک شما است. از این نتیجه می توان (همراه با آزمایش خون) برای محاسبه شانس تولد نوزاد شما با برخی شرایط ژنتیکی مانند سندرم داون استفاده کرد. اگر اسکن و آزمایش خون نشان داد که احتمال ابتلای نوزاد به سندرم داون افزایش یافته است، میتوانید آزمایشهای بیشتری مانند آمنیوسنتز یا NIPT (آزمایش غیر تهاجمی قبل از تولد) انجام دهید.
گاهی اوقات سونوگرافیک نیاز به انجام یک سونوگرافی داخلی (ترانس واژینال) دارد تا تصاویر خوبی از کودک شما بگیرد.
اسکن آناتومی
در حدود هفته 18 تا 20 بارداری به شما یک اسکن پیشنهاد می شود که به آن اسکن سه ماهه دوم یا اسکن مورفولوژی نیز می گویند.
بسیاری از مشکلات ساختاری مهم را می توان با اسکن در این مرحله مشاهده کرد. این اسکن معمولاً دقیق ترین معاینه است و شامل ارزیابی رشد جنین و موقعیت جفت می شود.
جفت سرراهی (جایی که جفت دهانه رحم شما را می پوشاند) ممکن است در طول اسکن آناتومی تشخیص داده شود. با این حال، همانطور که کودک شما رشد می کند و رحم شما بزرگتر می شود، جفت معمولا از دهانه رحم دور می شود. معمولاً نمی توان فهمید که آیا جفت به اندازه کافی برای زایمان طبیعی تا هفته 32 و گاهی حتی بعد از آن حرکت کرده است یا خیر. ممکن است برای بررسی این موضوع در اواخر بارداری، اسکن های بیشتری به شما پیشنهاد شود.
در این اسکن، معمولاً می توانید جنسیت کودک خود را دریابید. با این حال، اگر کودک شما در وضعیت نامناسبی دراز کشیده است، جنسیت او قابل تشخیص نیست.
گزارشی از یافته های سونوگرافی برای پزشک یا ماما ارسال می شود. آنها نتیجه ی اسکن را به شما اطلاع خواهند داد.
به یاد داشته باشید - هیچ آزمونی کامل نیست
در مورد اسکن سونوگرافی باید چندین نکته مهم را به خاطر بسپارید.
همه مشکلات باعث تغییر در آناتومی نوزاد نمی شوند، بنابراین همه ناهنجاری ها با سونوگرافی تشخیص داده نمی شوند.
گاهی اوقات مشاهده تغییرات بسیار دشوار است، به خصوص اگر دوقلو وجود داشته باشد یا کودک شما در موقعیت دشواری قرار داشته باشد، یا اگر اضافه وزن دارید.
گاهی اوقات، چیزی که در اسکن دیده می شود ممکن است نشان دهنده وجود مشکل باشد یا نیاز به نظارت بیشتر یا اسکن بارداری شما باشد. با این حال، همه یافته های غیر طبیعی سونوگرافی به این معنی نیست که مشکلی در کودک شما وجود دارد. این وضعیت میتواند بسیار دشوار باشد، زیرا بدیهی است که باعث نگرانی والدین و خانوادهها در مورد نوزادشان میشود.
اگر مشکلی در اسکن اولتراسوند یافت شود، ممکن است اسکن های بعدی ترتیب داده شود یا ممکن است به متخصص زنان و زایمان ارجاع داده شوید تا در مورد اسکن بیشتر به شما بگوید، تحقیقات را ترتیب دهد و توضیح دهد که چه گزینه هایی وجود دارد.
اسکن معمول سه ماهه سوم از افرادی که بارداری آنها به طور طبیعی در حال پیشرفت است منجر به تولد نوزادان سالم تر یا مشکلات کمتری در حین زایمان و زایمان نمی شود.
اسکن اولتراسوند نمی تواند تشخیص دهد که آیا می توانید زایمان طبیعی داشته باشید یا خیر، زیرا این بستگی به موقعیت کودک و شکل لگن شما و همچنین وزن کودک شما دارد. اسکن در اواخر بارداری دارای خطای +/- 15٪ در تخمین وزن کودک شما است. این بدان معنی است که اگر یک اسکن وزن نوزاد شما را 4 کیلوگرم تخمین بزند، وزن نوزاد شما در واقع بین 3.4 تا 4.6 کیلوگرم است.
مقالات پیشنهادی :
در طول سونوگرافی چه اتفاقی می افتد؟
سونوگرافی بارداری معمولاً توسط پزشکان آموزش دیده به نام سونوگرافیست انجام می شود. از شما خواسته می شود که روی میز معاینه دراز بکشید و تاپ خود را به سمت سینه بلند کنید و دامن یا شلوار خود را تا بالای باسن خود پایین بیاورید تا پوکو (معده) شما نمایان شود.
سونوگرافی ژل اولتراسوند را روی معده شما قرار می دهد تا از تماس خوب بین پوست و دستگاه اطمینان حاصل کند. سپس آنها یک کاوشگر را روی پوست شما عبور می دهند. این امواج اولتراسوند را می فرستد و هنگامی که به عقب باز می گردند دوباره آنها را می گیرد. یک تصویر سیاه و سفید از کودک شما روی یک صفحه نمایش کوچک نشان داده می شود.
انجام دادن این اسکن معمولاً حدود 20 تا 30 دقیقه به طول می انجامد. انجام اسکن ضرری ندارد، اما سونوگرافیست ممکن است گاهی اوقات برای دیدن ساختارهای عمیقتر فشار را محکم فشار دهد.
گاهی لازم است سونوگرافی ترانس واژینال (داخلی) انجام شود. این احتمال در اوایل بارداری (زمانی که رحم شما هنوز کاملاً کوچک است) یا اگر نیاز به دید بهتری از لبه جفت باشد، بیشتر است.
آیا انجام سونوگرافی به من یا کودکم می تواند آسیبی برساند؟
هیچ نوع خطر شناخته شده ای در رابطه با شما یا کودکتان از انجام دادن سونوگرافی وجود ندارد. اسکن اولتراسوند زمانی که به دلایل ضروری پزشکی انجام شود مزایایی دارد. با این حال، سونوگرافی می تواند یافته های غیرمنتظره ای داشته باشد که باعث اضطراب می شود، بنابراین سونوگرافی نباید انجام شود مگر اینکه دلیل پزشکی برای آن وجود داشته باشد.
آیا می توانم از اسکن سونوگرافی انصراف دهم؟
اسکن های اولتراسوندی که در بارداری به شما ارائه می شود اختیاری است. این انتخاب شماست که آیا آنها را داشته باشید.
آناتومی هفته 20 و اسکن حاملگی آنومالی
اسکن بارداری 20 هفته ای مهمترین آزمایش غربالگری قبل از تولد است، زیرا هم می تواند ناهنجاری ها را غربال کند و هم با تجزیه و تحلیل دقیق از یک متخصص، تشخیص را ارائه دهد. به همین دلیل به آن اسکن ناهنجاری رشد جنین سه ماهه دوم می گویند. بین هفته 18 تا 24 بارداری قابل انجام است.

اسکن 20 هفته ای برای موارد زیر استفاده می شود:
آناتومی نوزاد را بررسی کنید
اندازه گیری رشد کودک، از جمله سر و مغز، بدن و اندام
اندام ها و اندام های کودک را از نظر ناهنجاری بررسی کنید
جفت و مایع آمنیوتیک را بررسی و اندازه گیری کنید
تشخیص جنسیت نوزاد
تصاویری از یک نوزاد را به صورت 3 بعدی/4 بعدی نشان دهید
در اسکن آناتومی و ناهنجاری 20 هفته ای، می توانید بدن، بازوها، پاها، انگشتان دست، انگشتان پا و ویژگی های صورت کودک خود را ببینید. متخصص سونوگرافی شما آناتومی کودک شما را بررسی می کند و اندام های داخلی را بررسی می کند و از طریق تصاویر روی صفحه با شما صحبت می کند. اگر اندام تناسلی پوشیده نیست و می خواهید بدانید، می توانیم جنسیت نوزادتان را به شما بگوییم. پس از قرار ملاقات شما، یک لینک امن برای شما ارسال می کنیم که می توانید مجموعه ای از تصاویر را از اسکن خود مشاهده و دانلود کنید.
بیشتر بارداری ها سالم هستند و اسکن آنومالی معمولاً برای اطمینان خاطر انجام می شود. اگر هر گونه تغییری از رشد طبیعی تشخیص داده شود، این امر به والدین و پزشکان کمک می کند تا مراقبت های خود را در بقیه دوران بارداری برنامه ریزی کنند و ترتیب خاصی را برای زایمان و درمان پس از زایمان انجام دهند.
شما می توانید یک اسکن بارداری 20 هفته ای بین هفته های 18 تا 24 بارداری خود را انجام دهید. می توانید این تاریخ ها را از اولین روز آخرین قاعدگی خود محاسبه کنید.
اسکن آنومالی 20 هفته ای نقایص ساختاری از جمله نقص هایی در ستون فقرات، شکاف لب یا کام، پای پرانتزی قابل توجه، ناهنجاری های دیواره بدن، ناهنجاری های عمده ادراری و نقایص عمده قلبی و انواع مختلف را می تواند تشخیص دهد. نشانگرهای ظریفی که ممکن است نشان دهنده سندرم داون باشند.
گاهی اوقات این اسکن 20 هفته ای می تواند ناهنجاری های مربوط به اختلالات کروموزومی را که در اسکن قبلی نادیده گرفته شده است، شناسایی کند. این امر با افزایش دقت آزمایشها و با معرفی آزمایشهای غیر تهاجمی قبل از تولد کمتر رایج میشود.
چه انتظاری داشته باشید شما با متخصص سونوگرافی پیش از تولد یا پزشک متخصص در تشخیص قبل از تولد ملاقات خواهید کرد. اسکن واقعی حدود 30 دقیقه طول می کشد و در این مدت می توانید تصاویر سه بعدی کودک خود را روی صفحه ببینید. لطفاً یک ساعت برای قرار خود وقت بگذارید تا عجله نکنید و بتوانید سؤال بپرسید.
سونوگرافیک شما آناتومی جنین شما از جمله اندام ها و جفت را بررسی می کند و اندازه گیری های دقیقی را برای محاسبه رشد کودک شما انجام می دهد. ما این اندازهگیریها را با مجموعهای از نمودارهای رشد جنین که برای پیشبینی رشد کودک شما استفاده میکنیم، بررسی میکنیم.
آیا هنگام انجام اسکن می توانم همراه با خود داشته باشم؟
اکثر بیمارستان ها توصیه می کنند که هنگام انجام آزمایش، شریک زندگی، دوست یا یکی از اعضای خانواده خود را به همراه داشته باشید زیرا ممکن است مضطرب باشید. پیشنهاد ما این است که در صورت امکان، فردی شما را برای رفت و آمد به بیمارستان همراهی کند. اکثر بیمارستان ها به کودکان اجازه نمی دهند در تست های غربالگری شرکت کنند زیرا امکانات مراقبت از کودک معمولاً در دسترس نیست. با این حال، اگر میخواهید کودکان دیگری را همراه خود بیاورید، آنها میتوانند با شما شرکت کنند، اما لطفاً در نظر داشته باشید که در صورت بعید بودن که مشکلی در اسکن وجود داشته باشد، در صورت حضور کودکان، ممکن است دشوار باشد. همچنین از اتاق میخواهیم تا جایی که ممکن است ساکت بماند تا سونوگرافیست روی اسکن تمرکز کند.
آیا قبل از انجام اسکن باید آب بنوشم و مثانه پر داشته باشم؟
این معمولاً برای اسکن هفته 18-20 ضروری است، اما اگر سونوگرافیک برای گرفتن عکس های خوب از کودک شما مشکل باشد، ممکن است از شما خواسته شود که پیاده روی کنید، نوشیدنی بنوشید و سپس به اتاق اسکن بازگردید.
اسکن من چقدر طول می کشد؟
اسکن معمولا حدود 20-30 دقیقه طول می کشد. با این حال، اگر کودک شما در وضعیت نامناسبی دراز کشیده یا زیاد حرکت می کند، ممکن است سونوگرافی نتواند دید خوبی داشته باشد. اگر اضافه وزن دارید، این می تواند کیفیت تصویر را کاهش دهد، زیرا بافت بیشتری برای عبور امواج اولتراسوند قبل از رسیدن به نوزاد وجود دارد. اگر گرفتن یک تصویر خوب دشوار است، اسکن ممکن است بیشتر طول بکشد، یا باید در آن تکرار شود و برای شما توضیح داده خواهد شد.
آیا می توانم از کودکم عکسی داشته باشم؟
ما خوشحالیم که از خانواده هایی که مایل به گرفتن عکس در زمان اسکن هستند، حمایت می کنیم. این سرویس برای پوشش تجهیزات مورد نیاز هزینه کمی دارد. در بخش سونوگرافی دستگاههایی وجود دارد که میتوانید تعداد عکسهایی را که میخواهید قبل از اسکن پرداخت کنید.
سونوگرافیست تلاش می کند تا یک عکس خوب از کودک شما برای شما تهیه کند. با این حال لطفاً به یاد داشته باشید که تمرکز اصلی سونوگرافیست در زمان اسکن بررسی دقیق کودک شما برای هر گونه مشکل است و بنابراین بیشتر زمان اسکن به این موضوع اختصاص خواهد یافت.
اگر همه چیز عادی به نظر برسد، بعد چه اتفاقی می افتد؟
اکثر اسکنها نشان میدهند که کودک در حال رشد طبیعی است و هیچ مشکلی پیدا نمیشود. این به این دلیل است که اکثر نوزادان سالم هستند و ناهنجاری ندارند.
آیا به اسکن دیگری نیاز دارم؟
اگر همه چیز عادی به نظر می رسد، احتمالاً به اسکن دیگری نیاز نخواهید داشت. اگر سونوگرافی همه چیز را به وضوح نمی بیند، شاید به این دلیل که اضافه وزن دارید یا کودک شما در وضعیت نامناسبی دراز کشیده است، ممکن است مجبور شوید دوباره اسکن را در روز دیگری تکرار کنید. این اغلب اتفاق می افتد و به این معنی نیست که سونوگرافی چیزی برای نگرانی دیده است. اگر سونوگرافیک نتواند پس از دو بار تلاش جداگانه تصویر خوبی از نوزاد بگیرد، اسکن دیگری به شما پیشنهاد نمی شود.
آیا با اسکن مشخص می شود که آیا مشکلی وجود دارد یا خیر؟
نه همیشه. همانطور که قبلا توضیح دادیم، هر ناهنجاری را نمی توان با اسکن اواسط بارداری تشخیص داد. این بدان معنی است که در برخی موارد، نوزادان با ناهنجاری هایی به دنیا می آیند که هیچ مشکلی با اسکن مشخص نشده است.
مقالات پیشنهادی :
انجام سونوگرافی NT در مرکز الوند
اکوکاردیوگرافی جنین ( اکوی قلب جنین )
سونوگرافی داپلر در بارداری چیست؟
چه نوع مشکلاتی را می توان دید؟
اختلالات ساختاری عمده در رشد نوزاد مانند اسپینا بیفیدا معمولاً در اسکن آشکار است و سونوگرافیست ها و پزشکان می توانند کاملاً از یافته ها مطمئن باشند. اسکن ها برای مشاهده مشکلاتی مانند برخی از نقایص قلبی چندان قابل اعتماد نیستند و ما انتظار نداریم که هر بیماری قلبی را قبل از تولد تشخیص دهیم.
گاهی اوقات تغییرات جزئی در بدن نوزاد دیده می شود. معمولاً اینها اصلاً معنی ندارند، اما گاهی اوقات ما الگویی را می بینیم که به ما می گوید ممکن است یک مشکل اساسی وجود داشته باشد. برخی از مشکلات جزئی ممکن است پس از تولد نوزاد نیاز به مراقبت های بعدی داشته باشند.
اگر مشکلی در حین اسکن پیدا شود یا مشکوک باشد چه اتفاقی می افتد؟
اگر مشکلی پیدا شد یا مشکوک شد، سونوگرافیست ممکن است نظر دوم را از سونوگرافیست یا پزشک دیگری بخواهد. سپس به شما گفته می شود که چه نگرانی هایی وجود دارد، اما مشکل دقیق ممکن است در این مرحله مشخص نباشد.
در صورت لزوم به متخصص ارجاع داده می شوید. باید ظرف چند روز به شما وقت ملاقات داده شود.
در بیشتر موارد، آزمایشات بعدی مشکلی را پیدا نمی کند. با این حال، هر آزمایش اضافی می تواند باعث ایجاد اضطراب شدید برای والدین شود و برای برخی افراد این اضطراب می تواند در بقیه دوران بارداری ادامه یابد.
ممکن است آزمایش دیگری مانند "آمنیوسنتز" به شما پیشنهاد شود تا مطمئن شوید که آیا مشکلی وجود دارد یا خیر. اگر تست های بیشتری به شما پیشنهاد شود، اطلاعات بیشتری در مورد این تست ها به شما داده خواهد شد. سپس می توانید انتخاب کنید که آیا می خواهید آنها را داشته باشید یا نه.
ممکن است بخواهید سوال بپرسید و در مورد نگرانی های خود با ماما یا مشاور خود صحبت کنید. در صورت نیاز یک مامای متخصص غربالگری نیز در دسترس است.
اگر یک نوع ناهنجاری به طور قطع پیدا شود چه اتفاقی می افتد؟
این بستگی به نوع ناهنجاری و میزان جدی بودن آن دارد. برخی از ناهنجاری ها ممکن است جدی نباشند و برخی به خودی خود بهتر شوند. در هر یک از این موارد ممکن است اسکن های بیشتری در طول بارداری برای نظارت بر وضعیت به شما پیشنهاد شود.
آیا قبل از زایمان می توان کاری انجام داد؟
اطلاع از یک بیماری قبل از تولد می تواند به والدین کمک کند تا خود را آماده کنند، و گاهی اوقات می تواند به برنامه ریزی برای درمان پس از تولد نوزاد کمک کند. برای مثال، اگر مشخص شود که کودک شما مشکلی دارد که به زودی پس از تولد نیاز به عمل دارد، مانند ترمیم فتق در شکم نوزاد، میتوان ترتیبی داد که نوزاد شما را در بیمارستانی به دنیا بیاورید که این کار در مدت زمان کوتاهی انجام شود.
آیا نوزاد می تواند قبل از تولد عمل کند؟
متأسفانه فقط تعداد کمی از مشکلات را می توان با این روش درمان کرد.
سونوگرافی آنومالی در مرکز الوند؛ گامی حیاتی برای اطمینان از سلامت جنین
دوران بارداری یکی از زیباترین و در عین حال حساسترین مراحل زندگی هر مادر است. طی این دوران، بررسی سلامت جنین از اهمیت بالایی برخوردار است. یکی از مهمترین و دقیقترین روشها برای بررسی رشد و سلامت جنین، سونوگرافی آنومالی (anomaly scan) است. در مرکز تصویربرداری الوند، این سونوگرافی با بهرهگیری از تجهیزات پیشرفته و پزشکان مجرب انجام میشود تا خیال مادران باردار از سلامت جنین آسوده شود.
سونوگرافی آنومالی چیست؟
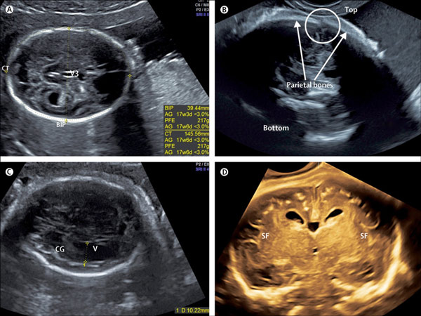
سونوگرافی آنومالی که با نامهای سونوگرافی تفصیلی یا غربالگری مرحله دوم نیز شناخته میشود، معمولاً در هفته ۱۸ تا ۲۲ بارداری انجام میشود. در این سونوگرافی، به طور دقیق ساختارهای مختلف بدن جنین از جمله مغز، قلب، کلیهها، ستون فقرات، دست و پا، صورت و اندامهای داخلی بررسی میشود تا هرگونه ناهنجاری یا نقص مادرزادی احتمالی شناسایی شود.
چرا سونوگرافی آنومالی اهمیت دارد؟
هدف اصلی از انجام این سونوگرافی، تشخیص نقایص ساختاری یا آنومالیهای مادرزادی است. برخی از مهمترین مزایای انجام سونوگرافی آنومالی عبارتند از:
تشخیص زودهنگام ناهنجاریها: مانند شکاف لب و کام، نقایص قلبی، مشکلات کلیوی، یا مشکلات رشد اندامها.
ارزیابی دقیق رشد جنین: اندازهگیری اعضا و ارگانها برای بررسی تطابق با سن بارداری.
اطمینان از محل قرارگیری جفت: بررسی وضعیت جفت در رحم برای پیشگیری از عوارضی مثل جفت سرراهی.
اطلاع از میزان مایع آمنیوتیک: که برای رشد طبیعی جنین ضروری است.
سونوگرافی آنومالی چگونه انجام میشود؟
در مرکز الوند، سونوگرافی آنومالی با بهرهگیری از دستگاههای پیشرفته سهبعدی و چهاربعدی انجام میشود. در این روش، پزشک متخصص سونوگرافی با قرار دادن پروب بر روی شکم مادر و استفاده از ژل مخصوص، تصاویر دقیقی از جنین دریافت میکند.
زمان تقریبی این سونوگرافی بین ۳۰ تا ۶۰ دقیقه است و مادران در طول آن نیازی به آمادگی خاصی جز پر بودن نسبی مثانه ندارند.
چه آنومالیهایی در این سونوگرافی شناسایی میشود؟
در این مرحله، پزشک ساختار جنین را به دقت بررسی میکند. برخی از ناهنجاریهایی که در سونوگرافی آنومالی قابل تشخیص هستند عبارتند از:
- مشکلات مغزی مانند هیدروسفالی یا آننسفالی
- نقایص قلبی مانند نقص دیواره بین بطنی یا دهلیزی
- ناهنجاریهای شکمی مثل فتق نافی یا گاستروشیزی
- مشکلات اسکلتی مانند ناهنجاریهای اندامها یا ستون فقرات
- اختلالات کلیوی مانند کیست یا عدم تشکیل کلیه
- شکاف لب و کام
البته باید توجه داشت که هیچ تست یا سونوگرافیای تضمین 100٪ برای سلامت جنین نمیدهد، اما سونوگرافی آنومالی یکی از مطمئنترین روشها برای کاهش ریسکهای احتمالی است.
چرا مرکز الوند را برای سونوگرافی آنومالی انتخاب کنیم؟
مرکز تصویربرداری الوند با برخورداری از امکانات پیشرفته و کادر پزشکی متخصص، یکی از مراکز معتبر در حوزه تصویربرداریهای دوران بارداری در کشور است. برخی از ویژگیهای منحصر بهفرد این مرکز شامل موارد زیر است:
تجهیزات مدرن: بهرهگیری از دستگاههای سونوگرافی سهبعدی و چهاربعدی با وضوح بالا.
پزشکان فوق تخصص: همکاری با متخصصان رادیولوژی و پریناتولوژی با تجربه بالا در زمینه غربالگریهای بارداری.
محیط آرام و بهداشتی: طراحی محیطی مناسب برای آسایش مادران باردار.
ارائه گزارش کامل و دقیق: همراه با مستندات تصویری جهت ارائه به پزشک معالج.
پشتیبانی و مشاوره: امکان دریافت مشاوره در صورت تشخیص هرگونه ناهنجاری جهت پیگیریهای بعدی.
نکات مهم پیش از انجام سونوگرافی آنومالی
بهتر است این سونوگرافی بین هفتههای ۱۸ تا ۲۲ بارداری انجام شود؛ این بازه زمانی ایدهآلترین زمان برای تشخیص ناهنجاریها است.
توصیه میشود مادر حدود یک ساعت قبل از سونوگرافی مایعات کافی بنوشد تا مثانه کمی پر باشد.
داشتن همراه برای آرامش بیشتر مادر، توصیه میشود.
نتایج این سونوگرافی را حتماً با پزشک زنان و زایمان خود در میان بگذارید.
سونوگرافی آنومالی، گامی حیاتی برای تشخیص زودهنگام مشکلات ساختاری جنین و اطمینان از سلامت روند رشد اوست. انتخاب یک مرکز تخصصی و مجهز برای انجام این سونوگرافی، نقش مهمی در دقت نتایج دارد. مرکز الوند با بهرهگیری از تکنولوژی روز و تیمی متخصص، بهترین گزینه برای مادرانی است که به سلامت فرزند خود اهمیت میدهند.
اگر در هفتههای میانی بارداری قرار دارید، همین حالا با مرکز تصویربرداری الوند تماس بگیرید و وقت سونوگرافی آنومالی خود را رزرو کنید. سلامت آیندهی فرزندتان از همین حالا آغاز میشود.
اطلاعات تماس مرکز الوند
شماره تماس
۰۲۱-۸۸۲۰۶۰۵۹
۰۲۱-۸۸۷۸۵۷۷۵
تلفن همراه مرکز :
۰۹۰۳۲۰۳۲۱۴۳
آدرس: میدان آرژانتین . ابتدای خیابان الوند. پلاک ۲۳ طبقه همکف
ساعات کاری: شنبه تا چهارشنبه: ۹ صبح تا ۱۱ شب
پنجشنبه: ۹ صبح تا ۹شب
جمعه و تعطیلات: ۹ صبح تا ۶ بعدظهر

