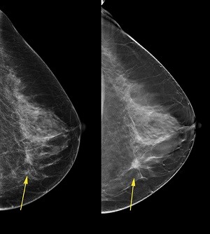
عکس ماموگرافی سالم
عکس ماموگرافی سالم؛ ماموگرافی چیست؟
ماموگرافی معاینه ای است که با دستگاه اشعه ایکس دیجیتال انجام می شود و با این معاینه می توان ساختار سینه را مشاهده کرد. هر سینه معمولاً در دو موقعیت مختلف عکسبرداری می شود تا کل حجم غده پستانی را تجزیه و تحلیل کند. هدف اصلی از معاینه ماموگرافی تشخیص سرطان پستان در مراحل اولیه است، بنابراین امکان درمان موثر و غیر تهاجمی را فراهم می کند. این هدف خاص از غربالگری معاینات ماموگرافی است.
علیرغم اظهارنظرهای منفی در مورد سونوگرافی غربالگری سرطان سینه، مطالعات علمی نشان می دهد که ماموگرافی روشی موثر برای تشخیص زودهنگام سرطان سینه است.

اگر سوالی در مورد ماموگرافی یا سونوگرافی دارید ویا پزشک برایتان ماموگرافی یا سونوگرافی تجویز کرده است
می توانید با ما در مرکز سونوگرافی و ماموگرافی الوند در تماس باشید.
معاینه ماموگرافی غربالگری چگونه انجام می شود؟
خانمی که برای انجام ماموگرافی غربالگری خود می آید، توسط تکنسین رادیولوژی پزشکی که ماموگرافی را انجام می دهد، استقبال می شود.
تکنسین ابتدا یک پرسشنامه پزشکی به او می دهد تا آن را تکمیل کند. در صورت لزوم، او به او کمک می کند تا آن را تکمیل کند. سپس ماموگرافی را انجام خواهد داد.
پستان روی سینی ماموگرافی قرار می گیرد و فشرده سازی پیش رونده اعمال می شود. لوله اشعه ایکس برای چند ثانیه فعال می شود و تصویر پستان به دست می آید.
این مانور، که گاهی اوقات می تواند کمی دردناک باشد، برای به دست آوردن یک تصویر با کیفیت که امکان تشخیص موثر را فراهم می کند، ضروری است.
به دلیل انجام آنالیز ماموگرافی غربالگری که چند روز طول می کشد، نمی توان نتیجه معاینه را در روز انجام آن اعلام کرد. به همین دلیل است که نتیجه ماموگرافی توسط بنیاد غربالگری سرطان پستان و همچنین طی یک هفته پس از معاینه از طریق پست به پزشک معالج او اطلاع داده می شود.
غربالگری سرطان پستان
به طور کلی در غربالگری سرطان پستان، ماموگرافی یک معاینه پزشکی است که از اشعه ایکس استفاده میکند. این معاینه تصویربرداری که در مطب رادیولوژی یا بخش رادیولوژی بیمارستان انجام میشود، اکنون بر اساس تکنیک دیجیتال است.
این می تواند به عنوان بخشی از غربالگری یا آزمایش تشخیصی سرطان سینه انجام شود. در مورد اول، هدف معاینه تشخیص سرطانی است که هنوز خیلی کوچک است و توسط خودآزمایی یا پزشک قابل تشخیص نیست. در مورد دوم هدف تعیین دقیق اندازه و محل ضایعه است. این معاینه امکان تکثیر در تصاویر بافت و غدد لنفاوی اطراف را فراهم می کند.
ماموگرافی چگونه انجام می شود؟
ماموگرافی در حالت ایستاده انجام می شود. سینه بین یک نگهدارنده کاست و یک دستگاه فشرده سازی قرار می گیرد. در اکثریت قریب به اتفاق موارد، دو تصویر برای هر پستان گرفته می شود: یکی از جلو و دیگری با فرورفتگی مایل، یعنی در مجموع 4 تصویر.
خطرات؟
ماموگرافی هیچ خطری ندارد. دوز تابش استفاده شده کم است. در طول معاینه، برای به دست آوردن تصاویر با کیفیت، باید سینه را فشرده کرد که می تواند باعث ناراحتی شود. انجام ماموگرافی در مرحله اول سیکل قاعدگی یا در دوره ای که درمان هورمونی یائسگی قطع می شود، توصیه می شود.
ماموگرافی یک عکس برداری با اشعه ایکس از سینه ها است. این امکان را فراهم می کند تا با استفاده از اشعه ایکس تصاویری از داخل سینه به دست آورید و در نتیجه هر گونه ناهنجاری را تشخیص دهید. توسط رادیولوژیست انجام می شود. دو عکس اشعه ایکس از هر پستان گرفته می شود، یکی از جلو و دیگری مایل، که امکان مقایسه دو طرف هر سینه را فراهم می کند.
ماموگرافی می تواند به عنوان بخشی از غربالگری سرطان پستان (ماموگرافی غربالگری) و یا در صورت وجود علائم (ماموگرافی تشخیصی) انجام شود. این اجازه می دهد تا سرطان های کوچک را در مراحل اولیه، قبل از ظهور علائم برجسته کنید.
ماموگرافی تست استاندارد طلایی غربالگری سرطان سینه است.
مراحل انجام ماموگرافی چگونه می باشد:
رادیولوژیست شما را به درستی روی دستگاه قرار می دهد. ماموگرافی در حالت ایستاده و با قفسه سینه برهنه انجام می شود.
برای به دست آوردن یک تجزیه و تحلیل با کیفیت خوب و مشاهده کامل پستان، هر سینه به طور متوالی بین دو صفحه فشرده می شود تا پستان به خوبی پخش شود و از همپوشانی تصاویر جلوگیری شود (فشار ناکافی ممکن است از تشخیص ناهنجاری جلوگیری کند). احساس فشردگی سینه برای برخی از زنان ناخوشایند است، اما فقط چند ثانیه طول می کشد. امنیتی وجود دارد که حداکثر فشار سینه را محدود می کند.
ماموگرافی اولیه به طور متوسط 10 تا 15 دقیقه طول می کشد.
تحت شرایط خاص، به ویژه هنگامی که سینه ها بیش از حد متراکم هستند، ماموگرافی کمتر موثر است (دختر نوجوان، زن جوان، شیردهی). سپس از سونوگرافی سینه استفاده می شود. عکس های اضافی نیز می توان گرفت.
ماموگرافی تصاویری از سینه ها هستند که با دوزهای بسیار کم اشعه ایکس گرفته می شوند.
ماموگرافی یک آزمایش تشخیصی سریع (بین 15 تا 20 دقیقه) و ایمن است که می تواند تومورها (در میان سایر آسیب شناسی ها) را قبل از حمله به بافت پستان، اندام های دوردست یا غدد لنفاوی تشخیص دهد.
به لطف ماموگرافی، تشخیص سرطان سینه در مراحل اولیه آن امکان پذیر است، بنابراین از تشخیص زودهنگام و درمان کافی و مؤثر که می تواند جان انسان ها را نجات دهد، اطمینان حاصل می کند.

چگونه برای ماموگرافی آماده شویم؟
توصیه می شود در روز انجام ماموگرافی از دئودورانت ها، ضد تعریق ها، کرم های بدن، عطرها یا پودرها در زیر بغل یا سینه ها استفاده نکنید (استفاده از این محصولات می تواند کیفیت تصویر را مختل کند).
بهترین زمان در ماه برای انجام ماموگرافی چه زمانی است؟
انجام ماموگرافی 1 تا 2 هفته پس از پریود با هدف کاهش ناراحتی سینه و گرفتن تصاویر بهتر، واضح تر و واضح تر از بافت پستان توصیه می شود.
مقالات پیشنهادی : سونوگرافی غربالگری دوم ، سونوگرافی غربالگری اول ، دکتر متخصص ماموگرافی ، دکتر ماموگرافی
ماموگرافی چگونه انجام می شود؟
مدت زمان آزمون معمولاً از 20-30 دقیقه تجاوز نمی کند.
ماموگرافی معمولاً در حالت ایستاده در مقابل دستگاه اشعه ایکس انجام می شود.
متخصص مراقبت های بهداشتی که عکس اشعه ایکس را می گیرد، سینه زن را بین دو سکوی کوچک یا سینی قرار می دهد که سینه را فشار داده و صاف می کند در حالی که تصاویر از زوایای یا منظرهای مختلف گرفته می شود.
پس از گرفتن تصاویر، متخصص رادیولوژی ماموگرافی را تجزیه و تحلیل می کند و تصمیم می گیرد که آیا انجام ماموگرافی های جدید از زوایای مختلف ضروری است یا خیر یا در صورت رد یا تایید مشاهدات آنها، درخواست آزمایش های جدید یا معاینات اضافی را می کند.
آیا ماموگرافی یک آزمایش دردناک است؟
این سوال زمانی بسیار رایج است که زنی برای اولین بار قرار است ماموگرافی انجام دهد.
اکثر زنان ماموگرافی را یک آزمایش دردناک نمی دانند، اگرچه فشار روی سینه ها می تواند برای چند دقیقه خجالت آور یا ناراحت کننده باشد.
برای انجام ماموگرافی، یک تکنسین مراقبت های بهداشتی سینه بیمار را بین دو سینی یا سطحی که آن را فشرده/مسطح می کند، قرار می دهد در حالی که تصاویر پستان از دیدگاه های مختلف گرفته می شود.
فشار وارده بر سینه ها که برای به دست آوردن تصاویر واضح تر و بهتر ضروری است، منشأ ناراحتی است.
ناراحتی ایجاد شده در عرض چند دقیقه از بین می رود، اما مزایای ماموگرافی و تشخیص زودهنگام سرطان سینه برای سلامت و رفاه حال و آینده زنان اهمیت زیادی دارد.
هر چند وقت یکبار باید اسکن ماموگرافی انجام شود؟
در سی دی زنان توصیه می کنیم که همه خانم های بالای 40 سال یک ماموگرافی سالانه انجام دهند.
اگر به دلیل سابقه خانوادگی سرطان سینه یا سرطان تخمدان خطر ابتلا به سرطان وجود دارد، توصیه می کنیم ماموگرافی منظم را از سن 30 سالگی شروع کنید.
مطالعات بین المللی اخیر نشان می دهد که کاهش محدودیت سنی از 50 به 40 سال برای ماموگرافی سالانه (یا زودتر اگر خطر بالا تلقی شود) با کاهش قابل توجه مرگ و میر ناشی از سرطان پستان همراه است.
چرا ماموگرافی سالانه اینقدر مهم است؟
طبق داده های انجمن سرطان اسپانیا، در اسپانیا، تقریباً 33000 سرطان پستان جدید هر سال تشخیص داده می شود.
به لطف ماموگرافی، سرطان سینه را می توان در مراحل اولیه آن شناسایی کرد: تا 2 سال قبل از قابل لمس شدن تومور.
تشخیص زودهنگام جان انسان ها را نجات می دهد: اگر سرطان سینه به موقع تشخیص داده شود، میزان درمان بسیار بالاست.
به همین دلیل حتی در صورت عدم وجود علائم بسیار مهم است که از 40 سالگی هر سال ماموگرافی و سونوگرافی کنترلی انجام شود.

